Bạn có thể chuyển sang phiên bản mobile rút gọn của Tri thức trực tuyến nếu mạng chậm. Đóng

Lấy cao răng thường xuyên nhưng bộ nhai vẫn ố vàng

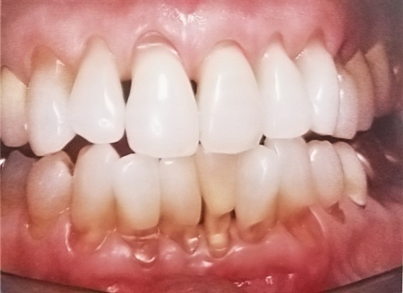
Nhiều người thắc mắc răng luôn bị ố vàng dù không hút thuốc, uống cà phê. Thậm chí tình trạng trở nên nghiêm trọng hơn sau khi lấy cao răng. Vậy nguyên nhân do đâu?

Nguyên nhân răng ố vàng

BSCK Thái Mỹ Lan, phòng khám đa khoa Dr.Binh Teleclinic Hà Nội, cho biết răng ố vàng do nhiều nguyên nhân. Thứ nhất, trong quá trình hình thành và phát triển, men và ngà răng bị ngấm các chất hóa học (hay gặp là răng nhiễm màu do tetracycline).

Thứ hai, sau khi mọc, răng bị nhiễm màu do tủy chết, phục hình hay các loại thức ăn nước uống mang lại. Hút thuốc lá, uống nước chè, cà phê là những nguyên nhân thường gặp của nhóm thứ 2. Ngoài ra, rất nhiều nguyên nhân khác có thể gây ố vàng răng như ăn thức ăn có màu, vệ sinh không đúng cách.

Theo bác sĩ Lan, nhiều người sinh ra men răng bị thiểu sản, mất men, màu sắc không đều, hoặc nhiễm màu do tetracycline. Một số người may mắn được sở hữu hàm răng sáng bóng song có giữ được bộ nhai đẹp suốt đời hay không lại phụ thuộc vào nhiều yếu tố. Nếu không biết chăm sóc giữ gìn chắc chắn răng sẽ xuống cấp theo thời gian.

Bác sĩ Lan khuyến cáo, lấy cao răng là biện pháp giúp bộ nhai trắng bóng hơn nhờ loại bỏ những chất lắng cặn canxi ở bề mặt răng, trên hoặc dưới lợi. Lấy cao răng đúng kỹ thuật không hề làm hại bề mặt men răng.

Trong trường hợp răng có dấu hiệu vàng hơn sau khi lấy cao răng, có thể do men đã bị tổn thương, không còn bóng nên dễ lưu giữ lại các chất màu.

Cách làm trắng răng an toàn

Vị chuyên gia này chia sẻ cách tốt nhất để giữ răng trắng đẹp tự nhiên là chải răng đúng cách, ngày 2 lần. Lưu ý nên sử dụng bàn chải mềm, vệ sinh nhẹ nhàng theo chiều dọc trong khoảng 2 phút để đảo bảo khoang miệng sạch sẽ.

Không nên dùng các cách tẩy trắng răng như cho than, cát, gạo rang vào kem đánh răng vì cách này sẽ mài mòn men răng. Bên cạnh đó, việc sử dụng các chất tẩy giá rẻ chưa được kiểm chứng bởi cơ quan y tế cũng để lại hậu quả nghiêm trọng.

Về phương phải tẩy trắng răng tại các trung tâm nha khoa, thẩm mỹ viện, bệnh viện được nhiều người áp dụng hiện nay, bác sĩ Lan cho biết chúng không nguy hiểm, chưa phát hiện biến chứng.

Tuy nhiên, bác sĩ này lưu ý, khi tẩy trắng răng có thể gây ê buốt trong vòng 24h. Thời gian 1-2 tuần sau khi tiến hành biện pháp này, bạn phải kiêng các chất màu. Việc duy trì độ răng trắng lâu hay ít phụ thuộc vào bạn có kiêng hay không. Thông thường, sau hai năm răng trở về màu cũ.

Hà Quyên

Bạn có thể quan tâm