Theo Daily Mail, bệnh nhân 54 tuổi, giấu tên, đến từ Goyang, Hàn Quốc. Sau khi bị đau bụng dữ dội, bệnh nhân tới bệnh viện Ilsan Paik thuộc Đại học Inje để khám. Theo quan sát ban đầu, các bác sĩ nhận thấy bệnh nhân bị đầy hơi và cảm thấy "có gì đó giống như những viên đá nhỏ" khi họ chạm vào bụng bệnh nhân.
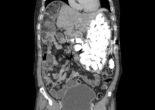
Hình ảnh chụp X-quang cho thấy có một nhóm dị vật lạ, số lượng lớn chiếm lấy toàn bộ dạ dày của bệnh nhân.
![]() |
| Vật thể lạ chiếm lấy toàn bộ dạ dày của bệnh nhân. Ảnh: Dailymail. |
Các bác sĩ ban đầu nội soi dạ dày để loại bỏ các dị vật bằng một ống mỏng đưa vào dạ dày qua miệng. Tuy nhiên, nó đã thất bại vì số lượng các dị vật trong dạ dày quá nhiều. Họ không đếm được có bao nhiêu dị vật mà người đàn ông đã nuốt.
Ngày hôm sau, nhóm bác sĩ buộc phải phẫu thuật để loại bỏ chúng. Họ bất ngờ khi nhìn thấy đá cuội, tiền xu và nắp chai trong dạ dày bệnh nhân. Khi được hỏi, bệnh nhân thú nhận ông thường nuốt đồng xu và đá cuội bất cứ khi nào cảm thấy lo lắng, mặc dù đã uống thuốc để trấn tĩnh. Không rõ các dị vật này đã ở bên trong cơ thể bệnh nhân bao lâu, ông chỉ nói đó là thói quen trong quá khứ. Bệnh nhân sau đó đã được về nhà sau 9 ngày điều trị tại bệnh viện.
Câu chuyện bất thường này được xuất bản bởi bác sĩ Pyong Wha Choi trên Tạp chí báo cáo về trường hợp y tế của Mỹ.
Thảo luận về trường hợp hiếm gặp này, bác sĩ Choi cho biết việc nuốt phải vật thể lạ thường xảy ra phổ biến ở trẻ em vì chúng dễ vô tình nuốt phải. Tuy nhiên, ở người trưởng thành khỏe mạnh, những vật hay nuốt nhất bao gồm xương cá và xương gà. Bác sĩ Choi cũng cho biết các vật thể này thông thường sẽ đi qua thực quản, việc bị mắc kẹt trong dạ dày như vậy là rất hiếm.
"Với trường hợp này, mặc dù bệnh nhân không phàn nàn về nôn mửa, số lượng sỏi và đồng xu quá lớn trong dạ dày khiến ông ấy bị đau bụng," bác sĩ Choi chia sẻ.
