Bạn có thể chuyển sang phiên bản mobile rút gọn của Tri thức trực tuyến nếu mạng chậm. Đóng

Hình ảnh phổi của bệnh nhân bị virus corona phá hủy

Kết quả chụp CT phổi của các bệnh nhân Covid-19 thường chung đặc điểm là xuất hiện những đốm trắng.

virus corona lan rong anh 1

Đây là hình ảnh chụp CT phổi của Tiger Ye, một bệnh nhân 21 tuổi tại Vũ Hán. Trong 3 tuần, Tiger miêu tả cuộc sống của mình như "chết đi sống lại" với những cơn ho đến nổ phổi, toàn thân đau nhức. May mắn, bệnh nhân này đã qua khỏi tình trạng nguy kịch và đã được xuất viện về nhà theo dõi tiếp từ ngày 12/2. Ảnh: Bloomberg.

virus corona lan rong anh 2

Hình ảnh CT phổi này là của một bệnh nhân 50 tuổi qua đời ngày 27/1 sau 2 tuần điều trị tại Trung Quốc. Tim bệnh nhân ngừng đập sau khi bị tổn thương phế nang. Trước đó, các bác sĩ tại Trung Quốc cho bệnh nhân điều trị bằng thuốc gồm điều trị chống nhiễm trùng interferon alfa-2b, thuốc AIDS lopinavir - ritonavir và kháng sinh moxifloxacin để ngừa nhiễm trùng thứ cấp. Ngoài ra, bác sĩ cũng chỉ định steroid methylprednisolone để điều trị tình trạng viêm phổi, khó thở và thiếu oxy trong máu. Ảnh: The Lancet.

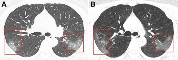
virus corona lan rong anh 3

Hình chụp CT hai lá phổi của một bệnh nhân nữ 33 tuổi ở Lan Châu, Trung Quốc. Trong hình A, có nhiều "đốm trắng" mờ như thủy tinh ở thùy phải và sau đỉnh thùy trái. Hình B là phổi chụp sau 3 ngày theo dõi bệnh nhân. Nó cho thấy những đốm trắng ngày càng lan rộng bên trong phổi người bệnh, "xâm chiếm" đỉnh sau thùy phải và sau đỉnh của thùy trái. Ảnh: RSNA.

virus corona lan rong anh 4

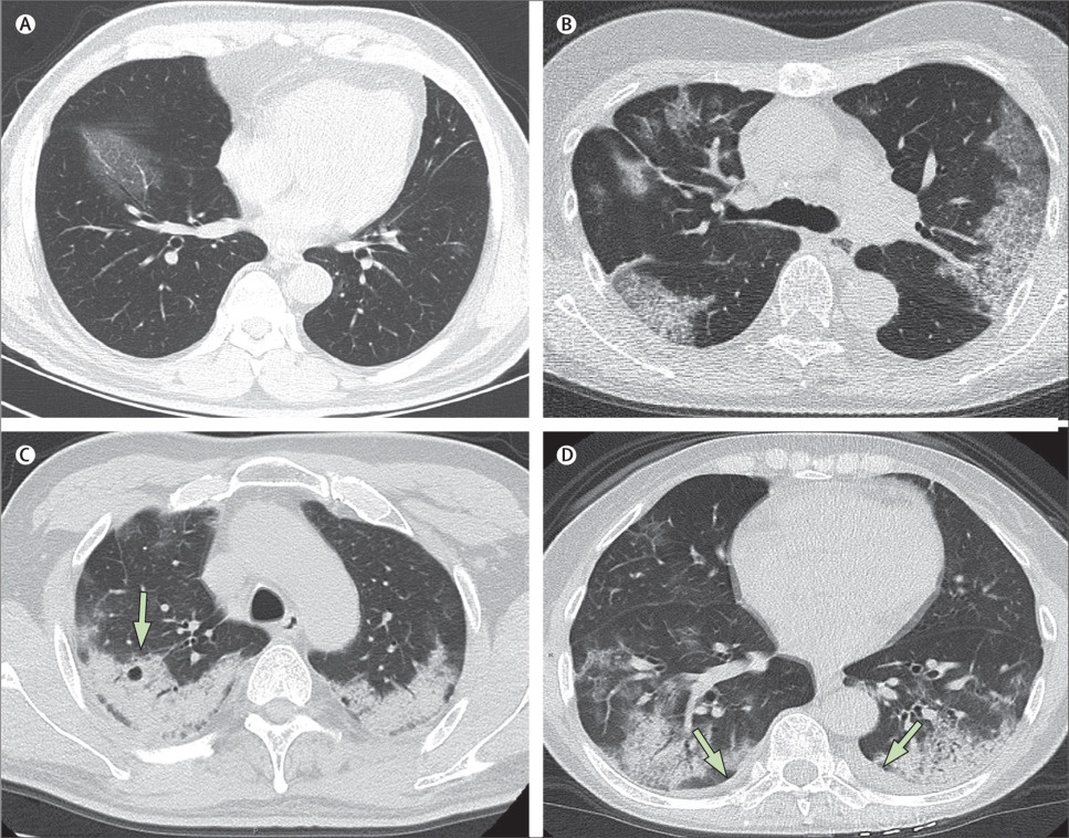
Hình CT chụp phổi của các bệnh nhân Covid-19 tại Trung Quốc.Hình A: Bệnh nhân nam 56 tuổi, ngày thứ 3 sau khi khởi phát triệu chứng, phổi xuất hiện các đốm trắng từ vách liên sườn đến nội nhãn ở thùy dưới bên phải. Hình B: Bệnh nhân nữ 74 tuổi, ngày thứ 10 sau khi khởi phát triệu chứng: hai bên phổi dày đặc những đốm trắng chứng tỏ sự xâm chiếm và phá hủy nặng của virus corona tới các phế nang. Hình C: Nữ bệnh nhân 61 tuổi, ngày 20 sau khi khởi phát triệu chứng: phổi bị bao phủ bởi lớp trắng mờ đục dày, các phế nang bên trong đã bắt đầu biến đổi. Hình D: Nữ bệnh nhân 63 tuổi, ngày 17 sau khi khởi phát triệu chứng: hai bên phổi xuất hiện lớp đốm trắng dày trong phế quản ở cả thùy dưới lẫn thùy trên, đã có hiện tượng tràn dịch màng phổi. Ảnh: The Lancet.

virus corona lan rong anh 5

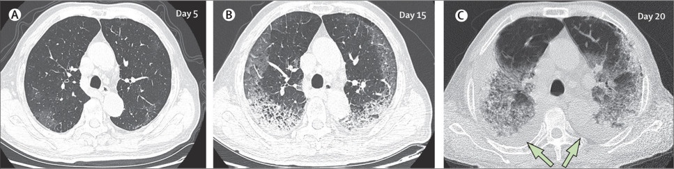
Đây là CT phổi của một bệnh nhân nam 77 tuổi (ở Trung Quốc) trong gần 3 tuần điều trị. Đáng tiếc, tình trạng của bệnh nhân nguy kịch, không qua khỏi do sức tàn phá mạnh của virus corona bên trong phổi. (A) - ngày thứ 5, sau khi khởi phát triệu chứng: các mảnh mờ đục bắt đầu loang lổ, ảnh hưởng đến nhu mô phổi hai bên, dưới màng cứng. (B) - ngày thứ 15, các đốm trắng hình lưỡi liềm đã chiếm lấy cả hai phổi, xuôi theo võng mạc phía sau và tập trung ở đáy. (C) - ngày 20, các tổn thương mở rộng ra hai bên phổi, đốm trắng gần như chiếm được cơ quan này và xuất hiện tình trạng tràn dịch màng phổi hai bên (mũi tên). 10 ngày sau lần quét này,bệnh nhân tử vong. Ảnh: The Lancet.

Chuyên gia Trung Quốc tiết lộ mới về nguồn gốc lây nhiễm virus corona

Theo nghiên cứu mới nhất của các học giả Trung Quốc, chủng mới của virus corona không bắt nguồn từ chợ hải sản Huanan (Vũ Hán) như trước đây vẫn giả thuyết.

Lần đầu tiên giải mã cấu trúc ba chiều thụ thể của tế bào virus corona

Kết quả phân tích cấu trúc 3D thụ thể ACE2 của virus corona đóng vai trò quan trọng trong việc giải mã những bí ẩn chưa biết về loại virus này.

Thiên Nhan

Bạn có thể quan tâm