Đột quỵ xuất huyết não có thể gặp ở mọi lứa tuổi, thậm chí là trên người không có tiền căn bệnh lý trước đó.
Dấu hiệu nhận biết xuất huyết não
Hơn 50% bệnh nhân xuất huyết não đều xuất hiện cơn đau đầu dữ dội. Đây là một trong những dấu hiệu đầu tiên để nhận biết căn bệnh này. Ngoài ra, người bệnh có thể gặp một số triệu chứng khác như: chóng mặt, ù tai, choáng váng, thậm chí ngất xỉu; chân tay run, không đứng vững; mất kiểm soát không nói được, mắt mờ, không cầm nổi đồ vật; trí nhớ giảm sút nhanh chóng, hay quên...
![]() |
| Đau đầu dữ dội là một trong những biểu hiện của xuất huyết não.
|
Nguy cơ tử vong
Xuất huyết não là căn bệnh nguy hiểm, có nguy cơ tử vong cao. Nếu bệnh nặng chảy máu vào não nhiều, bệnh nhân sẽ bị hôn mê sâu, rối loạn nhịp thở, nhịp tim, phần lớn tử vong trong vòng 48 giờ.
Những bệnh nhân còn sống sau chảy máu não nặng thường bị di chứng nặng nề. Nhiều trường hợp ở trong tình trạng sống thực vật và sẽ chết do bội nhiễm, suy kiệt. Tỷ lệ tử vong của xuất huyết não trong vòng 30 ngày là 50%. Trong đó, một nửa số bệnh nhân tử vong trong 2 ngày đầu tiên. Trong những trường hợp sống sót, chỉ có khoảng 1/5 số bệnh nhân có thể sống tự lập tại thời điểm một năm sau xuất huyết não.
Tầm quan trọng của chẩn đoán và phẫu thuật kịp thời
Bệnh nhân xuất huyết não cần được nhận biết sớm và can thiệp kịp thời. Thời gian là yếu tố quyết định mức độ biến chứng và cả mạng sống của bệnh nhân.
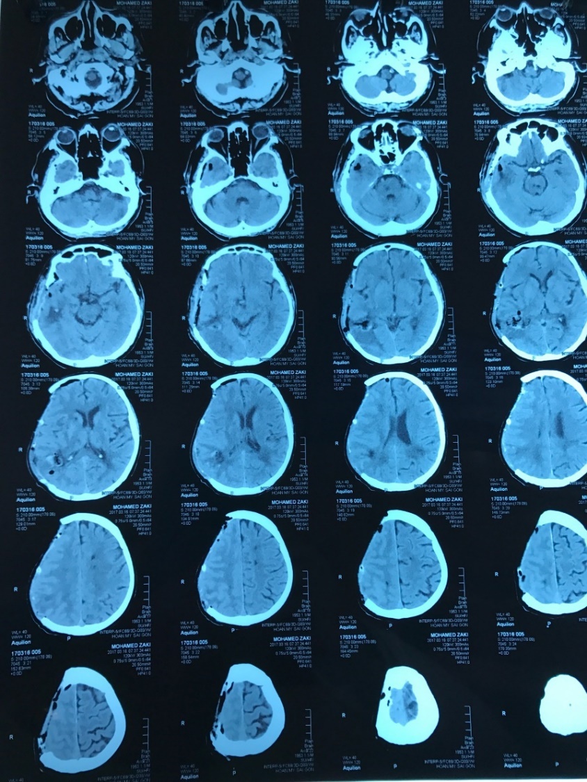
Lấy ví dụ trường hợp nam bệnh nhân M (sinh năm 1953, quốc tịch Việt Nam) bị xuất huyết não do biến chứng cao huyết áp vừa được cứu sống nhờ cấp cứu kịp thời, phẫu thuật mở sọ não giải áp, lấy máu tụ thành công tại Bệnh viện Hoàn Mỹ Sài Gòn.
Với tình trạng yếu nửa người và hôn mê trong tiên lượng rất xấu, bệnh nhân được đưa vào khoa cấp cứu tại Bệnh viện Hoàn Mỹ Sài Gòn lúc nửa đêm. Nguyên nhân xác định ban đầu là xuất huyết não, có nguy cơ biến chứng phức tạp, thậm chí tử vong. Sau hội chẩn khẩn cấp, bệnh nhân được thực hiện chụp cắt lớp vi tính (chụp CT) có bơm thuốc xác định chính xác nguyên nhân nhằm tìm phương án mổ tối ưu.
![]() |
| Phim chụp cắt lớp của bệnh nhân M.
|
Trước phẫu thuật, bệnh nhân M ở tình trạng xuất huyết não nghiêm trọng, phù não với lượng máu tụ lớn. Ca mổ với mục tiêu giải phóng áp lực cho não yêu cầu đường mổ đủ lớn, đồng nghĩa với nguy cơ biến chứng sau mổ phức tạp.
Ca mổ sọ não diễn ra trong 2 tiếng 30 phút đã thành công tốt đẹp. Nhờ ê kíp phẫu thuật phối hợp tốt, dự phòng các biến chứng đúng mức, bệnh nhân M đã vượt qua cơn nguy kịch, hồi phục ổn định và không xuất hiện biến chứng.
Với đơn vị cấp cứu ngoại thần kinh, Bệnh viện Hoàn Mỹ Sài Gòn đã thực hiện các can thiệp cần thiết, giành lại sự sống cho bệnh nhân xuất huyết não trong các tình huống khẩn cấp.

