Bệnh viện đa khoa tỉnh Quảng Ninh ngày 26/4 cho biết các bác sĩ vừa cấp cứu thành công một trường hợp chấn thương sọ não, vỡ xương sọ, rách màng não nguy kịch do va chạm mạnh vùng đầu khi chơi bóng đá.
Theo lời của thành viên gia đình bệnh nhân N.T.B. (40 tuổi, TP Cẩm Phả, Quảng Ninh), khi đang chơi trong trận đấu và lao ra bắt bóng, đầu anh B. bất ngờ va đập mạnh vào đầu gối của cầu thủ đối phương. Cú va chạm khiến anh choáng váng, vùng đầu thấy sưng đau nhưng vẫn còn tỉnh táo nên đã nghĩ rằng tình trạng không nghiêm trọng, chỉ cần nghỉ ngơi là sẽ thuyên giảm.
![]() |
| Bệnh nhân B. ổn định sau ca phẫu thuật chấn thương trong lúc chơi bóng đá. |
Tuy nhiên, khi anh B. về đến nhà, cơn đau đầu càng dữ dội, xuất hiện cảm giác nôn khan, choáng váng nên gia đình lập tức đưa vào viện cấp cứu trong đêm.
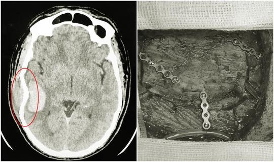
Kết quả thăm khám, chụp cắt lớp vi tính cho thấy bệnh nhân B. bị chấn thương sọ não: Vỡ xương sọ, rách màng não, chảy máu não.... Sau khi hội chẩn, các bác sĩ đã quyết định mổ cấp cứu ngay trong đêm để xử trí kịp thời tình trạng chấn thương, lấy máu tụ trong não và phần não dập, tạo hình lại hộp sọ và màng não cho người bệnh.
5 ngày sau khi được phẫu thuật, bệnh nhân tỉnh táo, sức khỏe phục hồi tích cực, nói chuyện giao tiếp bình thường, ăn uống đi lại nhẹ nhàng.
![]() |
| Hình ảnh sọ não bị lún vỡ được các bác sĩ phẫu thuật nẹp vít tạo hình lại hộp sọ. |
Bác sĩ Nguyễn Tiến Dũng, Trưởng đơn nguyên Phẫu thuật thần kinh, Bệnh viện đa khoa Quảng Ninh, cho biết bệnh viện từng gặp và điều trị cho nhiều trường hợp chấn thương do hoạt động thể thao gây ra, tuy nhiên trường hợp va chạm mạnh đến mức sọ não lún vỡ nặng như vậy là khá hy hữu. Tai nạn diễn ra từ chiều nhưng do chủ quan nên đến tối bệnh nhân mới nhập viện. Những trường hợp như trên việc xử trí chậm có thể để lại những di chứng nghiêm trọng về sau.
"Với những môn thể thao mang tính đối kháng cao như bóng đá thì những người chơi nghiệp dư cần chú ý các nguyên tắc an toàn, mang đồ bảo vệ phù hợp từng môn thể thao, không hoạt động quá sức, hạn chế va chạm trực tiếp. Đặc biệt, khi bị chấn thương trên cơ thể, nhất là ở những vị trí quan trọng như đầu, cột sống… mọi người nên đến các cơ sở y tế uy tín để được thăm khám, chẩn đoán và điều trị kịp thời. Tuyệt đối không chủ quan tự điều trị bằng phương pháp truyền miệng, nghe người mách lại sẽ khiến tình trạng càng trầm trọng hơn" - bác sĩ Dũng khuyến cáo.

