Đây là một loại bệnh khá phổ biến trong các bệnh về răng miệng, chúng có thể xuất hiện sớm và ảnh hưởng trên nhiều răng làm cho chức năng tiêu hóa bị hạn chế, nhất là khi đã lớn tuổi. Cần chủ động phòng ngừa bệnh nhằm bảo đảm không để mất răng hàng loạt gây khó khăn trong việc ăn uống, kể cả vấn đề thẩm mỹ.
Nguyên nhân gây bệnh
Bình thường lợi răng (còn được gọi là nướu răng) bám chặt vào chân răng để giữ cho răng được vững chắc, đồng thời có nhiệm vụ bảo vệ cho phần xương ổ răng nằm ở bên dưới và các gai lợi ở giữa các răng được tròn đều, săn chắc giúp cho thức ăn trượt đi dễ dàng, không bị mắc kẹt và đọng lại khi nhai các loại thức ăn. Nếu hàng ngày vệ sinhrăng miệng không sạch, đặc biệt là sau khi ăn sẽ tạo điều kiện cho vi khuẩn ở trong miệng phát sinh, phát triển kết đọng lại tạo thành những mảng bám vi khuẩn xuất hiện trên răng, lợi răng, rãnh ở giữa lợi răng và kẽ răng. Vi khuẩn sẽ sinh sản ra các độc tố làm phá hủy mô tế bào ở chung quanh răng, lợi răng, xương ổ răng... làm cho lợi răng bị viêm nhiễm, sưng phồng, chảy máu, phá hủy xương ổ răng dẫn đến hậu quả răng bị lung lay, không thực hiện được chức năng cắn, xé, nhai, nghiền... các loại thức ăn và cuối cùng bác sĩ nha khoa bắt buộc phải nhổ bỏ các răng bị ảnh hưởng mặc dù răng vẫn còn lành lặn, không bị hư hỏng.
Các bác sĩ nha khoa đã phân nhóm bệnh viêm nha chu thành hai loại là viêm nha chu ở lứa tuổi thanh thiếu niên và viêm nha chu ở người lớn tuổi. Ngoài ra còn có nhóm bệnh viêm lợi răng gồm: viêm lợi răng thông thường, viêm lợi răng tuổi dậy thì, viêm lợi răng do thiếu dinh dưỡng...
Triệu chứng bệnh lý và diễn biến lâm sàng
Triệu chứng bệnh lý được phát hiện khi thấy lợi răng bị viêm nhiễm sẽ chuyển từ màu hồng nhạt hoặc màu hồng đậm bình thường sang màu đỏ sẫm, có dấu hiệu sưng lên và căng phồng; dễ bị chảy máu khi ăn, khi nhai thức ăn hoặc sau khi vệ sinh răng miệng bằng bàn chải và kem đánh răng. Đồng thời mô tế bào của lợi răng trở nên lỏng lẻo, ít bám chặt vào chân răng làm cho thức ăn khi cắn, xé, nhai, nghiền... dễ dàng bị mắc kẹt vào các khoảng hở này. Ngoài ra, cũng xuất hiện các mảng bám và cao răng (còn gọi là vôi răng) đọng lại, đây là nơi hình thành các ổ tập trung khá nhiều vi khuẩn; lúc đầu các mảng bám vi khuẩn ít nhưng càng ngày càng dày và trở nên cứng nên được gọi là cao răng, vôi răng hay đá răng. Khi ăn các loại thức ăn, các mảng bám sẽ dễ dàng tiếp tục tích tụ và bám thêm trên lớp cao răng làm cho lớp cao răng càng trở nên dày thêm; hiện tượng này sẽ làm cho tình trạng viêm lợi răng trở nên trầm trọng theo thời gian. Tóm lại, triệu chứng lâm sàng của bệnh nha chu nói chung và bệnh viêm nha chu nói riêng có các biểu hiện thường gặp như: Lợi răng bị sưng đỏ và dễ chảy máu, hay chảy máu khi vệ sinh răng miệng bằng bàn chải và kem đánh răng. Cao răng bám đọng và tích tụ lại ở cổ răng. Hơi thở có mùi hôi. Có trường hợp ấn vào lợi răng thấy mủ chảy ra. Thấy cảm giác không bình thường khi nhai. Răng bị lung lay và di lệch làm cho các răng bị thưa ra...
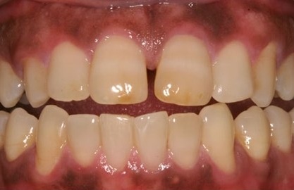
![]() |
| Lợi răng bị sưng đỏ và dễ chảy máu. |
Diễn biến lâm sàng của bệnh có các mức độ nặng nhẹ và xuất hiện rất sớm ở các nhóm tuổi khác nhau kể cả nam lẫn nữ nhưng thường tiến triển nặng ở những người lớn tuổi với vệ sinh răng miệng kém. Bệnh trải qua 4 giai đoạn chính gồm:
Giai đoạn cao răng và mảng bám vi khuẩn tích tụ lại ở cổ răng, chung quanh lợi răng, kẽ răng sẽ kích thích gây nên tình trạng viêm lợi răng. Giai đoạn lợi răng bị viêm nhiễm, sưng phồng, dễ chảy máu khi ăn và khi nhai thức ăn. Giai đoạn có tình trạng viêm nhiễm lan tỏa rộng tạo thành túi nha chu chứa vi khuẩn và chất mủ nếu không được điều trị. Giai đoạn cuối cùng là giai đoạn xương ổ răng bị phá hủy, lợi răng bị tụt xuống, răng lung lay và rụng ra ngoài dẫn đến tình trạng mất răng.
Phòng bệnh viêm nha chu
Việc phòng bệnh viêm nha chu cần thực hiện những yêu cầu cần thiết khi bệnh chưa xảy ra và khi bệnh đã xảy ra bằng những biện pháp cụ thể.
Khi bệnh chưa xảy ra, cần vệ sinh răng miệng với bàn chải và kem đánh răng đều đặn, kỹ lưỡng, thường xuyên hàng ngày sau mỗi bữa ăn, vào buổi tối trước khi đi ngủ. Giữ gìn lợi răng và răng được sạch sẽ để không có các mảng bám tích tụ trên răng, lợi răng; có thể xoa nắn lợi răng để giúp phòng tránh tình trạng bị viêm nhiễm. Nên ăn nhiều trái cây tươi, rau xanh. Phải khám răng định kỳ và điều trị sớm khi có dấu hiệu của bệnh viêm nha chu. Trong khi vệ sinh răng miệng, cần dùng thêm chỉ tơ nha khoa để làm sạch kẽ răng, súc miệng hàng ngày với nước ấm pha muối loãng hay các loại nước súc miệng sát khuẩn giúp cho răng miệng được sạch sẽ, có mùi thơm.
Khi bệnh đã xảy ra, nếu lợi răng bị viêm nhiễm cần phải vệ sinh răng miệng bằng bàn chải và kem đánh răng đều đặn, kỹ lưỡng hàng ngày sau mỗi bữa ăn và buổi tối trước khi đi ngủ một cách tích cực, thường xuyên hơn. nếu bệnh mới khởi phát được phát hiện, có hướng dẫn của bác sĩ nha khoa để chăm sóc tốt vệ sinh răng miệng thì bệnh sẽ khỏi nhanh chóng, giúp cho lợi răng trở lại bình thường. khi đã có cao răng hay vôi răng hình thành, nên đi khám bác sĩ nha khoa để được lấy sạch, đồng thời tiếp nhận hướng dẫn phương pháp giữ gìn vệ sinh răng miệng sạch sẽ. nên nhớ rằng việc chải răng bằng bàn chảỉ và kem đánh răng đúng phương pháp là biện pháp quan trọng hàng đầu để giúp giảm thiểu, phòng tránh được sự tiến triển của bệnh. nên ăn nhiều trái cây tươi, rau xanh; khám răng miệng định kỳ để phát hiện, điều trị sớm khi có dấu hiệu bệnh lý của bệnh.
