Nhồi máu cơ tim (NMCT) là một biến cố cấp tính, nguy hiểm. Bệnh lý này thường gặp trên các đối tượng trung niên, nam giới, có thói quen hút thuốc lá, tiền căn tăng huyết áp, đái tháo đường... Tuy nhiên, tuổi trung bình của các bệnh nhân NMCT đang dần trẻ hóa, không ít trường hợp mắc khi tuổi đời chưa đến 30.
Mới đây, các bác sĩ Bệnh viện Nhân dân 115 (TP.HCM) vừa cấp cứu cho bệnh nhân H.V.L. (25 tuổi) bị NMCT. Trước đó, L. toàn toàn chưa có bệnh lý mạn tính. Bệnh nhân mới trở về Việt Nam sau 5 năm lao động tại châu Âu. Trong thời gian này, do thời tiết lạnh, L. hút gần 20 điếu thuốc lá mỗi ngày.
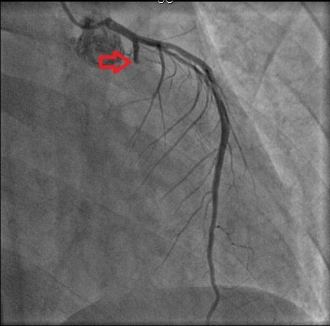
![]() |
| Hình ảnh chụp mạch vành trước khi đặt stent cho thấy nhánh mũ tắc hoàn toàn từ LCX1. Ảnh: BVCC. |
Bệnh nhân nhập viện khi thấy cơ thể đau nhức, khó thở, sốt nhẹ, ho. Đặc biệt, L. cảm thấy đau vùng ngực trái liên tục, mức độ trung bình đến nặng.
Qua thăm khám, nam bệnh nhân được chẩn đoán NMCT cấp, viêm cơ tim, chỉ định chụp mạch vành ngay lập tức.
Sau đó, các bác sĩ can thiệp một stent mạch vành có phủ thuốc trên LCX1 cùng liệu trình điều trị chuẩn của NMCT.
Triệu chứng đau ngực của bệnh nhân thuyên giảm ngay sau khi được can thiệp. Ngoài ra, bệnh nhân tươi tỉnh hơn, bớt khó thở, cử động được.
Sau 5 ngày, L. được ra viện kèm lời dặn uống thuốc mỗi ngày theo toa và khám hàng tháng tại chuyên khoa tim mạch.
Bác sĩ Ngô Võ Ngọc Hương, khoa Tim mạch tổng quát, cho biết đây là một bài học lâm sàng đáng lưu ý về NMCT cấp ở người trẻ.
Các nguyên nhân được ghi nhận chủ yếu từ thói quen hút thuốc lá, thừa cân, béo phì, có hội chứng chuyển hóa, rối loạn đông máu... T
