Lợi ích quan trọng của phim X-quang nha khoa
Phim X-quang nha khoa giúp bác sĩ thấy hình ảnh về mô cứng (răng và xương) và mô mềm bao quanh các răng, xương hàm. Cụ thể hơn, phim X-quang tạo điều kiện để bác sĩ nhận biết được các bệnh lý sau:
- Sâu răng (trong thân răng hay sâu răng dưới phục hình, miếng trám).
- Bệnh lý của xương hàm.
- Bệnh nha viêm chu (nướu).
- Các nhiễm trùng tiến triển dưới nướu.
- Các u vùng hàm mặt.
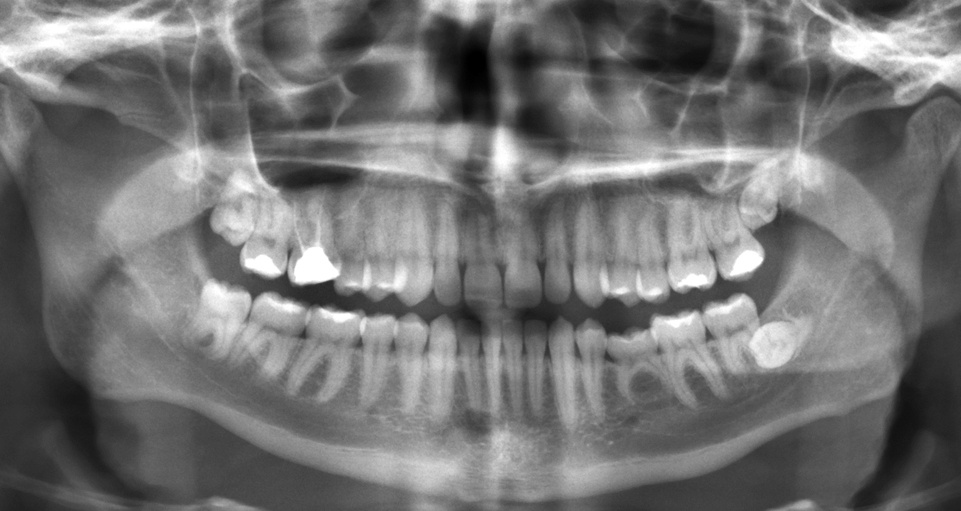
![]() |
| Có thể thấy được rất nhiều điều từ một phim X-quang nha khoa. |
Những lưu ý an toàn trong chụp phim
Lo ngại về ảnh hưởng của tia xạ lên cơ thể là suy nghĩ chung của đa số bệnh nhân. Tuy nhiên, lượng tia xạ phát ra dùng để thu được hình ảnh trên phim X-quang nha khoa rất thấp. Ví dụ, để chụp một phim nhỏ trong miệng cường độ tia xạ đến bệnh nhân là khoảng 0.005 millisievert (mSv - đơn vị đo lường phóng xạ). Còn trung bình lượng tia xạ có sẵn trong môi trường sống ở Mỹ là 3,2 mSv/năm. Tức là phải chụp liên tục khoảng 640 lần mới đạt tới mức tia xạ trung bình trong môi trường.
Những hệ thống X-quang mới hiện đại có các hiệu chỉnh, sao cho lượng tia xạ phát ra là tối thiểu mà vẫn nhận được hình ảnh có giá trị. Ngoài ra bệnh nhân có thể được mặc áo chì che toàn thân, hoặc băng cổ chì để che tuyến giáp.
![]() |
| Các miếng chì bảo vệ tuyến giáp và cơ quan sinh dục. |
Nếu đã chụp phim trước đó thì nên mang theo phim đã chụp bất cứ khi nào đi tái khám, không phải chụp lại lần nữa.
Trường hợp cần hết sức lưu tâm là khi bạn đang mang thai, hãy báo ngay với bác sĩ. Trong suốt thai kỳ, có thể bạn cần phải chụp X-quang theo kế hoạch điều trị nha khoa, trong trường hợp này thì cần nên sử dụng áo chì và băng che cổ có chì để bảo vệ bạn và thai nhi khỏi nhiễm xạ. Thai nhi đang phát triển đặc biệt rất nhạy cảm với ảnh hưởng của tia xạ, đặc biệt trong giai đoạn hình thành các cơ quan (3-7 tuần sau thụ tinh).
Mọi thắc mắc về lợi ích của phim X-quang răng hàm mặt mang lại, cũng như ảnh hưởng, nên tìm đến bác sĩ để được tư vấn.
Thông tin chuyên môn được cung cấp bởi Nha khoa thẩm mỹ AVA
- Công ty TNHH Nha khoa thẩm mỹ AVA
Địa chỉ duy nhất: 31 Trần Khắc Chân, P.Tân Định, Q.1, TP.HCM
Hotline: (08) 6288 7777 - 22 297 297
BS Phạm Việt Hùng: 09 1615 7777
Email: info@benhvienthammy.com.vn
Website: http://benhvienthammy.com.vn
- Công ty TNHH Nha khoa thẩm mỹ Việt Hưng
Địa chỉ: 17-19 Lê Văn Việt - P.Hiệp Phú - Q.9 - TP.HCM
Hotline: 08.6279 1111- 08.6672 1111 - 093326 1111
Website: http://nhakhoaviethung.vn
- Nha khoa Nét Việt - Phú Nhuận
Địa chỉ: 152 - Đặng Văn Ngữ - Q.Phú Nhuận - TP.HCM (gần nhà thờ Ba Chuông)
ĐT: 08.2211 5555 - 2211 4848 - 2211 4949
Hotline: 0902 115 115
Website: http://www.nhakhoanetviet.com/
- Nha khoa thẩm mỹ Hữu Cầu
Địa chỉ : 59B Nguyễn Hữu Cầu, P.Tân Định, Q.1, TP.HCM
Hotline : (08) 66.86.2222 - 0168.26.25.7777
BS Minh Cường: 094.8888.272
Website: nhakhoahuucau.com
Tư liệu: AVA

