Mổ tim cứu bé trai nặng chưa tới 900 g
Sinh non thiếu tháng ở tuần thứ 26, bé trai may mắn vượt qua ca phẫu thuật để lớn lên với trái tim khỏe mạnh.
366 kết quả phù hợp
Sinh non thiếu tháng ở tuần thứ 26, bé trai may mắn vượt qua ca phẫu thuật để lớn lên với trái tim khỏe mạnh.
Nhờ tiến hành cùng lúc ba kỹ thuật trong một cuộc đại phẫu, bác sĩ Bệnh viện Đa khoa Tâm Anh (BVĐK) TP.HCM sửa chữa đồng thời hai tổn thương phức tạp ở tim cho bệnh nhân.
Sau 2 lần phẫu thuật cắt mí, Phương Thùy tạm hài lòng với "cửa sổ tâm hồn". Tuy nhiên, đôi khi, cô cảm thấy hối hận vì đôi mắt trước khi thẩm mỹ không quá xấu.
Tình trạng các ngón tay bị khóa ở vị trí cong và khó duỗi thẳng, phổ biến hơn ở những người mắc bệnh tiểu đường.
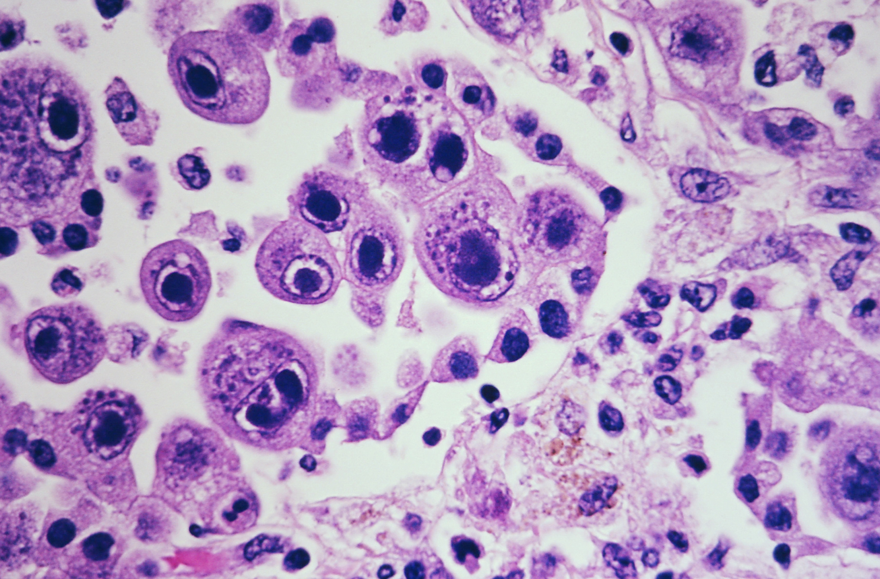
Bệnh ung thư phổi được nhiều người quan tâm tìm hiểu nhưng vẫn còn rất nhiều hiểu lầm về căn bệnh này.
Sau nhiều biến cố, chị Ngân tìm thấy bình yên bên anh Minh, một người đồng cảnh ngộ. Đôi khi chị cảm thấy như bị "ra rìa" vì hai con trai của mình thân thiết với ba Minh hơn mẹ.
Hầu hết trẻ có dị tật khi sinh ra đã được quản lý, đưa vào danh sách phẫu thuật. Tuy nhiên, trẻ thường mắc nhiều loại dị tật, phải mổ nhiều lần nên số ca cần mổ hàng năm rất nhiều.
Nhận được lời khẩn cầu, một phụ nữ ở Bình Định vội vã gửi con nhỏ cho mẹ chồng rồi rời nhà lúc nửa đêm, vượt hơn 300 km hiến máu hiếm cứu người.
Theo các bác sĩ, cụ ông quê Hưng Yên là trường hợp bệnh nhân cao tuổi nhất từng được điều trị tại Bệnh viện K.
Sự việc bác sĩ Bệnh viện Đa khoa Trung ương Thái Nguyên làm thủ thuật cắt bao quy đầu cho một bệnh nhân nhưng lại làm đứt mạch máu đang khiến gia đình bức xúc.
Quá trình mọc răng khôn sẽ xuất hiện các đợt sưng, viêm gây đau nhức khó chịu. Nếu không được điều trị kịp thời, chúng gây ra những biến chứng nguy hiểm.
Theo PGS.TS Lê Văn Đoàn, các phương pháp chỉnh chân vòng kiềng gồm có điều chỉnh dinh dưỡng, tập thể thao, vật lý trị liệu và phẫu thuật chỉnh hình.
Hút mỡ không phải kỹ thuật mới và khó. Tuy nhiên, bệnh nhân cần tìm hiểu về rủi ro, bất tiện khi lựa chọn phương pháp làm đẹp này.
"Crimes of the Future", David Cronenberg đạo diễn, là hành trình mổ xẻ sâu vào thế giới nội tạng với phần hình ảnh đặc sắc, song “khó nuốt” bởi cách kể chuyện đa tuyến.
Năm 2021, nhiều phạm nhân bị thương tại Rikers Island. Hơn 1.900 trường hợp bị vết thương hở, chấn động não, gãy xương, nhưng rất ít vụ việc được báo cáo.
Tôi bị bệnh béo phì lâu năm thì có phẫu thuật để giảm cân được không? Mong được bác sĩ tư vấn.
Dù biết trước những nguy cơ tiềm ẩn mà phẫu thuật thẩm mỹ gây ra, nhiều ngôi sao Ấn Độ vẫn chấp nhận đánh đổi để có ngoại hình như ý muốn.
Chethana Raj gặp biến chứng sau ca phẫu thuật thẩm mỹ. Cô được cấp cứu tại bệnh viện nhưng không qua khỏi.
Các chuyên gia cho biết tim của con lợn biến đổi gene được sử dụng trong ca ghép tạng này đã bị nhiễm virus. Họ cho rằng đây là thủ phạm khiến người nhận tạng tử vong sau đó.
Giới chuyên gia truyền thông cho rằng Hollywood không cần đón nhận nồng nhiệt nếu Johnny Depp trở lại, ngay cả khi tài tử vô tội trước cáo buộc bạo hành vợ cũ.