Bạn có thể chuyển sang phiên bản mobile rút gọn của Tri thức trực tuyến nếu mạng chậm. Đóng

Đi khám sức khỏe định kỳ đón Tết nhưng lại phát hiện khối u phổi lớn

Để chuẩn bị đón Tết, người đàn ông (49 tuổi, sống tại tỉnh Phú Thọ) đi khám sức khỏe định kỳ và bất ngờ phát hiện khối u phổi có kích thước lớn.

Mọi người nên đi khám sức khỏe định kỳ để tránh bỏ sót nguy cơ mắc bệnh. Ảnh: Mai Thanh.

Vào ngày 15/1, Bệnh viện đa khoa Hùng Vương cho biết bệnh nhân nam (49 tuổi, sống ở tỉnh Phú Thọ) có biểu hiện đau khớp gối hai bên nhưng không có các dấu hiệu bất thường nào khác.

Bác sĩ đã chỉ định bệnh nhân làm các chỉ số xét nghiệm kiểm tra đường máu, mỡ máu cũng như xét nghiệm tầm soát ung thư phù hợp với độ tuổi.

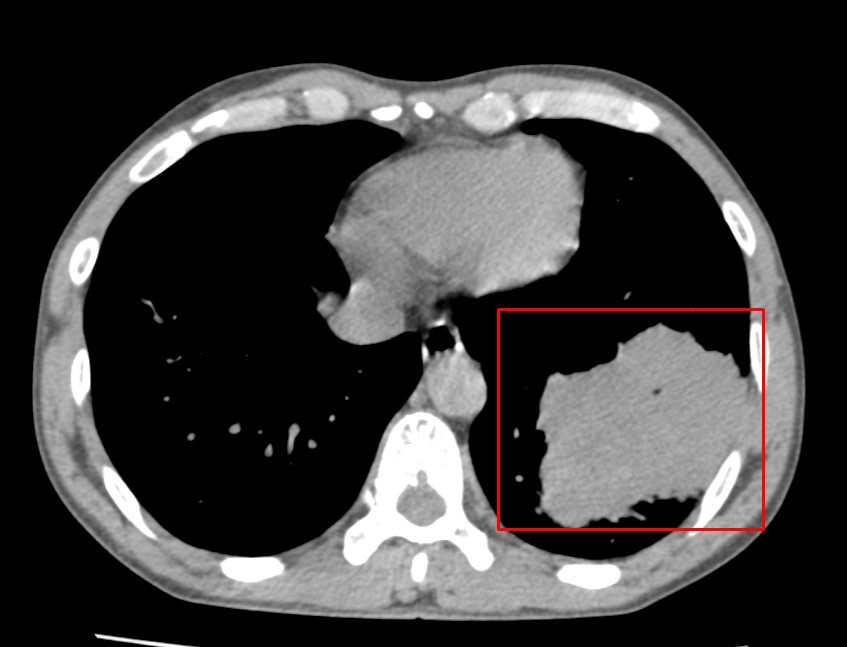
Kết quả kiểm tra cho thấy phim chụp CT lồng ngực của bệnh nhân có hình ảnh khối u thùy dưới phổi trái kích thước 73 x 80 mm. Chính bệnh nhân cũng rất bất ngờ với kết quả khám của mình.

Người đàn ông được các bác sĩ chuyên khoa Ung bướu tại Bệnh viện đa khoa Hùng Vương và các chuyên gia tại Bệnh viện K Trung Ương cùng tư vấn, hội chẩn để đưa ra phương pháp điều trị phù hợp.

Theo bệnh viện, người đàn ông phát hiện khối u phổi khá lớn mặc dù không có biểu hiện bất thường nào. Do đó, để tránh bỏ sót nguy cơ mắc bệnh, các chuyên gia khuyến cáo mọi người nên đi khám sức khỏe định kỳ, nhất là người trên 55 tuổi, hút nhiều thuốc lá, làm trong môi trường khói bụi, ô nhiễm hoặc có người thân bị ung thư phổi.

ung thu phoi anh 1

Kết quả chụp CT lồng ngực của bệnh nhân. Ảnh: BVCC.

Theo tiến sĩ Bùi Chí Bảo, người đồng sáng lập Trung tâm Công nghệ Y khoa DNA, có nhiều yếu tố gây ra bệnh ung thư phổi như thói quen sinh hoạt không hợp lý làm ảnh hưởng đến sức khỏe của lá phổi, tiếp xúc nhiều với khói thuốc lá, không khí ô nhiễm, hay làm việc xung quanh các cơ sở luyện thép, niken, crom hoặc khí than.

Để chẩn đoán bệnh ung thư phổi, bệnh nhân sẽ được yêu cầu thực hiện một số phương pháp như chụp X-quang lồng ngực, điều này sẽ giúp sớm phát hiện bệnh. Bác sĩ sẽ chỉ định chụp cắt lớp vi tính lồng ngực để xác định vị trí, kích thước và mức độ phát triển của khối u ra ngoài phổi hay chưa.

Ngoài ra, bệnh nhân có thể được lấy sinh thiết ở vùng khác thường của phổi sau đó nhuộm và soi dưới kính hiển vi quang học để chẩn đoán xác định mức độ ung thư phổi.

Sách về nghề y

Tò mò về nghề y, về một nghề nghiệp luôn có tác động đến cuộc đời bạn nhưng luôn đầy những thông tin kỹ thuật khó hiểu? Đây là một số giới thiệu của mục Sức khỏe dành cho bạn:

Ký túc xá - Cá tốc ký: Cuốn sách kể về đời sống của sinh viên Đại học Y Hà Nội, chủ yếu xoay quanh đời sống ký túc xá, nơi tác giả đã trải qua tuổi trẻ cùng 10 thành viên khác trong phòng 110 E2.

Chạy trời không khỏi đau: Tập hợp các ghi chép của tác giả Adam Kay trong 6 năm hành nghề y từ 2004 đến 2010, cuốn sách là bản báo cáo không khoan nhượng về công việc của đội ngũ y tế của Vương quốc Anh đang làm việc ngày đêm nhưng chưa được nhìn nhận và tôn trọng đúng mức.

Những người thường xuyên đi du lịch sẽ có sức khỏe tốt hơn

Theo một nghiên cứu mới đây tại Anh, những hạn chế trong việc đi lại xa khỏi khu vực sinh sống có liên quan tới việc sức khỏe kém hơn.

Nam Giao

Bạn có thể quan tâm