Bạn có thể chuyển sang phiên bản mobile rút gọn của Tri thức trực tuyến nếu mạng chậm. Đóng

Bé 7 tuổi bị mảnh sành găm sâu vào đùi do nổ bình ga

Theo các bác sĩ, việc gắp dị vật ra để không ảnh hưởng đến mạch máu thần kinh của bệnh nhân là điều không hề dễ dàng.

Bệnh nhi bị đa vết thương do mảnh sành bắn vào đùi sau vụ tai nạn nổ bình ga. Ảnh: Pipsisland.

Các bác sĩ khoa Chấn thương Chỉnh hình Bỏng, Bệnh viện Sản nhi Nghệ An, cho biết 20h ngày 9/3, đơn vị này tiếp nhận một trường hợp bệnh nhi 7 tuổi (trú tại TP Vinh) bị đa vết thương do mảnh sành bắn vào đùi sau vụ tai nạn nổ bình ga.

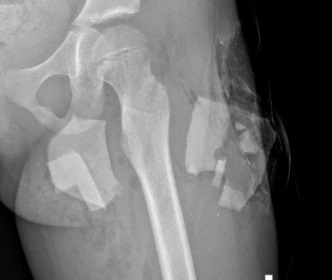
Ngay sau khi vào viện, bệnh nhân được khám, sơ cứu cầm máu vết thương và chụp phim X-quang. Phim chụp phát hiện có đa dị vật cản quang đầu trên đùi trái và cẳng chân phải. Bệnh nhân được chỉ định phẫu thuật cấp cứu xử trí vết thương lấy dị vật.

Quá trình mổ, các bác sĩ phát hiện dị vật là mảnh sành xuyên từ mặt ngoài đùi trái, đi giữa lớp cơ thẳng đùi vào đến vùng dưới bẹn nơi có bó mạch thần kinh đi qua. Dị vật gãy làm đôi, một mảnh ở phía ngoài vết thương, còn một mảnh nằm sâu bên trong, để lại đường hầm nằm dưới lớp cơ.

no binh ga anh 1

Phim chụp phát hiện có đa dị vật cản quang đầu trên đùi trái và cẳng chân phải. Ảnh: BVCC.

Đặc biệt, mảnh dị vật ở phía trong, nằm sát ngay bên cạnh bó mạch thần kinh đùi nhưng chưa gây tổn thương đến bó mạch. Tuy nhiên, việc gắp dị vật ra để không ảnh hưởng đến mạch máu thần kinh của bệnh nhân là điều không hề dễ dàng.

Sau hơn 2 giờ phẫu thuật căng thẳng, cuộc mổ kết thúc an toàn, dị vật được lấy ra, vết thương được rửa sạch và khâu phục hồi lại.

Sau ca mổ, trẻ được chăm sóc hồi sức hậu phẫu, kiểm soát chống nhiễm trùng chặt chẽ. Đến nay, sau 2 tuần điều trị, trẻ đã được xuất viện về nhà.

Pha cà phê sai cách dẫn đến thảm họa dinh dưỡng

Nếu bạn là người cuồng cà phê thì không thể bỏ cuốn sách Thánh kinh của những tín đồ cà phê. Trong sách này, tác giả Bob Arnot đã chỉ ra nhiều lợi ích của việc uống cà phê như giảm nguy cơ ung thư, ngừa bệnh tiểu đường, giảm cân... Ngoài ra, để có cốc cà phê thơm ngon và bổ dưỡng, ông còn hướng dẫn cách chọn công cụ pha chế, cách ướp lạnh hạt cà phê, tỷ lệ pha với nước và nhiệt độ thích hợp.

Cử trực thăng đưa ngư dân ở Trường Sa về đất liền cấp cứu

Vào 0h55, ngày 25/3, máy bay trực thăng của Bệnh viện Quân y 175 (TP.HCM) kịp thời đưa bệnh nhân bị giảm áp do lặn sâu từ Trường Sa về đất liền điều trị.

Phương Anh

Bạn có thể quan tâm