Sáng 22/10, anh N.S.Q. (xã Hào Phú, Sơn Dương, Tuyên Quang) đến Trung tâm Y tế huyện Đoan Hùng kiểm tra vì bị chảy máu mũi nhiều. Tại đây, bác sĩ Nguyễn Văn Hiếu, chuyên khoa Tai Mũi Họng, phát hiện có dị vật trong mũi của người bệnh. Sau khi thực hiện nội soi, bác sĩ phát hiện dị vật là một con đỉa dài khoảng 4 cm vẫn còn sống.
![]() |
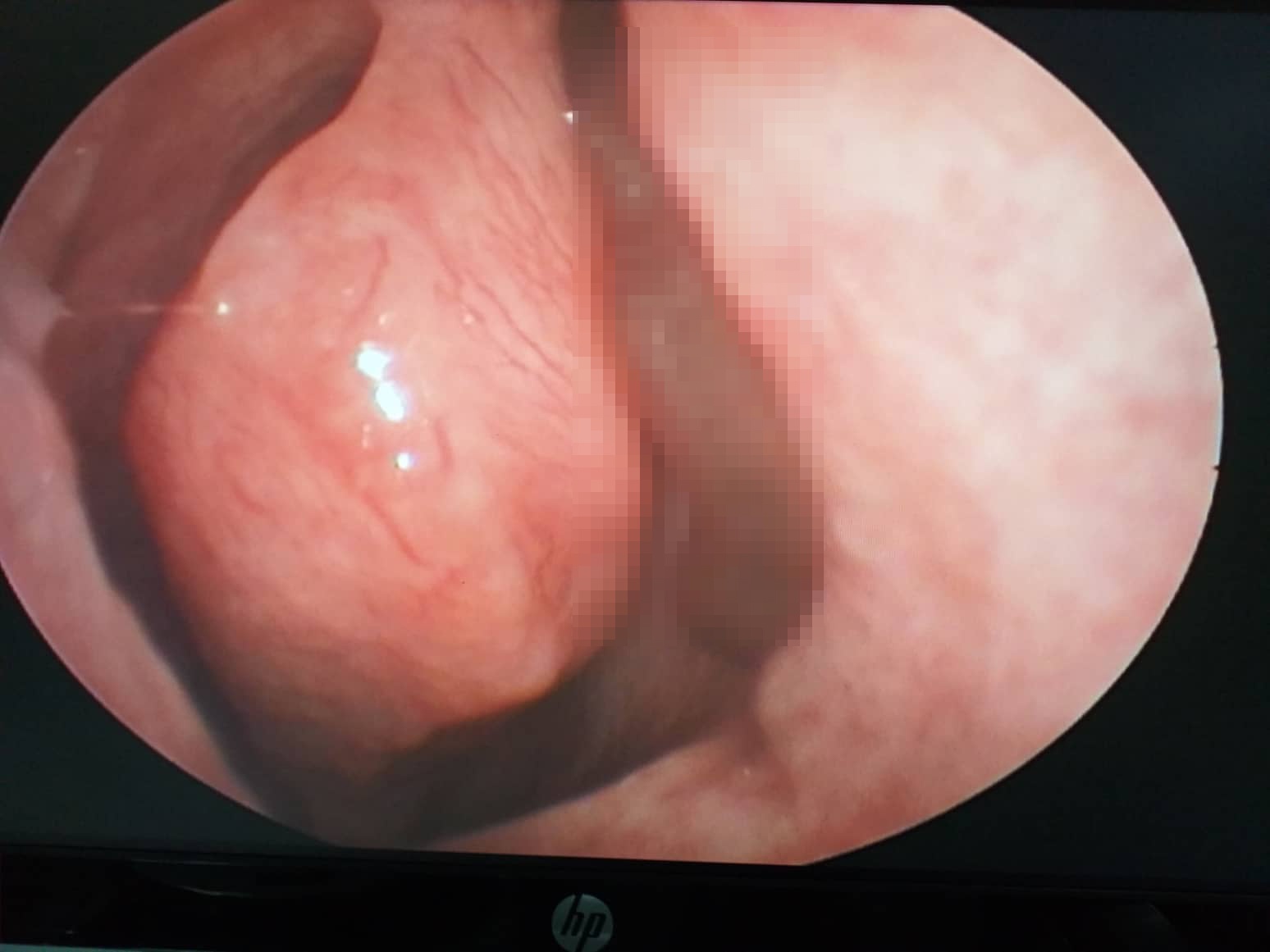
| Đỉa dài 4 cm sống trong mũi bệnh nhân. Ảnh: BVCC. |
Anh Q. cho biết vào khoảng đầu tháng 10 có vào rừng khai thác gỗ, rửa mặt và ngủ tại đây.
Sau 10 ngày trở về, anh Q. thấy đau nhức mũi, chảy máu nhưng chủ quan, không đi khám. Đến khi tình trạng chảy máu ngày càng nhiều hơn, bệnh nhân mới đến cơ sở y tế này để kiểm tra.
Theo bác sĩ Hiếu, đỉa thường sống trong môi trường nước tại các khe suối. Người dân tắm hoặc uống trực tiếp nước suối rất dễ bị đỉa chui vào người. Sau khi chui vào cơ thể, đỉa sống ký sinh bằng cách hút máu và to dần lên, gây ảnh hưởng xấu đến sức khỏe.
Đỉa thường bám vào một vị trí nào đó để hút máu nên chúng gây ra những triệu chứng như tăng áp lực, khó chịu, đau, thần kinh bị kích thích bắt nguồn từ nơi bị ký sinh. Chúng gây rối loạn chức năng cơ quan bị ký sinh, bội nhiễm vi khuẩn gây viêm, có thể tạo ổ áp xe ở lớp dưới niêm mạc.
Bác sĩ khuyến cáo người dân không nên bơi lội, tắm và uống nước tại khu vực khe suối hoặc môi trường nước không an toàn. Nếu bạn có dấu hiệu bất thường như trên nên đi khám sớm.
