Bạn có thể chuyển sang phiên bản mobile rút gọn của Tri thức trực tuyến nếu mạng chậm. Đóng

Người đàn ông 38 tuổi mắc ung thư giai đoạn cuối do thói quen xấu

Người bệnh 38 tuổi đến viện với thể trạng gầy, da niêm mạc vàng đậm, đau nhiều thượng vị lan sau lưng, ăn uống kém.

Một ca phẫu thuật cho bệnh nhân ung thư của các bác sĩ khoa Phẫu thuật Tiêu hóa - Gan mật tụy, Bệnh viện Bạch Mai. Ảnh: BVCC.

Các bác sĩ khoa Phẫu thuật tiêu hóa - Gan mật tụy, Bệnh viện Bạch Mai, Hà Nội, cho biết ông P.T.N. (38 tuổi), có thói quen sử dụng rượu từ năm 16 tuổi, hút thuốc lá mỗi ngày trung bình một bao.

Một tháng trước khi vào viện, ông N. xuất hiện đau bụng vùng thượng vị âm ỉ kèm theo vàng mắt, vàng da tăng dần, gầy sút 5 kg/tháng.

Ông N. đi khám, điều trị tại nhiều bệnh viện lớn ở Hà Nội và được chẩn đoán là tắc mật do viêm tụy mạn. Sau một thời gian điều trị nội khoa, tình trạng bệnh không tiến triển, gia đình tìm hiểu thông tin và đã đến phòng khám khoa Phẫu thuật tiêu hóa - Gan mật tụy.

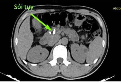
Người bệnh P.T.N. vào viện với thể trạng gầy, da niêm mạc vàng đậm, đau nhiều thượng vị lan sau lưng, ăn uống kém. Trên phim cộng hưởng từ và cắt lớp vi tính cùng với siêu âm nội soi (2 lần) đều cho thấy có hình ảnh giãn ống tụy, sỏi tụy, giãn đường mật trong và ngoài gan, không rõ khối vùng đầu tụy.

Sau khi làm đầy đủ các thăm dò, bác sĩ quyết định phẫu thuật cho người bệnh với chẩn đoán tắc mật do viêm tụy mạn, sỏi tụy, theo dõi u đầu tụy. Kết quả sinh thiết tức thì hạch quanh đầu tụy cho kết quả là ung thư biểu mô tuyến di căn.

Bệnh nhân được quyết định cắt khối tá tràng - đầu tụy, nạo vét hạch mở rộng. Kết quả giải phẫu bệnh khối tá tụy và tổ chức hạch quanh tụy là ung thư biểu mô tuyến tụy trên nền viêm tụy mạn tính, di căn 34 trên 78 hạch nạo vét được.

Ung thu tuy anh 1

Hình ảnh sỏi tụy trên CLVT của bệnh nhân. Ảnh: BVCC.

Bệnh nhân được phẫu thuật thành công nhưng tiên lượng sẽ rất nặng do tụy viêm đã ung thư hóa và di căn hạch.

Một trường hợp khác là bệnh nhân nam N.V.B. (50 tuổi) cũng có thói quen uống rượu từ năm 20 tuổi, mỗi ngày trung bình 150 ml. Gần đây, ông B. thấy đau bụng âm ỉ quanh rốn, thượng vị, ở nhà tự mua thuốc giảm đau uống nhưng không đỡ.

Một tháng nay, người đàn ông thấy đau bụng tăng lên kèm ăn uống kém. Qua bạn bè giới thiệu, bệnh nhân đến khám tại phòng khám của khoa Phẫu thuật tiêu hóa - Gan mật tụy,

Phim chụp cắt lớp vi tính cho thấy hình ảnh nhu mô tụy teo nhỏ, ống tụy giãn 1 cm và trong có rất nhiều sỏi. Người bệnh được chẩn đoán sỏi tụy/viêm tụy mạn - nghiện rượu và chỉ định phẫu thuật theo phương pháp Frey.

Sau mổ, bệnh nhân được sử dụng hệ thống giảm đau, kết hợp vận động sớm và can thiệp dinh dưỡng. Ông B. được ra viện sau 7 ngày phẫu thuật, sức khỏe ổn định, đã bỏ rượu theo tư vấn của bác sĩ.

Bác sĩ Nguyễn Thành Khiêm, khoa Phẫu thuật tiêu hóa - Gan mật tụy, cho biết nghiện rượu được coi là nguyên nhân hàng đầu gây viêm tụy mạn (chiếm tới khoảng 90% các trường hợp). Rượu gây kết tủa và làm tăng độ nhớt của dịch tiết tuyến tụy, dẫn đến sự phát triển của các nút protein trong ống dẫn nhỏ của tụy.

Sau đó, chúng hình thành sỏi gây viêm và xơ hóa tiến triển, dẫn đến hủy hoại tế bào tụy ngoại tiết, tế bào hình sao và tế bào biểu mô ống tụy.

Rượu cũng dẫn đến kích hoạt sớm trypsinogen và các enzym tiêu hóa khác trong chính tế bào tụy ngoại tiết. Điều này dẫn tới quá trình tự phá hủy trong nhu mô tụy, dẫn đến tình trạng viêm tụy.

Theo bác sĩ Đỗ Văn Minh, khoa Phẫu thuật tiêu hóa - Gan mật tụy, ngoài ra, bệnh còn các nguyên nhân khác như đột biến gene, tắc hẹp ống tụy, tăng triglyceride máu, tăng canxi máu, viêm tụy tự miễn… Một số trường hợp không tìm được nguyên nhân gọi là viêm tụy tự phát.

Viêm tụy mạn thường tiến triển âm thầm, khi phát hiện ra bệnh thường ở giai đoạn muộn. Vì vậy, chúng ta cần phải kiểm tra sức khỏe định kỳ hàng năm.

Đặc biệt, những bệnh nhân có nguy cơ như tiểu đường, kém hấp thu, bệnh nhân uống rượu nhiều năm... khi phát hiện ra bệnh nên điều trị hoặc khám theo dõi tại các cơ sở chuyên khoa. Nếu không quản lý tốt, bệnh sẽ dẫn đến các biến chứng nguy hiểm có thể ảnh hưởng đến tính mạng.

Thế nào là chế độ ăn kiêng tốt nhất? Làm thế nào để ngừng lo lắng về cân nặng và tập trung vào việc sống lành mạnh? Để giải quyết mối quan tâm về vấn đề này, mục Sức khỏe của Zing giới thiệu bạn cuốn sách Chỉ dẫn để sống khỏe toàn diện của tác giả Shaun Francis. Sách sẽ giúp người đọc tập trung việc ăn uống lành mạnh, rèn luyện thể chất và giữ tinh thần minh mẫn trong thời buổi bận rộn.

Một người mất mạng, hai trường hợp nguy kịch sau cuộc nhậu

Ba người đàn ông ở TP.HCM cùng nhau uống rượu liên hoan, sau đó phải nhập viện cấp cứu. Đáng chú ý, một người đã được điều trị tích cực nhưng không qua khỏi.

Phương Anh

Bạn có thể quan tâm