Bạn có thể chuyển sang phiên bản mobile rút gọn của Tri thức trực tuyến nếu mạng chậm. Đóng

Giun đũa dài 25 cm trong ống mật bệnh nhân

Nam bệnh nhân nhập viện trong tình trạng đau bụng từng cơn vùng thượng vị và buồn nôn.

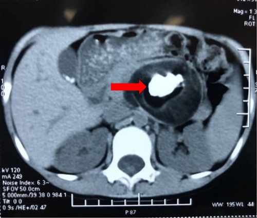
Các bác sĩ tại Bệnh viện Bãi Cháy (Quảng Ninh) vừa thực hiện kỹ thuật nội soi mật tụy ngược dòng (ERCP) gắp giun đũa dài 25 cm trong ống mật chủ của nam bệnh nhân V.A.C. (31 tuổi, ở Yên Bái).

Giun dua dai 25 cm trong ong mat anh 1

Hình ảnh giun đũa dài 25cm lấy ra từ ống mật chủ của người bệnh. Ảnh: BVCC.

Trước đó, sau khi nhập viện, siêu âm, chụp X-quang, bệnh nhân được chẩn đoán bị giun đường mật.

Trong quá trình nội soi, các bác sĩ cắt cơ oddi và dùng bóng kéo khảo sát từ ống gan chung xuống tá tràng để gắp giun ra ngoài. Sau đó, bệnh nhân được bơm rửa lại đường mật. Hiện tại, tình trạng người bệnh ổn định, không còn đau bụng và có thể xuất viện sau 24 giờ theo dõi.

Trước đó, khoa Thăm dò chức năng, Bệnh viện Bãi Cháy, cũng nội soi gắp 50 con sán lá gan sống trong ống mật chủ của bệnh nhân N.V.C. (52 tuổi, ở Quảng Yên, Quảng Ninh).

Giun chui ống mật là biến chứng của tình trạng nhiễm giun trong đường tiêu hóa khi mật độ tăng lên với số lượng lớn. Giun ký sinh ở ruột non có thể di chuyển ngược lên tá tràng, lọt vào ống mật chủ, ống gan chung, ống túi mật và hệ thống đường mật trong gan.

Bệnh có thể dẫn tới nhiễm trùng đường mật, áp-xe gan và đường mật. Nguy hiểm nhất là nhiễm trùng huyết dẫn đến suy gan, suy thận cấp, sốc nhiễm trùng nặng..., nguy cơ tử vong cao.

Giun dua dai 25 cm trong ong mat anh 2

Bác sĩ Chu Mạnh Tường, khoa Ngoại, Bệnh viện Bãi Cháy, thăm khám cho người bệnh sau can thiệp. Ảnh: BVCC.

Bác sĩ Chu Mạnh Tường, khoa Ngoại, Bệnh viện Bãi Cháy, cho biết triệu chứng thường gặp của bệnh là đau bụng dữ dội vùng thượng vị khiến người bệnh toát mồ hôi, mặt tái xanh, tái nhợt, vật vã, quằn quại, đau từng cơn, buồn nôn, sốt...

Vì vậy, ngay khi gặp các biểu hiện này, người bệnh cần đến cơ sở y tế có trang thiết bị, đội ngũ bác sĩ chuyên khoa để thăm khám, chẩn đoán, điều trị kịp thời, hạn chế biến chứng nguy hiểm.

Để phòng tránh giun chui ống mật, bác sĩ khuyến cáo người dân nên ăn chín, uống sôi, không ăn các loại thực phẩm tươi sống chưa qua chế biến; hạn chế ăn rau sống, chỉ ăn khi mua ở nơi đảm bảo và vệ sinh rửa rau sạch đúng quy trình; tăng cường vệ sinh môi trường, giữ gìn nơi ở sạch sẽ; tẩy giun định kỳ 6 tháng một lần.

Nguyên nhân khiến bệnh nhi ở Hà Nội thở rít bất thường

Sau khi ho sặc và được cha mẹ vỗ ngực, trẻ tiếp tục xuất hiện dấu hiệu khò khè vào ban đêm nên phải nhập viện.

Phương Mai

Bạn có thể quan tâm