Bạn có thể chuyển sang phiên bản mobile rút gọn của Tri thức trực tuyến nếu mạng chậm. Đóng

32 ngày ‘tìm đường sống từ cõi chết’ của bệnh nhân Covid-19

Sau chuyến dã ngoại, luật sư người Mỹ Jim Bello nhập viện trong tình trạng khó thở nghiêm trọng. Từ đây, anh bước vào cuộc chiến giành giật sự sống với Covid-19.

Zing trích dịch bài đăng trên New York Times, kể về cuộc chiến cam go của người bệnh và các bác sĩ tại Bệnh viện đa khoa Massachusetts, Mỹ để giành giật mạng sống với "tử thần" Covid-19.

Ngày 7/3 vừa qua, Jim Bello (49 tuổi) bỗng lên cơn sốt cao khi trở về từ chuyến dã ngoại ở núi Loon, New Hampshire (Mỹ). Cơn sốt của anh chẳng những không thuyên giảm mà còn xuất hiện thêm triệu chứng ho khan và tức ngực.

Ban đầu, bệnh viện địa phương cho rằng đây chỉ là chứng viêm phổi thông thường. Tuy nhiên 6 ngày sau, anh được đưa đi cấp cứu tại bệnh viện tuyến trên trong trạng thái khó thở nghiêm trọng. Sau khi xét nghiệm, các bác sĩ khẳng định Jim dương tính với virus SARS-CoV-2 và cần thở máy ngay lập tức.

Những ngày tiếp theo vừa là những giây phút “cân não” của các bác sĩ, vừa là cuộc chiến sinh tồn của Jim với Covid-19 khi bệnh tình của anh chuyển biến tốt - xấu thất thường.

Chênh vênh trên bờ vực sinh tử

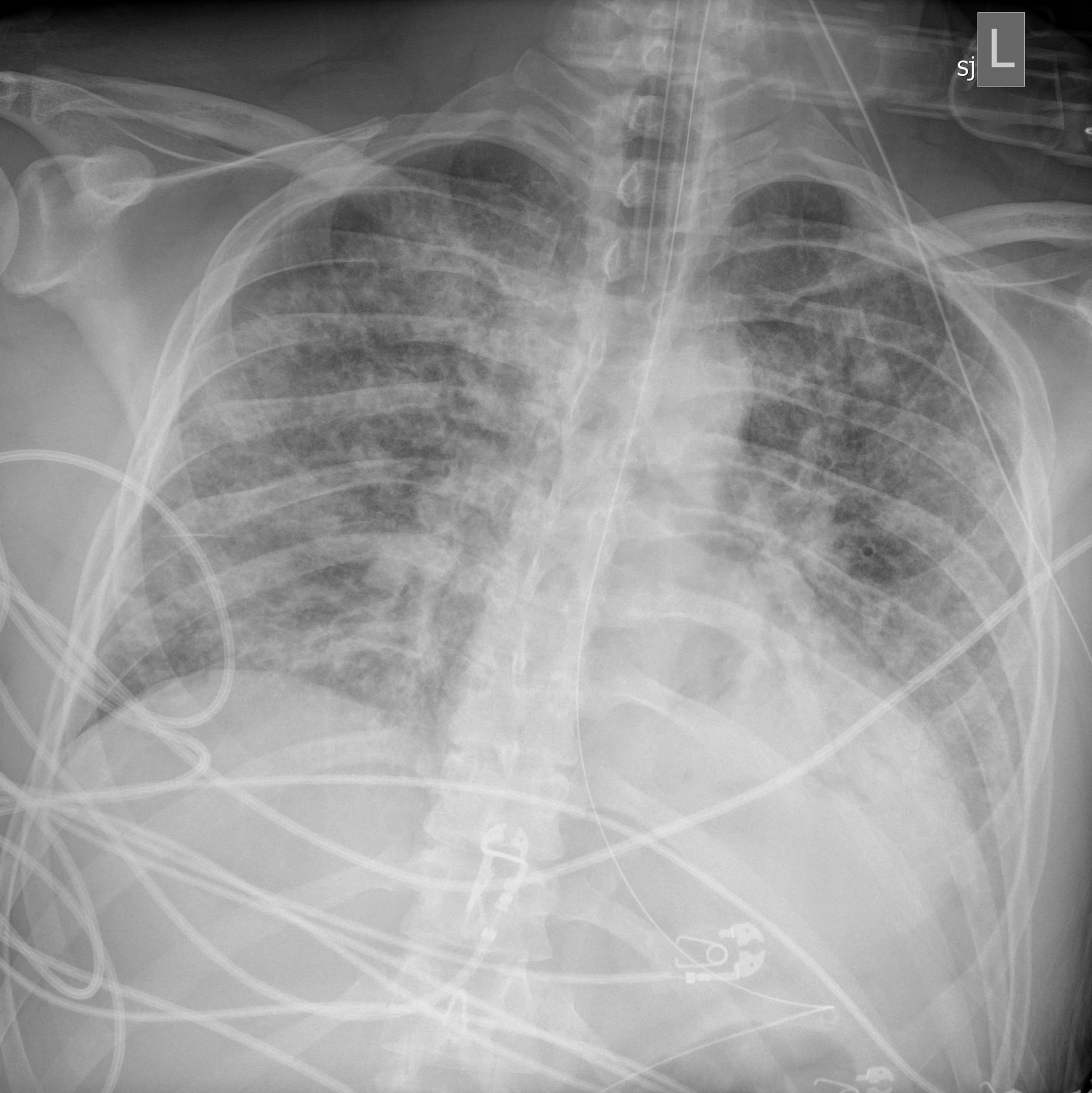
Khi được đưa đến bệnh viện, tình trạng sức khỏe của Jim khiến các bác sĩ vô cùng quan ngại. X-quang phổi của anh lúc đó cho thấy cơ quan này đang bị nghẹt ứ nghiêm trọng.

"Đó là một trong những tấm X-quang tệ nhất tôi từng thấy", bác sĩ Paul Currier - thành viên tổ điều trị - nói.

cuoc chien chong covid-19 anh 1

Hình ảnh X-quang phổi của Jim Bello có nhiều mảng trắng đục, cho thấy cơ quan này đang bị nghẽn dịch và không đủ chỗ cho không khí lưu thông. Ảnh: Massachusetts General Hospital.

Không có phương pháp điều trị triệt để Covid-19, các bác sĩ đã không ngừng thử nghiệm nhiều cách khác nhau để chữa trị cho Jim.

"Dịch bệnh này khó nhằn ở chỗ chúng ta chưa có phương pháp điều trị cụ thể, chỉ có thể dựa theo chuyển biến của bệnh nhân mà chữa trị", bác sĩ Peggy Lai - khoa Hồi sức tích cực - chia sẻ.

Như nhiều bệnh nhân Covid-19 khác, Jim có biểu hiện của Hội chứng suy hô hấp cấp tính (ARDS) và phải duy trì thở máy. Vài ngày sau, sức khỏe của anh đã chuyển biến tốt hơn khi có thể tự hô hấp một phần.

Tín hiệu lạc quan kéo dài không bao lâu thì tình trạng của Jim lại xấu đi nhanh chóng. Lúc này, đội ngũ bác sĩ quyết định sử dụng một số loại thuốc, trong đó có hydroxychloroquine - thuốc trị sốt rét được Tổng thống Mỹ Donald Trump kiến nghị đưa vào điều trị Covid-19.

Tuy nhiên, những phương thuốc này đều không có tác dụng. Cuối cùng, họ buộc phải sử dụng kỹ thuật tim phổi nhân tạo ECMO để điều trị cho Jim. Đây là "vũ khí" được nhiều quốc gia trên thế giới ứng dụng trong cuộc chiến chống Covid-19.

cuoc chien chong covid-19 anh 2
Chị Kim Bello (48 tuổi) hồi tưởng lại giây phút bàng hoàng khi nhận tin xấu từ bệnh viện. Ảnh: Kayana Szymczak.

Bác sĩ Yuval Raz - trưởng bộ phận điều dưỡng ECMO - chia sẻ: "ECMO không phải là biện pháp an toàn tuyệt đối, nó có thể để lại di chứng cho bệnh nhân. Phương pháp này chỉ có vai trò duy trì sự sống, không trực tiếp diệt trừ virus".

9 ngày sau khi chạy ECMO, sức khỏe của Jim vẫn không khả quan hơn. Các bác sĩ buộc phải thông báo khả năng xấu nhất cho gia đình anh.

"Thú thực là cho tới thời điểm này, sau mọi cố gắng của đội ngũ bác sĩ, chúng tôi e rằng anh Bello khó có thể qua khỏi".

Nghe tin từ bệnh viện, Kim Bello - vợ của Jim Bello chỉ biết cuộn mình trên sàn với nỗi đau khôn cùng.

Kể từ lúc biết chồng mình dương tính với virus SARS-CoV-2, chị đã nghỉ việc để ở nhà chăm sóc con cái gồm bé Hadley (13 tuổi) và cặp sinh đôi Riley - Taylor (11 tuổi).

Không thể chăm sóc chồng trong phòng bệnh, Kim đã gây quỹ ủng hộ hàng nghìn đôla cho bệnh viện nơi Jim đang điều trị với mong muốn giúp đỡ đội ngũ bác sĩ và bệnh nhân ở đây.

Những ngày qua, diễn biến sức khỏe thất thường của Jim khiến Kim trải qua nhiều cung bậc cảm xúc khác nhau. Từ vui mừng trước những tín hiệu tích cực, đến lo lắng khi chồng phải sử dụng ECMO và giờ đây là nỗi đau khi nghĩ rằng chồng mình có thể sẽ ra đi vì đại dịch.

Ngày 28/3, sau những nỗ lực phi thường của đội ngũ bác sĩ, Jim đã lấy lại ý thức. Y tá phụ trách Kerri Voelkel kể lại: "Jim đã tỉnh. Anh ấy hơi nhướn mày, cố gắng mở mắt ra. Tất cả chúng tôi đều nghĩ: 'Ôi Chúa ơi, anh ấy đây rồi!'".

Đây có lẽ là tin đáng mừng nhất với người nhà Bello suốt thời gian vừa rồi. Kim xúc động gửi cho y tá Voelkel bức hình chú chó Bruno của gia đình, miệng ngậm chiếc mũ Jim yêu thích với lời nhắn nhủ chân thành: "Xin hãy làm tất cả những gì có thể để cứu lấy anh ấy".

Kỳ tích xuất hiện khi ta không từ bỏ

7 tiếng sau khi tỉnh lại, Jim lại rơi vào tình trạng nguy kịch vì huyết áp đột ngột tăng. Một lần nữa, các y bác sĩ khoác lên mình bộ trang phục bảo hộ, lập tức can thiệp để giữ tính mạng người bệnh.

Y tá Voelkel thuật lại tình huống lúc đó: "Phổi của Jim bị tổn thương nặng đến mức chúng tôi không thể chữa trị khi anh ấy tỉnh. Chúng tôi buộc phải gây mê để giữ mạng cho anh ấy".

cuoc chien chong covid-19 anh 3

Bên ngoài phòng ICU nơi Jim Bello đang được điều trị, các bệnh nhân đã gửi gắm những thông điệp tích cực với hi vọng tiếp sức cho đội ngũ y bác sĩ và Jim. Ảnh: Kayana Szymczak.

Tối hôm đó, Kim được các bác sĩ đặc cách để vào thăm chồng. Cố nén những tiếng nấc nghẹn sau mặt nạ phòng hộ, Kim kiên trì trò chuyện với Jim với hy vọng anh sẽ sớm khỏe lên.

"Tôi cảm tưởng như chỉ cần mình tiếp tục nói chuyện, anh ấy sẽ tỉnh lại. Tôi muốn nhắn rằng mẹ con tôi rất cần anh ấy, rằng chồng tôi phải kiên cường chiến đấu, rằng anh ấy không thể bỏ lại mẹ con tôi như vậy được".

Kỳ tích đã xảy ra. Vài ngày sau đó, phần trắng đục trên ảnh chụp X-quang phổi của Jim đã thuyên giảm. Jim Bello từng bước cai ECMO, phản ứng tốt với các yêu cầu của bác sĩ dù vẫn phải sử dụng máy thở thường.

Ngày 11/4, gần một tháng sau khi nhập viện, gia đình Bello được đoàn tụ với nhau qua video call. Cả nhà đặt chiếc iPad thật sát màn hình để người em trai Riley, hiện ở New Hampshire, có thể trò chuyện cùng.

Dù chưa thể nói chuyện được, Jim vẫn cố gắng ngẩng đầu, hé mắt và khẽ vẫy tay như một lời đáp lại tình yêu và sự động viên của gia đình.

cuoc chien chong covid-19 anh 4

"Chúng con chỉ muốn nói rằng bố hãy cố lên, tất cả rồi sẽ ổn thôi. Cả nhà yêu bố nhiều lắm!" là những lời yêu thương gia đình Bello gửi gắm tới Jim. Ảnh: Kayana Szymczak.

Các bác sĩ chưa thể xác định điều gì đã cứu sống Jim. Sau nhiều suy đoán, họ kết luận rằng thời gian và ý chí của bệnh nhân đã giúp anh vượt qua căn bệnh này.

Ngày 14/4, Jim đã hoàn toàn cai ECMO và có thể tự hô hấp bình thường. Anh được chuyển từ phòng ICU sang phòng bệnh thường trong sự vui mừng của các y bác sĩ.

Bác sĩ Rubin vô cùng phấn khởi trước tình trạng sức khỏe của Jim: "Thật là một điều kỳ diệu. Chúng tôi rất lạc quan rằng anh ấy sẽ sớm hoàn toàn bình phục!".

Khi được hỏi về cảm xúc của mình, Jim Bello, lúc này đã có thể hô hấp và nói chuyện bình thường, bày tỏ sự cảm kích với đội ngũ y bác sĩ - những người đã không ngại xả thân để cứu sống anh.

"Tôi còn sống là nhờ có họ - những con người tôi chẳng hề biết mặt sau bộ đồ bảo hộ ấy!", anh nói.

cuoc chien chong covid-19 anh 5

Jim Bello đã trở về nhà vào tuần trước. Gia đình Bello biết ơn sự hy sinh của các y bác sĩ tại Bệnh viện đa khoa Massachusetts. Ảnh: New York Times.

Lời cảm ơn gửi đến các 'chiến sĩ áo trắng' tuyến đầu chống dịch

Khi dịch Covid-19 đang dần được kiểm soát, việc ủng hộ, tiếp sức cho các chiến sĩ tuyến đầu góp phần giúp công cuộc chống dịch nhanh chóng thành công.

Trang Minh

Bạn có thể quan tâm