Răng miệng và tiểu đường
Bệnh tiểu đường có thể làm giảm sức đề kháng của cơ thể. Lượng đường trong máu quá cao có thể làm tăng nguy cơ mắc bệnh về nướu. Như một vòng luẩn quẩn, nướu bệnh thì gây khó trong việc kiểm tra lượng đường trong máu. Bảo vệ nướu bằng cách giữ cho lượng đường ở mức ổn định và bình thường. Đánh răng sau mỗi bữa ăn và dùng chỉ nha khoa hằng ngày. Sau cùng, đến gặp bác sĩ nha khoa mỗi năm một lần.
![]() |
|
Lượng đường trong máu quá cao có thể làm tăng nguy cơ mắc bệnh về nướu. |
Thuốc tây và chứng khô miệng
Nếu bạn bị khô miệng, nguyên nhân có thể do thuốc bạn đang uống. Thuốc kháng sinh, thuốc thông mũi, thuốc giảm đau, thuốc chống trầm cảm là một trong những loại có thể gây khô miệng. Nếu dừng thuốc mà tình trạng này không chấm dứt, hãy gặp bác sĩ để được tư vấn.
![]() |
|
Thuốc kháng sinh, thuốc thông mũi, thuốc giảm đau, thuốc chống trầm cảm là một trong những loại có thể gây khô miệng. |
Stress và mòn răng
Nếu bạn bị stress, lo lắng, chán nản, bạn có thể có nguy cơ cao hơn đối với các vấn đề về sức khỏe răng miệng. Cơ thể người chịu quá nhiều áp lực sẽ tiết ra một lượng lớn các hormone cortisol, hormone phá hủy nướu răng và cơ thể.
Stress cũng dẫn đến việc chăm sóc răng miệng kém; hơn 50% người khi bị stress không đánh răng hay sử dụng chỉ nha khoa một cách thường xuyên. Một số người thì hút thuốc, uống rượu, hay nghiến răng (sẽ dẫn đến mòn răng).
Loãng xương và rụng răng
Bệnh loãng xương ảnh hưởng đến tất cả xương trong cơ thể bạn, bao gồm cả xương hàm, và dễ dẫn đến rụng răng. Vi khuẩn từ viêm nha chu cũng có thể phá vỡ xương quai hàm. Một loại thuốc loãng xương – Bisphosphonates – có thể làm tăng nguy cơ hoại tử xương, tuy nhiên trường hợp này khá hiếm. Hãy nói với nha sĩ nếu bạn đang sử dụng loại thuốc này.
Nướu nhạt màu và thiếu máu
Miệng đau và nhạt màu nếu bạn đang thiếu máu, kể cả lưỡi có thể trở nên sưng phồng và mịn (viêm lưỡi). Khi bạn thiếu máu, cơ thể của bạn không đủ các tế bào máu, hay các tế bào máu không chứa đủ hemoglobin. Kết quả là cơ thể không nhận đủ oxy. Có rất nhiều loại bệnh thiếu máu khác nhau và việc điều trị cũng theo đó mà khác nhau. Hãy tới gặp bác sĩ để có giải pháp tốt nhất.
![]() |
|
Miệng đau và nhạt màu nếu bạn đang thiếu máu, kể cả lưỡi có thể trở nên sưng phồng và mịn (viêm lưỡi). |
Ăn uống không điều độ sẽ dẫn đến mòn răng
Một nha sĩ có thể là người đầu tiên nhận ra những dấu hiệu của việc ăn uống không điều độ. Các axit trong dạ dày gây nên việc nôn mửa kéo dài sẽ ăn mòn men răng nghiêm trọng.
Thuốc tẩy cũng có thể gây sưng tấy ở các tuyến miệng, cổ họng, nước bọt cũng như hơi thở có mùi. Biếng ăn, ăn uống không kiềm chế hay rối loạn ăn uống cũng có thể dẫn đến sự thiếu hụt dinh dưỡng nghiêm trọng ảnh hưởng đến sức khỏe răng miệng.
HIV
Những người mắc bệnh HIV/AIDS có thế bị nấm miệng, mụn cóc trong miệng, mụn bọc nước... đó là những mảng màu trắng hoặc xám trên lưỡi hoặc bên trong má.
Nguyên nhân là ở hệ thống miễn dịch của cơ thể bị suy yếu và không có khả năng ngăn chặn nhiễm trùng. Những người mắc bệnh HIV/AIDS cũng có thể gặp khô miệng, sâu răng và khó khăn trong việc nhai, nuốt, thậm chí là nói.
![]() |
|
HIV-hệ thống miễn dịch của cơ thể bị suy yếu và không có khả năng ngăn chặn nhiễm trùng. |
Nướu và viêm khớp dạng thấp
Người bị viêm khớp dạng thấp có khả năng mắc bệnh về nướu gấp 8 lần những người bình thường. Tồi tệ hơn, những người viêm khớp có thể gặp khó khăn trong việc đánh răng và dùng chỉ nha khoa vì vấn đề về các khớp ngón tay. Tuy nhiên, điều trị viêm nướu cũng có thể làm giảm đau khớp và viêm khớp.
Mất răng và bệnh thận
Người trưởng thành không còn răng có nguy cơ mắc bệnh thận mãn tính nhiều hơn so với những người còn răng. Bệnh thận và bệnh nha chu không chắc chắn là có liên quan với nhau. Nhưng các nhà nghiên cứu cho rằng viêm nướu mãn tính có thể là mối đe dọa phổ biến. Vì vậy, việc chăm sóc răng và nướu có thể làm giảm nguy cơ mắc bệnh thận mãn tính.
![]() |
|
Người trưởng thành không còn răng có nguy cơ mắc bệnh thận mãn tính nhiều hơn so với những người còn răng. |
Bệnh nướu răng và sinh non
Nếu bạn đang mang thai và bạn có vấn đề về nướu, khả năng bạn sinh non là có thể xảy ra. Mang thai và những thay đổi bên trong cũng xuất hiện những vấn đề nghiêm trọng về nướu.
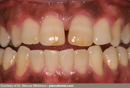
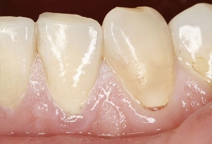
Vậy thì nướu răng khỏe mạnh thì như thế nào?
![]() |
|
Nướu răng khỏe mạnh có màu hồng và vững chắc, không phải màu đỏ và sưng to. |
Nướu răng khỏe mạnh có màu hồng và vững chắc, không phải màu đỏ và sưng to. Để giữ cho nướu răng khỏe mạnh, thực hiện vệ sinh răng miệng thật tốt. Đánh răng ít nhất 2 lần 1 ngày, sử dụng chỉ nha khoa ít nhất 1 lần 1 ngày, khám răng định kỳ thường xuyên và tránh hút thuốc.





