Bạn có thể chuyển sang phiên bản mobile rút gọn của Tri thức trực tuyến nếu mạng chậm. Đóng

Vì sao bệnh cúm quen thuộc nhưng có thể gây chết người?

Thông tin diễn viên Từ Hy Viên qua đời do cúm và viêm phổi khiến nhiều người lo lắng, bởi đây là bệnh phổ biến mà nhiều người từng mắc.

tu hy vien benh cum anh 1

Theo gia đình, Từ Hy Viên qua đời do cảm cúm và viêm phổi. Ảnh: ETtoday.

Nữ diễn viên Từ Hy Viên qua đời ở tuổi 49 trong chuyến du lịch tại Nhật Bản do cảm cúm và viêm phổi. Theo ETtoday, cô sẽ được hỏa táng tại Nhật Bản trong vài ngày tới trước khi người thân đưa tro cốt về Đài Loan (Trung Quốc).

Sự ra đi đột ngột của nữ minh tinh không chỉ khiến công chúng xót xa mà còn dấy lên lo ngại về mức độ nguy hiểm của cúm.

Thực tế, cúm là một trong những bệnh truyền nhiễm lâu đời nhất, luôn tiềm ẩn nguy cơ đe dọa sức khỏe con người. Virus cúm không ngừng biến đổi, có thể gây ra các biến chứng nguy hiểm như viêm phổi, suy hô hấp, thậm chí tử vong.

Thời điểm bệnh cúm gia tăng

Cúm mùa là bệnh nhiễm trùng hô hấp cấp tính do virus cúm gây ra, lây lan nhanh chóng và có thể dẫn đến các biến chứng nguy hiểm, đặc biệt ở những người có hệ miễn dịch yếu.

Virus cúm được chia thành bốn chủng chính: A, B, C và D. Trong đó, cúm A và B là nguyên nhân phổ biến nhất gây bệnh ở người, thường liên quan đến các đợt dịch cúm mùa hàng năm. Cúm C thường gây bệnh nhẹ hoặc không có triệu chứng rõ rệt, trong khi cúm D chủ yếu ảnh hưởng đến gia súc và chưa ghi nhận gây bệnh cho con người.

Theo Tổ chức Y tế Thế giới (WHO), mỗi năm, khoảng 5-10% người lớn và 20-30% trẻ em trên toàn thế giới nhiễm cúm. Trong số này, có khoảng 500.000 ca tử vong liên quan đến các biến chứng nghiêm trọng của bệnh cúm như viêm phổi, suy hô hấp và các bệnh lý tim mạch. Các triệu chứng phổ biến của cúm bao gồm sốt cao liên tục, đau đầu, rét run, sổ mũi, đau họng, đau cơ và mệt mỏi.

Bác sĩ Xuân Anh, khoa Cấp cứu, Bệnh viện Trung ương Quân đội 108, cho biết virus cúm thường bùng phát mạnh vào mùa thu và mùa đông, với dịch đạt đỉnh vào các tháng 3, 4, 9 và 10. Tuy nhiên, cúm vẫn có thể xuất hiện quanh năm, đặc biệt là trong mùa đông - xuân do điều kiện thời tiết thuận lợi cho virus phát triển.

tu hy vien benh cum anh 2

Mặc dù là căn bệnh phổ biến và quen thuộc, cúm vẫn tiềm ẩn nhiều nguy cơ cho sức khỏe con người. Ảnh: Theprint.

Thực tế cho thấy dịch cúm đang diễn biến phức tạp trên toàn cầu. Đầu tháng 1/2025, Trung Quốc ghi nhận tình trạng quá tải bệnh nhân nhập viện do nhiễm virus HMPV, loại virus gây viêm phổi trên người có biểu hiện giống cúm. Cùng thời điểm, Nhật Bản cũng đang phải đối mặt với số ca nhập viện do cúm tăng cao kỷ lục trong 25 năm qua.

Virus cúm có thể lây lan từ người sang người chủ yếu qua các giọt bắn chứa virus khi người bệnh ho, hắt hơi hoặc nói chuyện, với phạm vi lây nhiễm khoảng 1,8 m. Ngoài ra, virus có thể tồn tại trên bề mặt các vật dụng và lây lan gián tiếp khi tay chạm vào bề mặt nhiễm virus rồi đưa lên mắt, mũi hoặc miệng. Các triệu chứng cúm thường xuất hiện sau khoảng 1-4 ngày kể từ khi virus xâm nhập vào cơ thể, trung bình là 2 ngày.

Những biến chứng nguy hiểm

Viện Y tế Quốc gia Mỹ (NIH) cảnh báo cúm có thể gây ra các biến chứng nghiêm trọng, đặc biệt là viêm phổi. Mối liên hệ giữa cúm và viêm phổi đã được ghi nhận từ đại dịch cúm năm 1958-1959, khi viêm phổi do cúm nguyên phát chiếm tới 18% số ca nhập viện liên quan đến biến chứng đường hô hấp dưới.

Hầu hết bệnh nhân khi đó đều trên 45 tuổi, có bệnh tim tiềm ẩn và xuất hiện các triệu chứng điển hình như sốt cao, ho khan kéo dài, đau nhức cơ thể. Các trường hợp nặng nhanh chóng diễn tiến thành suy hô hấp nghiêm trọng, gây khó thở và tím tái.

Nguyên nhân là virus cúm tấn công lớp niêm mạc đường hô hấp, làm suy yếu hệ miễn dịch, tạo điều kiện cho vi khuẩn xâm nhập vào phổi và gây nhiễm trùng.

Trả lời phỏng vấn ETtoday, bác sĩ Đỗ Thành Triết cho biết viêm phổi có tỷ lệ tử vong lên đến 40% hoặc cao hơn, tùy thuộc vào các yếu tố nguy cơ và khả năng miễn dịch của bệnh nhân. Ngay cả ở những quốc gia có hệ thống y tế phát triển, tỷ lệ sống sót cũng không thể đạt 100%.

Vị bác sĩ này đưa ra ví dụ về một bệnh nhân 50 tuổi bị hen suyễn và hút thuốc lá thường xuyên. Ban đầu, người này chỉ ho nhẹ và không quan tâm nhiều. Tuy nhiên, sau khi ho ra máu và nhập viện cấp cứu, bệnh nhân được chẩn đoán mắc viêm phổi. Chỉ 3 ngày sau, bệnh nhân rơi vào tình trạng suy hô hấp nặng, phải chuyển vào khoa hồi sức tích cực. Dù được điều trị tích cực trong ba tháng, bệnh nhân không qua khỏi do nhiễm trùng huyết và suy đa cơ quan.

Bác sĩ Triết nhấn mạnh viêm phổi là căn bệnh nguy hiểm cần được theo dõi sát sao. Những dấu hiệu cảnh báo bao gồm: khó thở, thở gấp, tím tái, ho ra máu hoặc đờm đặc, đau ngực, rối loạn ý thức, huyết áp thấp hoặc sốt cao kéo dài trên 72 giờ. Khi xuất hiện các triệu chứng này, người bệnh cần đến cơ sở y tế lớn để thăm khám và điều trị kịp thời.

Nhóm có nguy cơ cao bao gồm: trẻ em từ 6 đến 59 tháng tuổi, người trên 50 tuổi, người mắc bệnh phổi mạn tính như hen suyễn, bệnh tim mạch, bệnh chuyển hóa (thận, gan, thần kinh, máu, tiểu đường). Ngoài ra, những người suy giảm miễn dịch do thuốc hoặc HIV, phụ nữ mang thai trong mùa cúm, trẻ em từ 6 tháng đến 18 tuổi dùng aspirin lâu dài, cư dân viện dưỡng lão và người béo phì cũng có nguy cơ cao mắc bệnh.

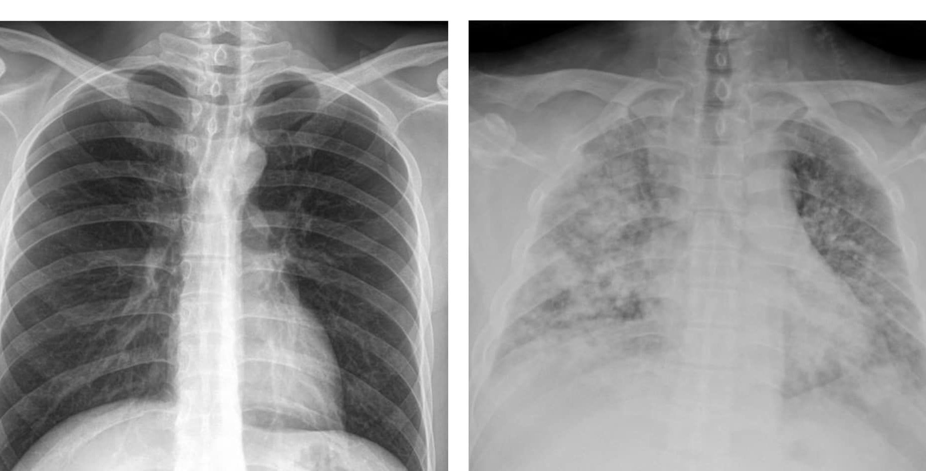
tu hy vien benh cum anh 3

Bác sĩ Đỗ Thành Triết đăng ảnh chụp X-quang phổi của một bệnh nhân bị viêm phổi nặng do cúm. Ảnh: ETtoday.

Bên cạnh viêm phổi, cúm còn có thể gây viêm phế quản khi virus lan từ đường hô hấp trên xuống khí quản và phổi. Người mắc viêm phế quản do cúm thường có triệu chứng ho có đờm, thở khò khè, khó thở, kéo dài đến ba tuần.

Một biến chứng nguy hiểm khác là nhiễm trùng huyết, xảy ra khi phản ứng viêm lan rộng khắp cơ thể, có thể dẫn đến suy đa cơ quan và đe dọa tính mạng nếu không điều trị kịp thời. Ngoài ra, cúm còn có thể gây nhiễm trùng xoang, suy hô hấp và các vấn đề hô hấp khác.

Cách tốt nhất để phòng bệnh cảm cúm

Hầu hết trường hợp cúm sẽ tự khỏi sau khoảng vài ngày đến 1 tuần mà không cần can thiệp y tế. Tuy nhiên, để phòng ngừa bệnh hiệu quả và giảm nguy cơ biến chứng, tiêm vaccine cúm hàng năm là biện pháp tối ưu.

Cúm có thể xảy ra quanh năm nhưng thường bùng phát mạnh vào mùa đông và xuân. Do đó, thời điểm lý tưởng để tiêm phòng là trước mùa dịch khoảng một tháng.

Theo khuyến cáo của Trung tâm Kiểm soát và Phòng ngừa Dịch bệnh Mỹ (CDC), mọi người từ 6 tháng tuổi trở lên đều nên tiêm vaccine cúm mỗi năm để tăng cường miễn dịch, đặc biệt là các nhóm nguy cơ cao như trẻ nhỏ, người già, phụ nữ mang thai và người có bệnh lý nền.

Bên cạnh việc tiêm phòng, các biện pháp phòng tránh lây nhiễm cúm cũng rất quan trọng, bao gồm: Giữ ấm cơ thể khi trời lạnh, đeo khẩu trang nơi đông người, rửa tay thường xuyên bằng xà phòng hoặc dung dịch sát khuẩn, tránh chạm tay lên mặt khi chưa vệ sinh sạch sẽ và hạn chế tiếp xúc gần với người đang mắc bệnh.

Khi xuất hiện các triệu chứng nghi ngờ như sốt cao, ho kéo dài, đau nhức cơ thể, khó thở hoặc mệt mỏi bất thường, cần đến cơ sở y tế để được thăm khám và điều trị kịp thời, đặc biệt đối với trẻ nhỏ, người già và những người có bệnh lý nền, để tránh nguy cơ gặp các biến chứng nguy hiểm.

Hồi ký "Hồng Sơn 'Công Chúa' - Quái kiệt sân cỏ trong màu áo lính" kể chuyện đời, chuyện nghề thăng trầm nhiều vinh quang nhưng cũng lắm thách thức của cầu thủ vàng làng bóng đá Việt Nam.

Căn bệnh khiến Từ Hy Viên qua đời nguy hiểm thế nào?

Thông tin Từ Hy Viên qua đời vì cảm cúm và viêm phổi đang là vấn đề nhận được sự quan tâm lớn từ người hâm mộ.

Co dau hieu nay, can di kham tim ngay hinh anh

Có dấu hiệu này, cần đi khám tim ngay

0

Người trẻ không nên chủ quan nghĩ rằng bệnh tim mạch chỉ xuất hiện ở người lớn tuổi mà bỏ qua các dấu hiệu bệnh, dễ dẫn đến những biến chứng nghiêm trọng sau này.

Kỳ Duyên

Bạn có thể quan tâm