Các bác sĩ khoa Phẫu thuật Tiêu hóa Gan mật Tụy, BV Bạch Mai, vừa phẫu thuật viêm phúc mạc do thủng ổ loét hành tá tràng cho một học sinh thi chuyển cấp từ lớp 9 lên lớp 10.
Người nhà bệnh nhân cho biết Đ. có tiền sử viêm dạ dày tá tràng đã điều trị nội khoa nhiều đợt. Gần đây, lo lắng chuyện thi cử, luyện thi nên Đ. đau bụng vùng trên rốn nhiều hơn.
Sau một ca học thêm buổi tối, Đ. về nhà thì bị đau bụng dữ dội kèm theo sốt cao. Gia đình đưa vào Bệnh viện Bạch Mai cấp cứu trong tình trạng có hội chứng nhiễm trùng rõ, bụng đau co cứng như khúc gỗ.
Sau khi được làm những xét nghiệm cần thiết, bệnh nhân Đ. được chẩn đoán viêm phúc mạc do thủng ổ loét hành tá tràng. Ngay lập tức các bác sĩ mổ cấp cứu phẫu thuật nội soi khâu lỗ thủng ổ loét hành tá tràng, lau rửa, dẫn lưu ổ bụng. Sau 5 ngày điều trị, Đ. được ra viện nhưng vẫn tiếp tục điều trị thuốc và theo dõi khám lại.
![]() ![]() |
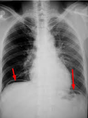
Hình khí tự do dưới cơ hoành (mũi tên đỏ) trước mổ của bệnh nhân Đ., chứng tỏ có thủng tạng rỗng (ảnh đen trắng). Ảnh thủng mặt trước hành tá tràng quan sát trong mổ của bệnh nhân Đ (mũi tên xanh). |
Theo bác sĩ Nguyễn Hàm Hội, khoa Phẫu thuật Tiêu hóa Gan mật Tụy, Bệnh viện Bạch Mai, áp lực thi cử, căng thẳng trong cuộc sống... là một trong những nguyên gây loét dạ dày - tá tràng.
Viêm loét dạ dày - tá tràng là căn bệnh xuất phát từ tổn thương của lớp niêm mạc - lớp lót trong cùng của dạ dày hoặc tá tràng bị bào mòn. Nếu không được phát hiện và điều trị kịp thời, loét sẽ khoét sâu xuống các lớp bên dưới thành dạ dày gây các biến chứng như thủng, chảy máu, hẹp môn vị, ung thư hóa...
Nguyên nhân gây bệnh có thể kể đến như lạm dụng thuốc lá, bia rượu; ăn uống, sinh hoạt thiếu điều độ, căng thẳng tâm lý (stress)... Điều này lý giải việc bệnh viêm loét dạ dày tá tràng trước đây thường gặp ở độ tuổi trưởng thành. Tuy nhiên, căn bệnh này càng ngày càng trẻ hóa, xuất hiện ở lứa tuổi học đường do áp lực học hành, thi cử đặc biệt thời điểm cuối năm học.
Theo các bác sĩ, thủng ổ loét là biến chứng nặng nề của bệnh loét dạ dày tá tràng và là hậu quả của mất cân bằng giữa các yếu tố tấn công (acid, pepsin) và hệ thống bảo vệ niêm mạc của dạ dày, tá tràng. Hàng năm, thế giới có khoảng 4 triệu người mắc, chiếm 1,5-3% dân số. Tỉ lệ biến chứng của loét dạ dày, tá tràng khoảng 10-20%. Trong đó, biến chứng thủng chiếm 2-14%.
Thủng ổ loét hành tá tràng có thể gặp bất cứ thời gian nào trong năm nhưng hay gặp về mùa đông xuân, là lúc giao thời. Thủng ổ loét dạ dày - tá tràng phát hiện và xử trí muộn có tỷ lệ tử vong 2,5-10%. Ở bệnh nhân già yếu tỷ lệ tử vong lên đến 30%.
Nhận diện cơn đau dạ dày - tá tràng
Bác sĩ Nguyễn Văn Minh, khoa Phẫu thuật Tiêu hóa Gan mật Tụy, Bệnh viện Bạch Mai ,cho hay với trẻ em ở lứa tuổi học đường, cha mẹ và người thân cần sớm nhận biết dấu hiệu căng thẳng, lo âu, thậm chí sợ hãi của trẻ như mệt mỏi, hay hồi hộp, lo lắng, vã mồ hôi, khó chịu, bồn chồn, rối loạn cảm xúc (cáu giận, bực bội, phản ứng thái quá trước những việc bình thường), ăn ngủ kém, hay đau bụng đi ngoài mỗi khi căng thẳng...
Khi đã có viêm loét dạ dày, trẻ sẽ có những cơn đau bụng trên rốn hoặc quanh rốn âm ỉ, giống như rối loạn tiêu hóa nên cha mẹ thường chủ quan tự chữa bằng men tiêu hóa, tẩy giun… Do đó, nhiều khi bệnh chỉ được phát hiện khi đã biến chứng. Ngoài ra, trẻ còn có thể buồn nôn, nôn, ợ hơi, ợ chua…
Để giúp trẻ tránh áp lực, căng thẳng cha mẹ cần:
- Giúp con có kế hoạch học tập hợp lý, tránh dồn khối lượng lớn trước kỳ thi, có thời gian xen kẽ nghỉ ngơi, thư giãn, vận động thể chất.
- Ăn uống khoa học, hợp vệ sinh, sinh hoạt điều độ, tránh thức khuya.
- Động viên, khuyến khích tạo tâm trạng thoải mái cho trẻ, không đòi hỏi kết quả vượt quá xa năng lực thực tế của trẻ.
- Không trách mắng, xúc phạm trẻ khi kết quả không đạt được như kỳ vọng...
Muốn ăn uống lành mạnh nhưng hay stress công việc? Muốn tập thể dục đều đặn nhưng hay làm việc trễ? Mục Sức khỏe giới thiệu một số sách để đồng hành cùng bạn từ phòng gym đến đường chạy, từ văn phòng đến bếp ăn. Tuyển tập này sẽ cung cấp thêm nhiều lựa chọn, và bớt đi một số nỗi lo trên hành trình cân bằng cuộc sống hiện đại.

