Bạn có thể chuyển sang phiên bản mobile rút gọn của Tri thức trực tuyến nếu mạng chậm. Đóng

Dịch Covid-19

Cứu bé trai mắc Covid-19 diễn biến nặng

Bé trai không thuộc nhóm nguy cơ cao nhưng tổn thương phổi nặng và cần điều trị kéo dài.

Ngày 23/9, PGS.TS Phùng Nguyễn Thế Nguyên, Trưởng Đơn vị điều trị Covid-19, Bệnh viện Nhi đồng 1 (TP.HCM), cho biết đơn vị này vừa điều trị thành công một bệnh nhi mắc Covid-19 có diễn biến nặng.

Bệnh nhi là bé trai 13 tuổi, 48 kg, tiền sử khỏe mạnh, không bệnh nền. Bốn ngày đầu sau khi có xét nghiệm dương tính với SARS-CoV-2, em sốt nhẹ, ho khan. Sau đó, trẻ hết sốt nhưng ho nhiều, tức ngực, khó thở nên được đưa đến bệnh viện.

Sau khi được chuyển đến Bệnh viện Nhi đồng 1, các bác sĩ khoa Cấp cứu ghi nhận nhịp thở của bệnh nhi là 26-28 lần/phút, chỉ số này không quá nhanh so với trẻ 13 tuổi. Chỉ số SpO2 là 92%, đây là biểu hiện cho thấy tình trạng bé diễn biến nặng.

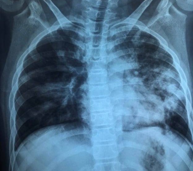
ton thuong phoi nang do mac Covid-19 anh 1

Hình ảnh X-quang của bé lúc nhập viện, phổi tổn thương nặng. Ảnh: BSCC.

Dù triệu chứng bệnh không quá rầm rộ, kết quả X-quang khiến các y bác sĩ bất ngờ bởi phổi bé bị tổn thương nặng. Ngoài ra, các kết quả xét nghiệm cho thấy phản ứng viêm tăng cao, rối loạn đông máu.

Bệnh nhi nhanh chóng được điều trị theo phác đồ viêm phổi nặng của Covid -19, hỗ trợ hô hấp, kháng sinh, steroid và thuốc chống đông.

"Đây là trường hợp trẻ khỏe mạnh, không yếu tố nguy cơ, không béo phì, triệu chứng không quá rầm rộ nhưng tổn thương phổi nặng và cần điều trị kéo dài", bác sĩ Nguyên nhận định.

Sau 5 ngày điều trị, tình trạng bệnh nhi cải thiện tốt, hết khó thở, giảm ho nhưng tổn thương phổi trên X-quang cải thiện chậm, SpO2 còn thấp (93-94%).

Sau 17 ngày điều trị theo phác đồ đồng thời theo dõi sát triệu chứng và oxy máu, bé trai khỏi bệnh hoàn toàn, tổn thương phổi cải thiện đáng kể, xét nghiệm rRT-PCR cho kết quả âm tính.

PGS.TS Phùng Nguyễn Thế Nguyên nhận định cho đến nay, trẻ em mắc SARS CoV-2 phần lớn không triệu chứng hoặc biểu hiện nhẹ. Tuy nhiên, tình trạng nặng vẫn có thể gặp ở trẻ em ngay cả khi không có yếu tố nguy cơ.

"Những trường hợp này không thể điều trị tại nhà mà cần có sự can thiệp cấp cứu của nhân viên y tế", PGS Phùng Nguyễn Thế Nguyên nói.


Tính đến ngày 22/9, TP.HCM đang điều trị 3.731 trẻ dưới 16 tuổi mắc Covid-19. Tỷ lệ trẻ diễn tiến nặng < 2%, chủ yếu là trẻ có bệnh lý nền nặng hoặc thừa cân, béo phì.

Trưởng Đơn vị điều trị Covid-19 của Bệnh viện Nhi đồng 1 khuyến cáo khi chăm sóc trẻ mắc Covid-19 tại nhà, phụ huynh cần theo dõi sát sức khỏe của bé. Các triệu chứng cần đặc biệt lưu ý là trẻ khó thở, than mệt, gắng sức kém, vã mồ hôi nhiều, nói từng từ, từng câu ngắn, thở nhanh, gắng sức, nhịp tim nhanh hay SpO2 < 93%.

Khi trẻ có các triệu chứng này, phụ huynh phải nhanh chóng đưa bé đến bệnh viện hoặc liên hệ ngay với Tổ phản ứng nhanh tại địa phương.

Những điều cần chú ý khi chăm sóc trẻ mắc Covid-19

Khi chăm sóc trẻ mắc Covid-19, cha mẹ cần lưu ý một số điều để giúp con hồi phục nhanh hơn.

Dịch Covid-19

Phat hien moi ve hau qua cua Covid-19 hinh anh

Phát hiện mới về hậu quả của Covid-19

0

Nghiên cứu mới cho thấy Covid-19 gây hại cho hệ vi sinh vật đường ruột, có thể dẫn đến các vấn đề sức khỏe khác như đầy hơi và trào ngược axit.

Phat hien virus bi an giong SARS-CoV-2 o Nga hinh anh

Phát hiện virus bí ẩn giống SARS-CoV-2 ở Nga

0

Với protein gai có thể dễ dàng bám vào tế bào người như nCoV, loại virus này khiến các nhà khoa học lo lắng. Đặc biệt, vaccine và kháng thể Covid-19 không có tác dụng với nó.

Dai dich moi o nhung nguoi khoi Covid-19 hinh anh

Đại dịch mới ở những người khỏi Covid-19

0

Nghiên cứu mới cho thấy ngay cả người nhiễm nCoV nhẹ cũng có nguy cơ bị đau tim, đột quỵ cao hơn. Điều này dấy lên mối lo về đại dịch bệnh tim mạch ở những người khỏi Covid-19.

Trieu chung nhiem bien chung BA.5 hinh anh

Triệu chứng nhiễm biến chủng BA.5

0

Về cơ bản, người nhiễm BA.5 sẽ có các triệu chứng như những chủng Covid-19 trước đó. Song, tần suất gặp phải của từng triệu chứng lại khác nhau.

Bích Huệ

Bạn có thể quan tâm