Vì sao hai bệnh nhân ở Đà Nẵng diễn tiến nặng?
Hai bệnh nhân mắc Covid-19 vừa được ghi nhận tại Đà Nẵng có diễn tiến suy hô hấp, phải thở máy và chạy ECMO.
249 kết quả phù hợp
Hai bệnh nhân mắc Covid-19 vừa được ghi nhận tại Đà Nẵng có diễn tiến suy hô hấp, phải thở máy và chạy ECMO.
Trước khi phát bệnh, ông N. (trú phường Thanh Bình, quận Hải Châu, Đà Nẵng), không ra ngoại tỉnh, thường xuyên sử dụng máy tính ở nhà, không tiếp xúc với người nước ngoài...
Tỉnh Nam Trung Bộ này được nhiều người biết đến với đặc sản sò huyết đầm Ô Loan, cùng các loại hải sản tươi sống hấp dẫn khác như ghẹ, tôm hùm, cá ngừ đại dương...
Là địa danh du lịch được ưa chuộng những năm gần đây, Phú Yên có nhiều điều thú vị cho du khách khám phá. Bạn đã hiểu hết về vùng đất này?
Năm thành viên trong gia đình Samuel Silva mắc chứng bệnh khiến đốm trắng chạy dọc từ đầu đến hết trán. Vượt qua mặc cảm, họ vẫn tự tin về vẻ ngoài khác thường.
Có dịp đến 3 tỉnh ven biển này ở 3 miền Bắc - Trung - Nam, du khách đừng quên thưởng thức đặc sản ghẹ chắc thịt, tươi ngọt của các địa phương.
Mang trong mình căn bệnh quái ác, Deborah Moreno liên tục phải nghe những lời chê bai từ người khác.
Tới 18h ngày 28/3, Việt Nam ghi nhận thêm 5 trường hợp mắc Covid-19, nâng tổng số lên 174 ca. Trong đó, 12 ca liên quan Bệnh viện Bạch Mai, Hà Nội.
Các bác sĩ khoa Liên chuyên khoa Mắt - Tai mũi họng - Răng hàm mặt đã phẫu thuật thành công cho bệnh nhi 15 tháng tuổi bị đục thủy tinh thể bẩm sinh cả hai mắt.
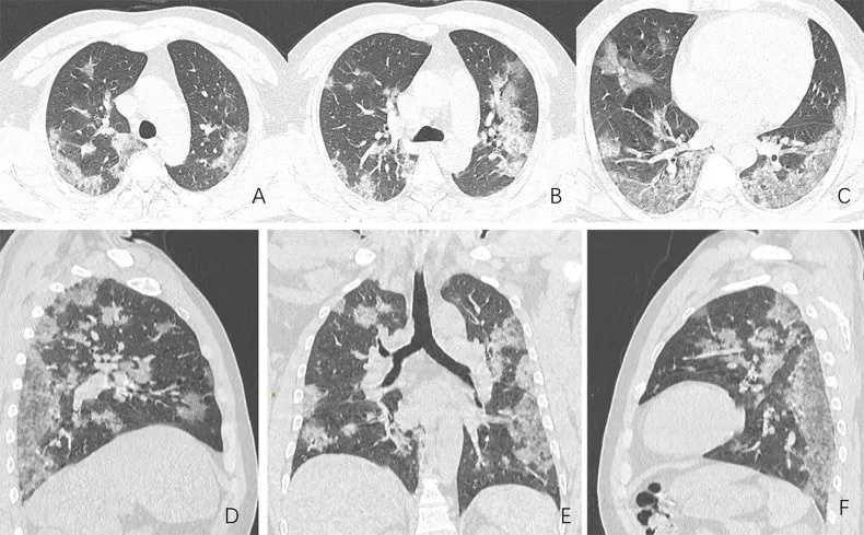
Hình ảnh chụp cắt lớp vi tính của những người nhiễm Covid-19 cho thấy virus đã tấn công và gây tổn thương nặng nề đến phổi của bệnh nhân.
Kết quả chụp CT phổi của các bệnh nhân Covid-19 thường chung đặc điểm là xuất hiện những đốm trắng.
Nếu phát hiện thực phẩm bị đổi màu, mốc, nổi bong bóng, bạn nên vứt bỏ chúng ngay lập tức.
Hướng dẫn viên dẫn đoàn khách trên tàu Diamond Princess có biểu hiện ho đã được cách ly để xét nghiệm virus crona.
Kính viễn vọng Inouye tại Hawaii, Mỹ vừa chụp lại hình ảnh vỏ Mặt Trời với các vật chất plasma dày đặc. Đây là bức ảnh sắc nét nhất con người từng chụp Mặt Trời.
Australia có một số loài động vật bản địa độc đáo đã trở nên nổi tiếng toàn thế giới, đóng góp không nhỏ vào ngành du lịch nước này, ví dụ như gấu Koala.
Máy ảnh HiRise của NASA mang đến những tấm ảnh chụp sương mù carbon dioxide trắng trên Hỏa tinh.
Các món ăn chế biến từ lợn mang nhiều chất dinh dưỡng, tốt cho sức khỏe. Tuy nhiên, không phải bộ phận nào của lợn cũng an toàn với con người.
Với lịch sử hơn 150 năm hình thành và phát triển, Thảo Cầm Viên Sài Gòn là một trong những địa điểm mang tính biểu tượng của TP.HCM, thu hút người dân và du khách tìm đến vui chơi.
Người đàn ông 35 tuổi (Đài Loan, Trung Quốc) đến bệnh viện vì vị giác thay đổi và hôi miệng kèm những đốm trắng như nấm.
Người đàn ông 47 tuổi ở Trung Quốc đã hút thuốc 30 năm. Gần đây, lưỡi của ông mọc nhiều đốm trắng. Bác sĩ cho biết đó có thể là dấu hiệu của bệnh ung thư miệng.