Hội chứng mất cơ bụng gọi là Eagle-Barrett hoặc hội chứng bộ ba, là một tập hợp các khiếm khuyết bẩm sinh: các cơ bụng ở phía trước yếu hoặc bị mất; các bộ phận của đường tiết niệu phát triển bất thường; ở trẻ nam, có đến 95% các trường hợp tinh hoàn ở lại bên trong ổ bụng mà không xuống bìu; có các tổn thương khác như: độ cong cột sống, trật khớp hông, bàn chân vẹo, các bệnh về hô hấp, tim hoặc tiêu hóa.
Cho đến nay, khoa học vẫn chưa rõ nguyên nhân của hội chứng này, các nhà nghiên cứu cho rằng sự gián đoạn trong quá trình phát triển của thai nhi đã làm cho những dị tật đó phát sinh. Rằng có thể có sự hiện diện một khối gì đó chặn một phần của đường tiết niệu của thai nhi, làm cho các bộ phận khác của đường tiết niệu phát triển bất thường. Do ống niệu đạo của bào thai bị cản trở, khiến phần còn lại của nó phát triển không bình thường, phình to ra.
Dấu hiệu phát hiện bệnh
Các bậc cha mẹ cần chú ý các triệu chứng sau ở trẻ sơ sinh: trẻ không có hoặc chỉ có cơ bụng rất mỏng, khoảng da bao phủ vùng bụng đó nhăn nheo hoặc chùng xuống; ở trẻ trai, tinh hoàn bị tụt vào bên trong bụng, không thấy ở bìu; đường niệu đạo không bình thường, như: ống niệu lớn, bàng quang sưng phồng, nước tiểu tích lại hoặc chảy ngược từ bàng quang qua ống niệu lên thận; nhiễm khuẩn ống niệu do không thể bài tiết được nước tiểu.
Nếu siêu âm trong thời kỳ thai nghén có thể thấy sự phát triển bất thường của bàng quang và đường tiết niệu của thai nhi. Trong khi thai nhi phát triển, dịch tiết ra trong bụng ngày càng lan rộng nhiều hơn. Nhưng chất lỏng được tái hấp thu trước khi sinh, cho nên khi sinh ra, bụng của đứa trẻ bị võng hoặc da nhăn nheo. Sau khi sinh, siêu âm và chụp Xquang có thể xác định được các tổn thương bất thường về đường tiết niệu.
![]() |
| Trẻ bị mất cơ bụng, khoảng da vùng bụng đó nhăn nheo hoặc chùng xuống. |
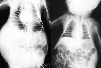
![]() |
| Hình ảnh tổn thương mất cơ bụng trên phim Xquang. |
Dấu hiệu dễ nhận thấy nhất của bệnh là bụng trẻ sơ sinh to bất thường, da vùng bụng nhăn nheo. Trẻ sơ sinh thường xuyên bị viêm đường tiết niệu. Xét nghiệm máu, nước tiểu kiểm tra chức năng thận thấy các triệu chứng viêm nhiễm và suy thận.Bất thường về cơ xương khớp bao gồm: vẹo cột sống, trật khớp bẩm sinh, có thể bị trật cả khớp hông. Vì vậy, chẩn đoán hội chứng mất cơ bụng đòi hỏi đánh giá chỉnh hình kỹ lưỡng vì tỷ lệ cao bất thường của cơ xương liên quan.
Sau này khi trẻ lớn lên sẽ thấy một triệu chứng thường gặp là cảm giác khó chịu sau khi xuất tinh, có thể do co thắt bàng quang kéo dài khoảng 2 giờ.
Biến chứng
Hội chứng mất cơ bụng có thể có các biến chứng: phình giãn to các cơ quan nội tạng như bàng quang và ruột. Khi đó, dù có phẫu thuật để giải quyết nhưng vẫn không trả lại một kích thước bình thường cho bàng quang và ruột bị giãn. Bởi sau phẫu thuật, bàng quang lại bị giãn do thiếu cơ bắp.
Biến chứng suy thận sẽ đòi hỏi bệnh nhi phải chạy thận nhân tạo hoặc ghép thận. Tuy nhiên, nếu được điều trị thích hợp, bệnh nhi mắc hội chứng này vẫn có cuộc sống khỏe mạnh và thọ như người bình thường.
Vấn đề điều trị
Cho đến nay, vẫn chưa có phương pháp nội khoa để điều trị hội chứng này mà chủ yếu là phải phẫu thuật để điều trị. Giống như hầu hết các rối loạn, việc điều trị phụ thuộc vào mức độ nghiêm trọng của các triệu chứng.
Hội chứng mất cơ bụng có tên khoa học là hội chứng Prune-Belly, là khiếm khuyết bẩm sinh, trung bình ở Mỹ, cứ 40.000 trẻ có 1 trẻ mắc phải. Bệnh thường gặp ở các bé trai với tỷ lệ 96%. Hội chứng này do một rối loạn hệ thống tiết niệu bẩm sinh, có triệu chứng đặc trưng là da bụng nhăn giống quả mận khô. Bệnh có thể gây ra những hậu quả rất nghiêm trọng: 20% trẻ tử vong trước khi sinh, 30% tử vong do các bệnh về thận trong vòng 2 năm sau sinh, 50% còn lại sẽ gặp phải những bệnh về tiết niệu ở các mức độ khác nhau.
Một lựa chọn là thực hiện một phẫu thuật mở bàng quang ra thành bụng để cho nước tiểu thoát ra, giúp ngăn ngừa nhiễm khuẩn đường tiết niệu. Hoặc đặt ống thông tiểu thường xuyên nhiều lần trong ngày là một phương pháp hiệu quả để ngăn ngừa nhiễm khuẩn. Phẫu thuật triệt để nhất là tái tạo thành bụng và đường tiết niệu.
Đối với các bệnh nhi bị nhiễm khuẩn đường tiểu, phải dùng kháng sinh để điều trị và phòng ngừa. Phẫu thuật nhằm sửa chữa khiếm khuyết của đường tiết niệu và đưa tinh hoàn từ trong ổ bụng xuống bìu. Tuy nhiên, dù được điều trị tích cực nhưng nhiều bệnh nhi vẫn bị suy thận. Do đó, việc chạy thận nhân tạo và ghép thận vẫn rất cần thiết để cứu sống trẻ.
Hiện nay, phương pháp phẫu thuật nội soi ổ bụng có rất nhiều triển vọng giúp cho việc điều trị hội chứng mất cơ bụng có nhiều thuận lợi.

