Bạn có thể chuyển sang phiên bản mobile rút gọn của Tri thức trực tuyến nếu mạng chậm. Đóng

Giải pháp phục hồi mất răng và tiêu xương ở người trẻ

Tiêu xương là hệ quả thường gặp khi mất răng. Tình trạng này có thể được ngăn chặn nhờ phương pháp trồng răng Implant sớm.

Tiêu xương (hay còn gọi tiêu xương ổ răng) là tình trạng suy giảm mật độ, chiều cao, thể tích của xương ổ răng và xung quanh chân răng. Nguyên nhân gây tiêu xương răng chủ yếu đến từ việc mất răng và viêm nha chu.

Tiêu xương và cách phòng ngừa

Tùy vào cơ địa mỗi người mà quá trình tiêu xương diễn ra nhanh hay chậm sau khi mất răng. Theo nguồn Thư viện y học quốc gia Mỹ (National Libraby of Medicine), trong vòng một năm đầu tiên, 25% xương hàm ở vị trí răng mất sẽ tiêu biến. Từ 1 đến 3 năm tiếp theo, mật độ xương sẽ suy giảm đến 40% nếu vị trí răng mất không được phục hồi.

tieu xuong,  mat rang anh 1

Khi răng bị mất, vùng xương hàm không còn lực để ăn nhai, lâu dần dẫn đến tiêu xương.

Dấu hiệu tiêu xương chân răng diễn tiến theo thời gian. Nếu không được điều trị kịp thời, người bệnh sẽ đối mặt nhiều tác hại về sức khỏe lẫn thẩm mỹ khuôn mặt như hàm răng bị lệch (bởi các răng xung quanh có xu hướng đổ về phía chỗ trống tiêu xương); xương hàm trũng, răng yếu gây lệch khớp cắn và ảnh hưởng chức năng ăn nhai; khuôn mặt bị teo nhỏ, lão hóa nhanh do các dây chằng và cơ mặt ngày càng hóp vào trong.

Ngoài ra, tiêu xương hàm kéo dài khiến quá trình điều trị về sau khó khăn hơn, nhất là các trường hợp xương bị tiêu theo chiều đứng.

Để ngăn ngừa tình trạng tiêu xương do mất răng, người trẻ cần nâng cao ý thức giữ gìn vệ sinh răng miệng. Bạn nên đặt lịch thăm khám, vệ sinh, lấy vôi răng định kỳ 6 tháng/lần để hạn chế tình trạng viêm nướu dẫn đến viêm nha chu. Khi nhận thấy dấu hiệu ban đầu của viêm nướu, bạn cần điều trị sớm với nha sĩ.

Một giải pháp hữu hiệu là trồng răng sau khi mất răng. Trong tất cả phương pháp phục hình răng giả, trồng răng Implant là giải pháp có thể ngăn ngừa tình trạng tiêu xương và có kết quả lâu dài.

Lưu ý khi trồng răng Implant cho người bị tiêu xương

Cấy ghép Implant nhằm tạo ra chiếc răng có hình dáng và chức năng gần như răng thật. Kỹ thuật này được thực hiện bằng cách cấy trụ titanium vào xương hàm, sau đó chụp mão răng sứ lên trên thông qua khớp nối abutment.

Nhờ trồng răng Implant, người mất răng có thể khôi phục chức năng nhai, cải thiện thẩm mỹ gương mặt lên đến hơn 90%. Đặc biệt, phương pháp này tạo lực tác động lên xương hàm khi ăn uống và tránh gây tiêu biến xương ở vị trí mất răng.

tieu xuong,  mat rang anh 2

Ghép xương trong cấy ghép Implant giúp trụ Implant ổn định và đứng vững.

Những trường hợp muốn trồng răng Implant khi bị tiêu xương nhiều, xương hàm xốp hay mất răng lâu năm vẫn có thể thực hiện sau khi ghép xương. Ghép xương trong cấy ghép Implant giúp bổ sung, tái tạo phần xương đã tiêu, góp phần tăng thể tích xương, nhằm ổn định cấu trúc nền ở vị trí răng mất và tăng khả năng thành công khi cấy ghép Implant.

Trong điều trị nha khoa, ghép xương là một trong những kỹ thuật phức tạp và dễ gặp biến chứng nguy hiểm như thủng xoang, xương không tương thích khiến trụ Implant bị đào thải,... Do đó, người bệnh cần lưu ý lựa chọn trung tâm nha khoa uy tín và bác sĩ giỏi chuyên môn, dày dạn kinh nghiệm để đạt kết quả điều trị tốt.

tieu xuong,  mat rang anh 3

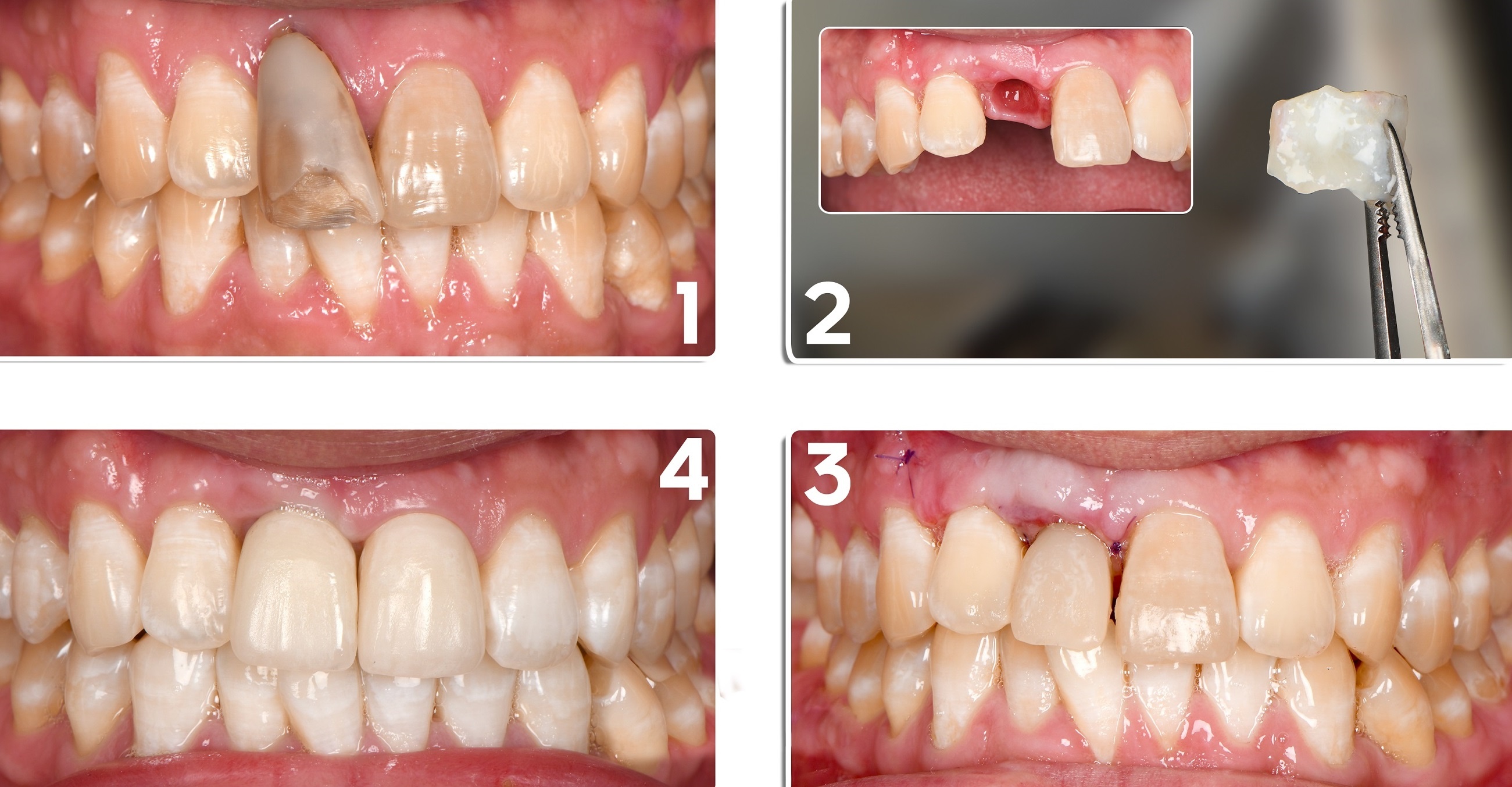
Ca phục hồi răng cửa bị thương, hư tủy, tiêu xương bằng giải pháp trồng răng Implant do bác sĩ Elite Dental thực hiện.

Tại Elite Dental, người bệnh có thể an tâm bởi quy trình ghép xương và cấy ghép Implant được thực hiện bởi đội ngũ bác sĩ có hơn 15 năm kinh nghiệm. Các vật liệu, xương ghép, trụ Implant được nhập khẩu chính hãng từ các công ty danh tiếng tại Mỹ, châu Âu, Thụy Sĩ,...

Ngoài ra, nha khoa có hệ thống trang thiết bị hiện đại như máy chụp phim 3 chiều CBCT, máy Piezotome, máy Sirolaser Blue, công nghệ kỹ thuật số CAD/CAM với máy Cerec Chairside nhập khẩu từ Đức. Hệ thống thiết bị, máy móc tiên tiến giúp tăng tỷ lệ điều trị thành công lên đến 99%, hạn chế xâm lấn và giảm viêm sưng tối đa.

tieu xuong,  mat rang anh 4

Đội ngũ bác sĩ tại Elite Dental thực hiện quy trình ghép xương và cấy Implant.

Đồng hành kiến tạo nụ cười khỏe đẹp, ngăn ngừa tiêu xương hàm, Nha khoa Elite Dental mang đến ưu đãi hấp dẫn cho khách hàng trồng răng Implant. Từ 15/6 đến 30/7, thương hiệu triển khai chương trình: Tặng quà trị giá 2 triệu đồng cho gói khám, tư vấn, chụp phim và xét nghiệm máu; giảm giá đến 15 triệu đồng cho khách điều trị trồng răng Implant từ 4 trụ trở lên. Độc giả đăng ký tại đây.

Website: elitedental.com.vn | Hotline: 0902559888 - (028)73063838.

Ganh hau qua vi bo dieu tri viem gan B hinh anh

Gánh hậu quả vì bỏ điều trị viêm gan B

0

Một bệnh nhân 39 tuổi rơi vào suy gan tối cấp, hôn mê sâu do tự ý ngừng điều trị viêm gan B mạn tính, các bác sĩ Bệnh viện Quân y 175 phải ghép gan cấp cứu xuyên đêm để giành giật sự sống.

Mộc Trà

Bạn có thể quan tâm