Niềng răng mắc đã xuất hiện từ rất lâu và trở nên khá phổ biến. Niềng răng trong suốt ra đời sau, khắc phục được nhiều hạn chế của mắc cài nhờ kết cấu đơn giản và áp dụng nhiều công nghệ hiện đại hơn.
Vấn đề thẩm mỹ
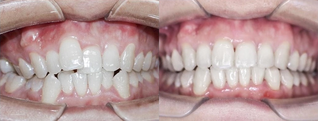
Niềng răng mắc cài hoạt động dựa trên rất nhiều khí cụ nha khoa như mắc cài (kim loại hoặc sứ), dây cung, dây thun. Còn niềng răng trong suốt lại chỉ dựa trên 2 vật liệu là khay niềng và các nút đặt lực. Vì vậy niềng răng trong suốt có tính thẩm mỹ cao hơn, giúp giữ được sự tự nhiên của nụ cười. Nhờ đó, người niềng răng vẫn giữ được sự tự tin.
![]() ![]() |
Niềng răng trong suốt mang lại thẩm mỹ cao hơn niềng răng mắc cài. |
Cảm giác
Đối với niềng răng mắc cài, thời gian đầu tiên khi chưa quen bạn sẽ thường có cảm giác đau. Điều này là do các mắc cài cọ vào môi và má, đôi khi gây trầy xước. Niềng răng mắc cài mặt lưỡi còn có thể gây tổn thương đến lưỡi. Ngoài ra, cảm giác vướng cộm là không thể tránh khỏi.
Ngược lại khay niềng trong suốt được tạo nên từ vật liệu nhựa đa tầng, hoàn toàn không gây tổn thương. Thời gian đầu đeo khay bạn sẽ có cảm giác hơi tức ở răng, nhưng sau một tuần cảm giác này sẽ dần biến mất. Lực kéo răng của niềng răng trong suốt rất nhẹ nhàng, đều và liên tục.
Thời gian niềng và độ tuổi phù hợp
Ở cùng một độ tuổi, niềng răng trong suốt có thể rút ngắn hơn niềng răng mắc cài, nhiều nhất là 5 tháng. Ngoài ra do yếu tố thẩm mỹ, người trưởng thành thường lựa chọn niềng răng trong suốt. Việc liên tục gặp gỡ khách hàng, đối tác không cho phép họ sở hữu một nụ cười với hàng tá mắc cài.
|
| Khách hàng 42 tuổi niềng răng trong suốt Invisalign tại Nha khoa Flora. |
Vệ sinh răng miệng
Khi niềng răng mắc cài, bạn sẽ thường xuyên bị thức ăn mắc vào, yêu cầu vệ sinh răng miệng rất tỉ mỉ và mất thời gian. Dù cho bạn có vệ sinh tốt đến mấy, răng miệng cũng không được sạch như khi chưa niềng. Trong khi đó, niềng răng trong suốt có đặc tính tháo lắp được, bạn chỉ cần gỡ khay khi ăn, sau đó đánh răng như bình thường và đeo vào trở lại.
Giá thành
Với nhiều ưu điểm nổi bật, niềng răng trong suốt có giá thành cao hơn vì áp dụng nhiều công nghệ hiện đại. Đơn cử như hãng niềng răng khay trong Invisalign, để vận hành thành công cần có sự kết hợp của rất nhiều yếu tố: vật liệu khay niềng độc quyền cao cấp, phần mềm Clincheck hoạch định kế hoạch điều trị, phần mềm Smileview xem trước nụ cười tương lai, máy iTero scan răng để truyền tải dữ liệu, thư viện nụ cười…
Độc giả tìm hiểu thêm về niềng răng trong suốt Invisalign tại đây.
Tùy nhu cầu và mục đích điều trị, bạn sẽ thấy mình thích hợp với phương pháp niềng răng nào hơn. Nếu ngân sách giới hạn và không yêu cầu thẩm mỹ cao, bạn nên cân nhắc niềng răng mắc cài để tiết kiệm. Còn với mức ngân sách dư giả và muốn nụ cười luôn rạng rỡ, bạn có thể chọn niềng răng trong suốt.
|
| Khách hàng niềng răng trong suốt tại Nha khoa Flora. |
Tại Nha khoa Flora, bạn sẽ được thăm khám và trực tiếp điều trị bởi bác sĩ Nguyễn Đắc Minh từ Invisalign Academy. Tại đây, bác sĩ sẽ sát sao theo dõi quá trình thay đổi của bệnh nhân để có phương án mang lại kết quả điều trị tốt. Ngoài ra, mọi chi phí thăm khám, chụp phim CT, lên phác đồ điều trị niềng răng trong suốt tại Flora đều được miễn phí. Phòng khám trang bị máy chụp phim CT Conebeam 3D hiện đại.
Ngoài ra, bạn có thể chọn gói trả góp không lãi suất, không phí chuyển đổi, mang lại trải nghiệm niềng răng hiệu quả, an toàn.
Nha Khoa Flora
Địa chỉ: 326 Nguyễn Thị Minh Khai, phường 5, quận 3, TP.HCM
Website: Nhakhoaflora.com
Fanpage: Nha Khoa Flora | Hotline: 02873058999


Bình luận