Sống sót sau Covid-19 rồi tiếp tục đi hiến huyết tương cứu bệnh nhân
Nhiều bệnh nhân hồi phục sau khi nhiễm Covid-19 đã tình nguyện đi hiến máu để cung cấp huyết tương cho những người nhiễm khác, giúp họ chiến đấu chống lại virus corona.
247 kết quả phù hợp
Nhiều bệnh nhân hồi phục sau khi nhiễm Covid-19 đã tình nguyện đi hiến máu để cung cấp huyết tương cho những người nhiễm khác, giúp họ chiến đấu chống lại virus corona.
Các chuyên gia giải thích rằng các trường hợp tử vong do Covid-19 thường là do viêm phổi, đồng thời giải thích cơ chế virus gây ra viêm phổi ở người cao tuổi, người có bệnh nền.
Đột biến gene khiến một số người trẻ có nguy cơ bệnh nặng sau khi nhiễm virus corona? Giả thiết này sẽ được làm sáng tỏ trong một nghiên cứu sắp tới.
Sau khi bệnh nhân 42 tuổi tử vong, Trung tâm kiểm soát bệnh tật Gia Lai đã lấy mẫu bệnh phẩm gửi đi xét nghiệm. Kết quả cho thấy người này âm tính với Covid-19.
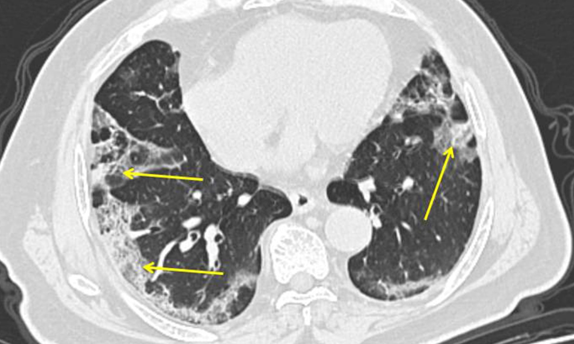
Đây có lẽ là người già nhất thế giới chiến thắng được căn bệnh viêm phổi do mắc Covid-19.
Sự an toàn của cộng đồng phải được ưu tiên hàng đầu để chấp nhận hy sinh những thói quen, thú vui và sở thích cá nhân trong một khoảng thời gian nhất định.
Việc Mỹ cắt bỏ vị trí của một chuyên gia về dịch bệnh có thể đã khiến Washington cũng như các nước không kịp thời nắm bắt tình hình bùng phát virus corona ở Trung Quốc từ sớm.
Dịch viêm phổi cấp Covid-19 có tốc độ lây lan nhanh chưa từng thấy. Do đó, việc tìm hiểu cách virus cấu tạo và di chuyển là điều thật sự cần thiết để phòng bệnh.
Quốc gia lớn đầu tiên tại châu Âu rơi vào thế "vỡ trận" khi dịch Covid-19 tấn công nhanh và mạnh, khiến hơn 3.400 người tử vong, vượt cả Trung Quốc. Đâu là lời lý giải hợp lý?
Vừa qua, Công ty Cổ phần Diana Unicharm thông báo ủng hộ 2 tỷ đồng để chung tay cùng Chính phủ và ngành y tế ứng phó với dịch Covid-19 đang diễn biến phức tạp.
Trải nghiệm trong khu cách ly dạy cho tôi rằng mối đe dọa từ dịch bệnh là rất thật. Hiện tại, tôi phải ở lại đây để bảo vệ sự an toàn của người khác.
2020 được dự đoán là năm sôi động của thị trường PC khi hàng loạt sản phẩm cấu hình mạnh mẽ, thiết kế độc đáo ra đời.
Để người dân tự ý thức và thay đổi hành vi, chính phủ cần đảm bảo thông tin được công khai, minh bạch và nhắm vào nhóm đối tượng dễ bị tổn thương nhất.
Bất chấp khuyến nghị của các quan chức y tế, nhiều thành viên đảng Cộng hòa đang đang sử dụng thuật ngữ “virus Vũ Hán”, châm ngòi thái độ phân biệt chủng tộc và đổ lỗi.
Ban tuyển sinh quân sự Bộ Quốc phòng thông báo thời gian tổ chức sơ tuyển sẽ diễn ra từ 1/3 đến 25/5.
Trong bối cảnh dịch Covid-19 lan rộng, doanh số các hãng smartphone tại Trung Quốc trong tháng 2 đã giảm mạnh.
Ông Wucinski và con gái bất ngờ nhận được hóa đơn gần 4.000 USD tiền viện phí sau khi được chính phủ Mỹ đón về nước từ Vũ Hán, Trung Quốc, và bị cách ly bắt buộc.
Phòng thí nghiệm ra đời nằm trong kế hoạch ngăn ngừa và kiểm soát nguy cơ bùng phát các bệnh truyền nhiễm như Covid-19, SARS, MERS...
Chính phủ Trung Quốc đã vinh danh một số nhân viên y tế ở tuyến đầu chống dịch virus corona, bao gồm những người đã qua đời trong cuộc chiến như "người thổi còi" Lý Văn Lượng.
Nhà lãnh đạo Triều Tiên Kim Jong Un đã gửi thư cá nhân tới Tổng thống Hàn Quốc Moon Jae In để an ủi, động viên người Hàn Quốc chiến đấu chống lại dịch Covid-19.