![]()  | 
        
| Một hàm răng đẹp khi các răng “xếp hàng” một cách trật tự. | 
Sự phát triển của một răng hàm khỏe mạnh, bình thường
Một đứa trẻ sinh ra sẽ bắt đầu những bữa ăn đầu đời bằng việc bú mẹ. Ngoài nguồn sữa mẹ quý giá ra, bú mẹ còn giúp kích thích khoang miệng đứa bé, nhất là má, lưỡi và hàm phát triển. Khi lớn lên và bắt đầu mọc răng sữa, những bữa ăn cũng trở nên đặc hơn. Một phần vì nguồn sữa mẹ dần ít lại, một phần việc ăn đồ ăn đặc giúp kích thích răng hàm phát triển, các răng sữa xếp ngay ngắn tạo tiền đề cho răng vĩnh viễn sau này.
![]()  | 
        
| Cho con bú là cách nuôi con hoàn hảo. | 
Khi các răng sữa bắt đầu hết chức năng, răng vĩnh viễn dần bước lên làm nhiệm vụ. Hàm cũng tiếp tục phát triển vì bộ răng vĩnh viễn nhiều hơn bộ răng sữa, nên cần nhiều không gian hơn. Khoảng 18 tuổi là độ tuổi hoàn thiện về phát triển răng miệng, riêng răng khôn sẽ mọc chậm chạp sau đó.
Lý do xuất hiện răng chen chúc
Nhìn vào sự phát triển răng hàm khỏe mạnh của một người bình thường, ta có thể dễ dàng hình dung nếu một trong những bước kể trên bị bất thường sẽ khiến biến đổi sự sắp xếp của răng. Răng chen chúc khi răng không đủ chỗ mọc (hàm nhỏ so với răng), hoặc răng bị mọc lệch lạc do tác động bên ngoài (sâu răng, viêm nướu, tật xấu có hại…).
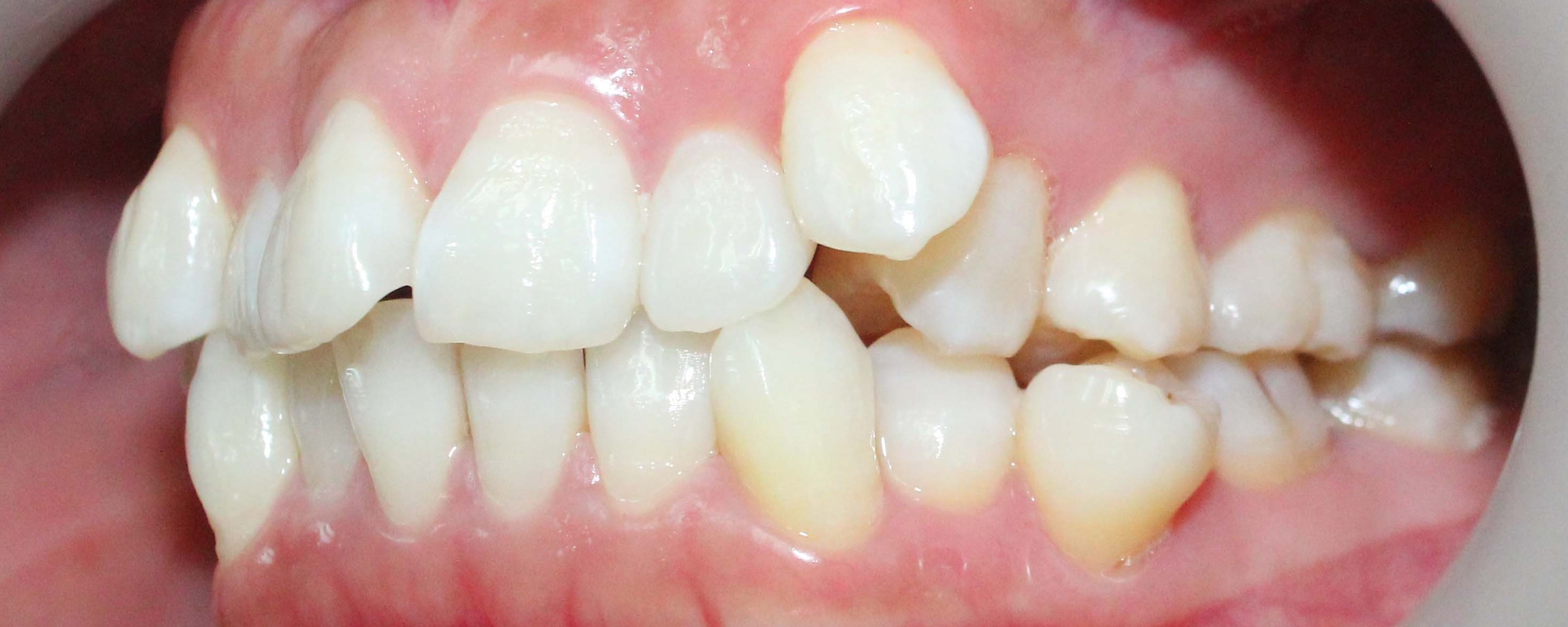
Điều trị răng chen chúc
Để khắc phục răng chen chúc, các bạn có thể niềng răng, làm răng sứ, hoặc phẫu thuật. Dưới đây là 1 ví dụ về niềng răng bằng mắc cài kim loại.
| Trước điều trị: răng chen chúc. | 
| Đang điều trị bằng niềng răng. | 
| Kết quả sau khi niềng răng. | 
Cho dù dùng phương pháp nào đi chăng nữa, trước hay đến gặp bác sĩ để tư vấn cụ thể trước khi quyết định.
Hình ảnh quá trình điều trị được cung cấp bởi nha khoa thẩm mỹ AVA.
Nha khoa thẩm mỹ AVA
Công ty TNHH Nha Khoa Thẩm Mỹ AVA
Địa chỉ duy nhất: 31 Trần Khắc Chân, P.Tân Định, Q.1, TP.HCM
Hotline: (08) 6288.7777 - 22.297.297
BS. Phạm Việt Hùng : 09.1615.7777
Email: info@benhvienthammy.com.vn
Website: http://benhvienthammy.com.vn
Nha khoa thẩm mỹ Hữu Cầu
Địa chỉ : 59B Nguyễn Hữu Cầu, Phường Tân Định, Quận 1, TP. HCM
Hotline : (84-8) 66.86.2222 - 0168.26.25.7777
Dr. Minh Cường : 094.8888.272
Website: nhakhoahuucau.com

