Bạn có thể chuyển sang phiên bản mobile rút gọn của Tri thức trực tuyến nếu mạng chậm. Đóng

Nhiều trẻ nhập viện do lồng ruột thời điểm giao mùa

Liên tiếp trong những tuần gần đây, Bệnh viện Bãi Cháy (Quảng Ninh) tiếp nhận và cấp cứu nhiều trẻ em nhập viện do lồng ruột cấp.

BSCKI Lê Văn Trọng, khoa Ngoại tổng hợp, khám lại cho bệnh nhi sau tháo lồng. Ảnh: BVCC.

Mới đây, các bác sĩ khoa Ngoại tổng hợp, Bệnh viện Bãi Cháy, Quảng Ninh, đã bơm hơi tháo lồng ruột cấp cho bệnh nhi T.V.B.N. (3 tuổi, TP Hạ Long). Trẻ nhập viện trong tình đau bụng, quấy khóc giờ thứ 2.

Gia đình bé N. cho biết trước khi đến bệnh viện khoảng 2 tiếng, bệnh nhi kêu đau bụng, quấy khóc nhiều nên gia đình đưa tới khám và điều trị.

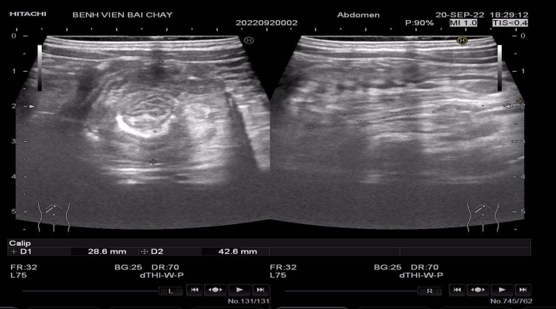
Khi vào viện, trẻ được các bác sĩ thăm khám thấy bụng chướng, nắn đau, sờ có khối lồng ruột vùng hạ sườn phải cứng chắc, di động. Kết quả siêu âm vùng hạ sườn phải có hình ảnh khối hỗn hợp âm kích thước 28x42 mm, gồm nhiều vòng tròn đồng tâm trên lát cắt ngang, bên trong có vài hạch mạc treo.

Các bác sĩ đã hội chẩn, thống nhất chẩn đoán bệnh nhi bị lồng ruột cấp và có chỉ định tháo bằng phương pháp bơm hơi tháo lồng. Sau tháo lồng, trẻ hết đau bụng và không còn quấy khóc, các chỉ số sinh tồn ổn định.

Liên tiếp trong những tuần gần đây, Bệnh viện Bãi Cháy tiếp nhận và cấp cứu nhiều trẻ em nhập viện do lồng ruột cấp.

Bác sĩ chuyên khoa I Lê Văn Trọng, khoa Ngoại tổng hợp, cho biết lồng ruột là cấp cứu ngoại khoa thường gặp ở trẻ em, xảy ra khi một đoạn ruột phía trên di chuyển và chui vào lòng của đoạn ruột phía dưới, gây tắc nghẽn sự lưu thông của ruột. Khi các đoạn ruột lồng vào nhau, mạch máu cũng bị cuốn theo. Hậu quả là các mạch máu ruột bị thắt nghẹt, tổn thương, gây chảy máu.

"Nếu không được điều trị kịp thời, bệnh lồng ruột có thể dẫn đến nhiều biến chứng nguy hiểm tính mạng như hoại tử, thủng ruột, rách thành ruột gây nhiễm trùng ổ bụng và nhiễm trùng máu", bác sĩ Trọng nói.

Benh long ruot anh 1

Hình ảnh trẻ bị lồng ruột qua siêu âm. Ảnh: BVCC.

Lồng ruột có thể gặp ở bất cứ lứa tuổi nào nhưng thường thấy ở trẻ dưới 2 tuổi (chiếm tới 80% trường hợp lồng ruột). Trong đó, nhiều nhất là ở lứa tuổi 4-9 tháng. Bệnh thường gặp ở bé trai nhiều hơn bé gái 2-4 lần. Tỷ lệ tái phát sau tháo lồng không phẫu thuật là 8-12%. Sau phẫu thuật tháo lồng, tỷ lệ tái phát là 0-3%.

Theo bác sĩ Trọng, nguyên nhân gây lồng ruột ở trẻ thường do bất tương xứng giữa đoạn manh tràng và ruột non và khi có tác nhân như ho, viêm đường hô hấp, viêm hạch mạc treo… Trong thời điểm giao mùa hiện nay, trẻ dễ gặp các vấn đề về đường hô hấp, số bệnh nhi bị lồng ruột tăng cao.

Trẻ khi bị lồng ruột có thể dễ dàng nhận thấy các biểu hiện bất thường như trẻ khóc thét vì đau bụng, nôn mửa, bỏ bú, sau đó bụng trướng căng, đại tiện phân máu lẫn nhầy và có thể toàn máu tươi.

Các triệu chứng có thể dịu bớt trong một khoảng thời gian ngắn, sau đó lại xuất hiện với mức độ nặng hơn: Trẻ la hét, khóc thét từng cơn sau đó mệt lả, da xanh tái, tiểu ít, sốt cao, lờ đờ, hôn mê, dấu hiệu mất nước nặng cộng với biểu hiện của nhiễm khuẩn, nhiễm độc hoặc sốc do mất nước hay sốc nhiễm khuẩn.

Bác sĩ Trọng khuyến cáo trẻ còn bú mẹ, dưới 5 tuổi có hiện tượng bỏ bú, bỏ ăn, quấy khóc, đau bụng kèm theo nôn cần đưa trẻ đến ngay cơ sở y tế để được chẩn đoán và xử trí kịp thời. Hành động này giúp tránh xảy ra biến chứng nặng như ruột hoại tử, sốc và nguy cơ tử vong.

Nhiều trẻ tại Hà Nội phải nhập viện do mắc bệnh hô hấp

Mỗi ngày, một bệnh viện thuộc Hà Nội phải tiếp nhận tới khoảng 30 trường hợp bệnh nhi mắc bệnh về đường hô hấp vào điều trị nội trú.

Phương Anh

Bạn có thể quan tâm