Cuộc sống kín tiếng của con trai tỷ phú Jeff Bezos
Dù cha mình là nhân vật công chúng, Preston Bezos (22 tuổi) lại có cuộc sống rất kín tiếng. Anh được cho rằng không sử dụng mạng xã hội.
172 kết quả phù hợp
Dù cha mình là nhân vật công chúng, Preston Bezos (22 tuổi) lại có cuộc sống rất kín tiếng. Anh được cho rằng không sử dụng mạng xã hội.
Đoạn kết của bộ phim hoạt hình "Minions: The Rise of Gru" đã bị các nhà kiểm duyệt phim Trung Quốc thay đổi để có thể được chiếu tại quốc gia này.
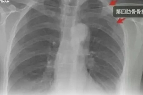
Cô Cao đã khởi kiện đòi bồi thường sau khi bị nam đồng nghiệp ôm chặt đến mức gãy 3 xương sườn.
Sau chính sách cấm dạy thêm, nhiều gia sư tiếng Anh ở Trung Quốc đã chuyển sang bán hàng trên livestream. Công việc này mang lại cho họ nguồn thu nhập ổn định.
Số tiền kiếm được trong lĩnh vực nghệ thuật được vợ chồng Thái Thiếu Phân - Trương Tấn đầu tư vào nhà đất.
Irene, Soo Jin, Na Eun hay Lucas từng có lượng fan đông đảo nhất nhì trong nhóm. Tuy nhiên, scandal đã khiến họ dần mất đi thiện cảm trong lòng khán giả.
Bên cạnh việc đối phó với định kiến của gia đình, sự phân biệt đối xử trong công việc, người chuyển giới Trung Quốc phải chấp nhận rủi ro sức khỏe khi tìm thuốc ở chợ đen.
Sau khi Yiyi qua đời, gia đình cô bé đồng ý hiến tặng thận của con để mang lại cơ hội sống cho 2 bệnh nhi khác.
Không thể ở bên mẹ trong dịp 8/3, Nguyễn Thị Thoa đặt làm bó hoa đính tiền mặt và mua bánh kem để chúc mừng.
Từng đối mặt nguy cơ phải bỏ giải, tuyển nữ Việt Nam đã có đầy đủ quân số cho trận tứ kết với Trung Quốc vào 19h tối nay (30/1).
Yêu nhau được một tháng, Vừ rủ bạn gái vào nhà nghỉ và hứa cho 3 triệu đồng. Sau khi cô gái đồng ý, Vừ cùng em trai lừa bán nạn nhân sang Trung Quốc để lấy hơn 24 triệu đồng.
Châu Tinh Trì dọa kiện người đẹp Trương Hiểu Kỳ. Trước đó, ông không nể nang tố cáo bạn gái cũ Vu Văn Phượng ngoại tình trên tòa khi họ vướng kiện tụng.
Chính sách mới về việc giảm giờ học thêm, hoạt động ngoại khóa cho trẻ em đã gây áp lực với phụ huynh ở những thành phố lớn như Thượng Hải và Bắc Kinh.
Thu và 3 nghi phạm lập mưu lừa cô gái 21 tuổi đi lấy chồng. Sau đó, nhóm này đưa nạn nhân sang Trung Quốc, bán cho người đàn ông với giá hơn 170 triệu đồng.
Ngoại hình từng là tiêu chuẩn khắt khe ở các cuộc thi nhan sắc tại Hong Kong. Tuy nhiên, ban tổ chức đang dần cởi mở hơn về tiêu chí để tìm kiếm nhân tố lạ cho showbiz.
Chiến thắng tại Olympic của Margaret Mac Neil, một VĐV bơi lội người Canada từng bị bỏ rơi ở Trung Quốc, làm dấy lên tranh cãi về tư tưởng trọng nam khinh nữ ở xứ tỷ dân.
Tại bảng F bóng đá nữ Olympic vào chiều 21/7, ứng cử viên Brazil không mất quá nhiều sức để đánh bại đối thủ Trung Quốc yếu hơn.
Công ty giải trí của Cổ Thiên Lạc tấn công thị trường Hàn Quốc với nhóm nhạc Skyle. Các cô gái không được đánh giá cao về ngoại hình.
Kirsten Fok là thí sinh gây chú ý nhất tại vòng sơ khảo Hoa hậu Hong Kong 2021. Cô cho biết đã trở thành nghệ sĩ dưới trướng TVB sau khi bị loại khỏi cuộc thi nhan sắc.
Kirsten Fok là thí sinh nhận được sự chú ý ở cuộc thi Miss Hong Kong vì ngoại hình bị cho là kém sắc, già hơn so với tuổi thực.