Bác sĩ Lê Xuân Đức, Trưởng khoa Nội Tổng quát, Bệnh viện Đa khoa Tư nhân Bình Dương, cho biết vừa thực hiện thành công ca nội soi gắp dị vật là một phần thức ăn lớn (thịt heo) đường kính khoảng 5 cm đã bị vữa trong thực quản cho một người đàn ông. Nạn nhân là ông N.V.H (SN 1967, quê Bình Phước).
Trước đó một ngày, ông N.V.H vẫn ăn cơm tối bình thường cùng gia đình và cố nuốt thức ăn nên mắc nghẹn, sau đó không thể nuốt thêm, uống nước vào bị sặc và ói, liên tục cảm thấy khó chịu vùng cổ họng kèm theo khó thở, nặng ngực sau xương ức. Sau đó, người thân đã đưa đi khám tại ở khu vực gần nhà (ở Bình Phước) nhưng vì là một Phòng Khám nhỏ nên bác sĩ tại đây không thể điều trị dứt điểm cho người bệnh.
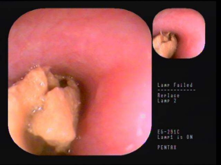
![]() |
| Kết quả nội soi dị vật. Ảnh: BVCC |
Sau khi nhập viện, ê-kíp bác sĩ sau khi thăm khám và thực hiện cận lâm sàng đã xác định phần thức ăn bị vướng tại 1/3 dưới thực quản của người bệnh.
Bác sĩ Đức cho biết: “Đây là một trường hợp đặc biệt bởi phần dị vật là khối thức ăn khá lớn đã bị vỡ nát và gây khó khăn khi thực hiện thủ thuật này. Các bác sĩ phải chia dị vật ra thành nhiều phần nhỏ sau hơn 45 phút, ê-kíp đã gắp hoàn toàn phần thức ăn ra khỏi thực quản cho người bệnh”.
Sau thủ thuật, người bệnh đã nuốt lại bình thường và cảm thấy hết tức ngực sau xương ức, hơi thở đều và đã xuất viện.
![]() |
| Một phần nhỏ của dị vật sau khi được gắp ra. Ảnh: BVCC |
Bác sĩ Đức khuyến cáo qua trường hợp này: Việc bất cẩn trong quá trình ăn uống nếu ăn vội và không nhai kĩ, nuốt thức ăn dạng hình khối, thịt, xương sụn cứng… không cẩn thận để tâm trong bữa ăn có thể dẫn đến những tình huống tương tự; nếu không điều trị kịp thời có thể bị viêm thực quản & đường hô hấp, gây ra nhiễm trùng hô hấp trào ngược về sau.
Một số lời khuyên của bác sĩ khi bị co thắt và hẹp thực quản:
1. Phải cẩn thận trong quá trình ăn uống, không được ăn vội vàng, nên tránh sự căng thẳng trong bữa ăn.
2. Khi mắc phải dị vật không được tự ý dùng các phương pháp dân gian mà phải đưa ngay đến các cơ sở y tế gần nhất để được xử trí kịp thời, hạn chế những rủi ro đáng tiếc có thể xảy ra
3. Nếu đã bị hẹp và hay gặp chứng co thắt thực quản, cần đi nội soi kiểm tra định kỳ theo chỉ dẫn của bác sĩ
4. Trong thời gian điều trị nên dùng nước mát, tránh dùng các thức uống nóng hoặc lạnh vì dễ gây kích thích co thắt thực quản.
5. Nên ăn thức ăn mềm, lỏng và chia nhỏ miếng giúp cho người bệnh dễ dàng nuốt hơn.
6. Kiêng tuyệt đối các chất kích thích, đặc biệt là thức uống có cồn như các loại bia rượu, thuốc lá.
7. Giữ tâm lý thoải mái, lạc quan trong quá trình điều trị, nghỉ ngơi và sinh hoạt hợp lý để tránh căng thẳng mệt mỏi.

