Bạn có thể chuyển sang phiên bản mobile rút gọn của Tri thức trực tuyến nếu mạng chậm. Đóng

Một phụ nữ tử vong sau khi điều trị gãy xương bánh chè khớp gối

Nữ bệnh nhân bị gãy xương bánh chè khớp gối được gia đình đưa vào điều trị tại Bệnh viện STO Phương Đông nhưng rơi vào nguy kịch và tử vong sau khi gây tê.

Theo đơn phản ánh của anh Đỗ Văn Đông (43 tuổi, ngụ Kiến Tường, Long An), ngày 19/12, gia đình có đưa mẹ anh là bà Lê Thị Huệ (65 tuổi) vào Bệnh viện STO Phương Đông (79 Thành Thái, phường 14, quận 10) để điều trị chấn thương bánh chè khớp gối.

Trước khi nhập viện, bà Huệ có tiền sử đái tháo đường type II, cao huyết áp, đang uống thuốc hàng ngày và không dị ứng với các loại thuốc đã sử dụng.

Bệnh nhân nhập viện trong trạng thái tỉnh táo, tiếp xúc tốt, thể trạng trung bình, niêm mạc hồng, huyết áp cao. Qua khám cận lâm sàng, bệnh nhân được chẩn đoán gãy xương bánh chè trái. Do đường huyết, huyết áp cao nên được điều trị nội khoa để hạ đường huyết và huyết áp.

Đến 9h35 phút ngày 21/12, khi đường huyết và huyết áp dần ổn định, người bệnh được chuyển lên phòng mổ với chẩn đoán gãy kín xương bánh chè. Dự kiến mổ kết hợp xương bánh chè trái.

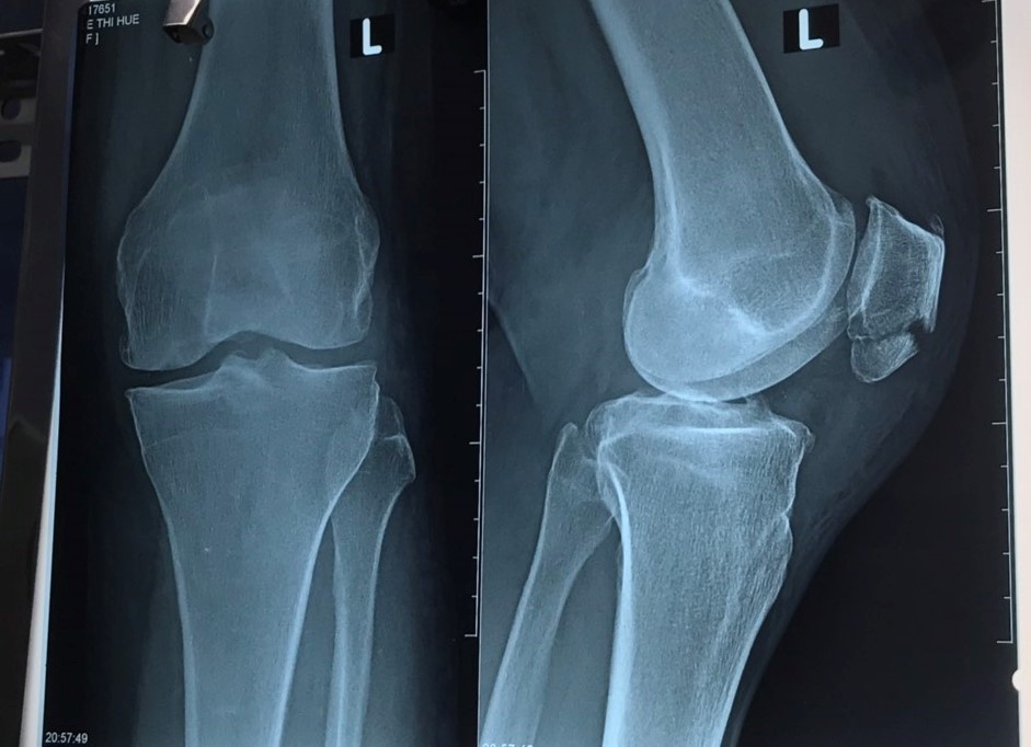
tu vong sau gay te de mo gay xuong anh 1

Hình ảnh chụp X-quang khớp gối trái của người bệnh. Ảnh: BVCC.

Đến 10h10 phút, bệnh nhân được tiến hành gây tê tủy sống tại vị trí L4, L5 và tiêm thuốc cầm máu. Sau khi test kháng sinh âm tính, người bệnh được tiêm kháng sinh IV chậm.

Khoảng 10h50 phút, trong khi đang chờ mổ, bệnh nhân đột ngột xuất hiện tình trạng mất tri giác, co cứng cơ tay, chân, hàm, huyết áp tụt, mạch chậm. Bệnh viện đã tiến hành đặt nội khí quản, bóp bỏng, cho thở oxy, truyền dịch, sốc điện…

Đến 11h30 phút, khi bệnh nhân đủ điều kiện chuyển viện, đơn vị này đã chuyển bà Huệ sang Bệnh viện Nhân dân 115 để điều trị chuyên sâu.

Trao đổi với Zing.vn chiều 8/1, bác sĩ Hoàng Đình Lương, Phó Giám đốc Bệnh viện STO Phương Đông, cho biết bệnh nhân có các biểu hiện tụt huyết áp, rối loạn nhịp trước mổ.

“Sau khi bệnh nhân có biểu hiện bất thường, kíp trực đã nhanh chóng đưa ra các biện pháp hồi sức tích cực. Khi bệnh nhân có nhịp tim trở lại, bệnh viện đã nhanh chóng người bệnh qua Bệnh viện Nhân dân 115 để điều trị chuyên sâu”, bác sĩ Lương cho hay.

BSCKII Trần Văn Sóng, Phó giám đốc Bệnh viện Nhân dân 115 (TP.HCM), xác nhận bệnh nhân được chuyển đến từ Bệnh viện STO Phương Đông trong tình trạng hôn mê sâu, ngưng tuần hoàn hô hấp, tụt huyết áp.

Bệnh nhân được tiến hành hồi sức, điều trị tích cực và chuyển sang khoa Hồi sức tích cực - Chống độc. Tại đây, các bác sĩ đã dùng các phương pháp lọc máu, hạ thân nhiệt. Bệnh nhân được chẩn đoán theo dõi ngộ độc, phản vệ thuốc tê.

Theo bác sĩ Sóng, trong qua trình điều trị nghi ngờ bệnh nhân thuyên tắc động mạch phổi. Thời gian đầu, bệnh nhân có cải thiện nhưng sau đó trở nặng, sốc không hồi phục, đã áp dụng điều trị theo phác đồ phản vệ ngộ độc thuốc tê, lọc máu nhưng không tiến triển. Đến khoảng 23h ngày 23/12, gia đình xin đưa bệnh nhân về nhà.

Lý giải về nguyên nhân tử vong của bệnh nhân, bác sĩ Hoàng Đình Lương cho biết có khả năng người bệnh xuất hiện tình trạng thuyên tắc động mạch phổi trùng với thời điểm gây tê.

“Sau khi sự cố xảy ra, đại diện bệnh viện có liên tục sang thăm người bệnh và gửi lời chia buồn đến gia đình. Hầu hết thành viên trong gia đình bệnh nhân đều không có phản ứng gay gắt”, bác sĩ Lương nói.

BV Từ Dũ: Vụ thai 40 tuần chết trong bụng mẹ là sự cố hiếm gặp

Bệnh viện Từ Dũ khẳng định làm đúng quy trình. Thai nhi tử vong do nhau bong non, dây rốn thắt nút và quấn hai vòng cổ.

Bích Huệ

Bạn có thể quan tâm