Theo Live Science, một thiếu nữ 17 tuổi tại Ấn Độ nhập viện trong tình trạng ổ bụng chứa đầy xương và răng. Báo cáo của BMJ cho biết bệnh nhân sống chung với chiếc bụng to dần lên mỗi ngày mà không rõ lý do trong suốt 5 năm.
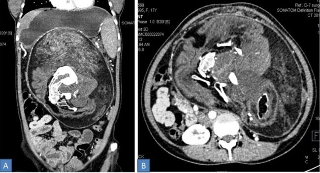
Thiếu nữ 17 tuổi nói với các bác sĩ rằng cô luôn cảm thấy no và chướng bụng dù không ăn nhiều. Hình ảnh chụp CT cho thấy bên trong ổ bụng của cô gái chứa nhiều xương có hình dạng giống “đốt sống, xương sườn”. Các bác sĩ chẩn đoán thiếu nữ gặp phải tình trạng bào thai trong bào thai, hay còn được gọi là Fetus-in-fetu.
Thuật ngữ “thai lồng thai” là hiện tượng thai nhi phát triển bất thường bên trong một bào thai khác. Có khoảng 200 trường hợp đã được Live Science ghi nhận. Theo tạp chí Y khoa Anh, Fetus-in-fetu là một tình trạng hiếm gặp, chỉ 1/500.000 người mắc phải trên toàn thế giới. Hiện tượng có thể xảy ra ở tất cả bộ phận trên cơ thể, phổ biến nhất là khoang bụng.
Đến nay, các nhà khoa học vẫn chưa tìm ra nguyên nhân gây ra tình trạng hiếm gặp này. Theo NY Post, bác sĩ phụ trách ca sinh này thông báo cho đài truyền hình địa phương, sau đó ghi lại cảnh sinh nở và quá trình phẫu thuật để loại bỏ bào thai song sinh trong bụng của bệnh nhân.
![]() |
| Hình ảnh CT ổ bụng của cô gái 17 tuổi. Ảnh: Live Science. |
Một số nhà nghiên cứu cho rằng bào thai bên trong thai nhi thực chất là một khối u chưa cả ba loại tế bào chính được tìm thấy ở giai đoạn đầu của phôi thai.
Sau khi phẫu thuật cho bệnh nhân, các bác sĩ cho biết khối lượng khối u chỉ bằng 2/3 kích thước của một đứa trẻ sơ sinh, có lông, răng, mô mỡ và cấu trúc tứ chi như em bé bình thường.
Mặc dù vậy, cuộc phẫu thuật không thể loại bỏ toàn bộ các mô sinh đôi ký sinh trong cơ thể bệnh nhân. Bởi chúng bám chặt với các mạch cung cấp máu cho đường tiêu hóa. Nếu cắt bỏ triệt để, bệnh nhân có thể gặp phải tình trạng giảm lưu lượng máu đến ruột.
Hậu quả của việc không loại bỏ hoàn toàn các mô ký sinh khiến bệnh nhân có thể mắc ung thư khi khối u phát triển thành ác tính. Do đó, thiếu nữ này phải theo dõi thường xuyên để tránh tình trạng xấu nhất. May mắn, hai năm sau cuộc phẫu thuật, hiện tại sức khỏe của bệnh nhân này vẫn bình thường.
