Theo Independent, Hiểu Khánh, 26 tuổi ở Hồ Nam, Trung Quốc và chồng Tiểu Đông, 28 tuổi mới kết hôn nhưng đã xa nhau đã 6 tháng, vì Tiểu Đông làm việc xa nhà. Hôm 16/8, hai vợ chồng được gặp lại nhau.
Tuy nhiên, sau khi "yêu", Hiểu Khánh đã bị đau bụng cấp tính và được đưa đến bệnh viện trong tình trạng toàn thân tái nhợt, đổ mồ hôi, nhịp tim là 102 nhịp/phút, nhịp thở 22 hơi thở/phút, huyết áp 89/54 mmgH, hemoglobin 79g/l.
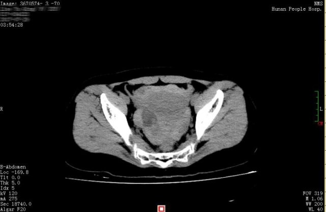
![]() |
| Bản chụp CT phát hiện ra rằng Hiểu Khánh có một lượng máu lớn và chất lỏng trong ổ bụng và vùng chậu. Ảnh: Xiaoxiang Morning Post. |
Bác sĩ Huang Mei thuộc Bệnh viện Nhân dân tỉnh Hồ Nam (Trung Quốc) cho biết Hiểu Khánh không mang thai, bản chụp CT phát hiện ra cô có một lượng máu lớn và chất lỏng trong ổ bụng và vùng chậu.
Sau khi thực hiện phẫu thuật nội soi ổ bụng, họ nhận thấy máu xuất hiện trong khoang phúc mạc của Hiểu Khánh, tìm thấy một u nang khoảng 3 cm trong buồng trứng phải đã bị vỡ. Ngay lập tức cô được đưa đi phẫu thuật loại bỏ u nang.
“Khoảng 1.500 ml máu đã mất đi, chiếm tới 40% lượng máu của cơ thể cô gái này. Nếu chỉ đưa vào chậm hơn, cô ấy có thể gặp nguy hiểm đến tính mạng”, bác sĩ Huang nói. Hiện Hiểu Khánh đã qua cơn nguy kịch và được điều trị ở bệnh viện tỉnh Hồ Nam.
U nang buồng trứng là một túi chứa chất lỏng phát triển ở buồng trứng, rất phổ biến và thường không có triệu chứng rõ rệt. Chúng thường xuất hiện và biến mất tự nhiên mà không cần điều trị.
Theo bác sĩ Huang, hai trường hợp có thể khiến vỡ nang buồng trứng. Trường hợp thứ nhất là theo cách tự nhiên, u sẽ tự teo và vỡ sau một vài chu kỳ kinh nguyệt. Trường hợp còn lại giống như Xiao Qing, quan hệ tình dục quá mạnh có thể làm vỡ khối u.
