Những dị tật này khiến những người bệnh mắc phải gặp rất nhiều khó khăn trong cuộc sống và thường xuyên bị xa lánh. Nhiều người trong số họ đã dần chấp nhận sự khác biệt của họ và vẫn duy trì cuộc sống của mình một cách bình thường.
Một số người không chấp nhận nổi đã viện đến những ca phẫu thuật nguy hiểm để thay đổi diện mạo của họ. Một số người khác tham gia vào gánh xiếc và chấp nhận bị gọi là "quái vật" để kiếm sống. Những người khác thì giấu mình, sống ẩn cư để tránh những phản ứng tiêu cực của người xung quanh.
Dưới đây là 10 dị tât nếu không nhìn thấy bạn sẽ không tin là có tồn tại trên đời.
|
|
|
Bệnh sừng da (Cornu cutaneum) là kết quả khi lượng keratin trong cơ thể có hình nón và nhô ra bên ngoài của da. Những người bị dị tật này thường bị xua đuổi và gọi là ác quỷ. |
|
|
|
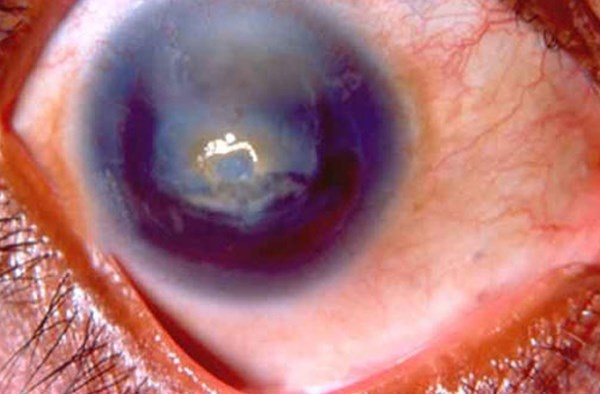
Tật dị mống mắt (aniridia) là một chứng rối loạn di truyền, người mắc phải bệnh này là người hỏng giác mạc bẩm sinh. Bệnh này có thể khiến người mắc bị mù và đôi mắt của họ trông rất quái dị. |
|
|
|
Bệnh đầu gối ngược (Genu recurvatum). Mắc phải căn bệnh kỳ quái này, người ta sẽ có một đôi chân kỳ quặc với đầu gối quay về phía lưng. Người mắc bệnh sẽ không thể đi đứng hay di chuyển bằng chân mà phải đồng thời dùng cả tay của mình để di chuyển, họ cũng thường bị gọi là quái vật. Tuy nhiên, đến này cũng cực ít người mắc phải căn bệnh kỳ quái này. |
|
|
|
Hội chứng tay càng tôm hùm (Ectrodactyly) là hội chứng mà những người mắc phải bị mất đi một số ngón tay, ngón chân và những ngón còn lại dính vào nhau tạo nên hình dáng giống như càng tôm hùm. Tỷ lệ trẻ sơ sinh mắc bệnh này cũng khá cao và có thể phẫu thuật tách ngón. |
|
|
|
Bệnh u sợi thần kinh (Neurofibromatosis) là bệnh hệ thần kinh gây ra các khuyết tật da và các khối u trên các mô thần kinh. Tiến triển xấu theo thời gian và không có phương pháp điều trị đặc hiệu, phẫu thuật cắt bỏ không dứt điểm được bệnh. Những người mắc bệnh này rất hay bị xa lánh do đặc điểm xấu xí và ghê sợ. |
|
|
|
Bệnh mọc đuôi có thể do nứt đốt sống nhưng cũng có thể là một cá thể song sinh chưa hoàn thiện. Các thai nhi hấp thu dinh dưỡng trong tử cung, nhưng không phải tất cả thai nhi đều phát triển như dự đoán. Một khi thai khi không hấp thụ được chất dinh dưỡng nữa nó sẽ trở thành một cái đuôi. Chiếc đuôi đó bao gồm chất béo, cơ, dây thần kinh và các mạch máu mà không có bất kỳ xương hoặc sụn nào. Trên thế giới cũng có nhiều trường hợp mắc phải căn bệnh lạ này nhưng do ở chỗ kín và chẳng mấy ảnh hưởng nên cuộc sống của những người này chẳng có gì xáo trộn. |
|
|
|
Bệnh mọc vú thừa ở nữ (Polymastia) là bệnh khi cơ thể phụ nữ bất ngờ mọc thêm một núm vú mới. Vú phụ này thường mọc ở xung quanh những núm vú chính tuy nhiên, cũng xuất hiện trên mông, lưng, hông, hoặc thậm chí là cả ở mặt. Trên thế giới cũng có nhiều người mắc phải căn bệnh này trong đó có cả nữ ca sĩ nổi tiếng Lily Allen, cô ca sĩ này thấy chuyện này là hoàn bình thường và còn cho rằng núm vú đó như một phép lạ trên cơ thể. |
|
|
|
Hội chứng (Hypertrichosis) hay còn gọi là "hội chứng người sói" là hội chứng đột biến gen di truyền khiến lông mọc bất thường trên mặt và cơ thể. Hội chứng này rất hiếm gặp với tỷ lệ khoảng 1/1 tỷ người. Những người mắc phải hội chứng này thường là tâm điểm của sự chú ý mỗi khi xuất hiện và thường bị gọi là quái thú. Không có phương pháp trị tận gốc bệnh này nên người bệnh vẫn phải sống chung với đống lông lá khác thường của mình. |







