Bạn có thể chuyển sang phiên bản mobile rút gọn của Tri thức trực tuyến nếu mạng chậm. Đóng

Người đàn ông nguy kịch vì giẫm phải bẫy súng

Người đàn ông ở Hà Giang bị mảnh đạn đâm xuyên thành trước ngực, gây chảy máu, tràn dịch màng phổi trái, gãy xương sườn.

Trung tâm cấp cứu 115 Hùng Vương, Bệnh viện Đa khoa Hùng Vương (Phú Thọ), vừa tiếp nhận nam bệnh nhân 33 tuổi (ở Đức Xuân, Bắc Quang, Hà Giang) trong tình trạng nguy kịch do giẫm phải bẫy súng khi đi rừng.

Bệnh nhân nhập viện trong tình trạng khó thở, đau tức ngực trái, thở phì phò, nhịp thở nhanh, vết máu khô ở mũi. Bác sĩ phát hiện bệnh nhân có vết thương ở thành ngực trái ngay sát núm vú trái. Vết thương này có kích thước khoảng 3 cm.

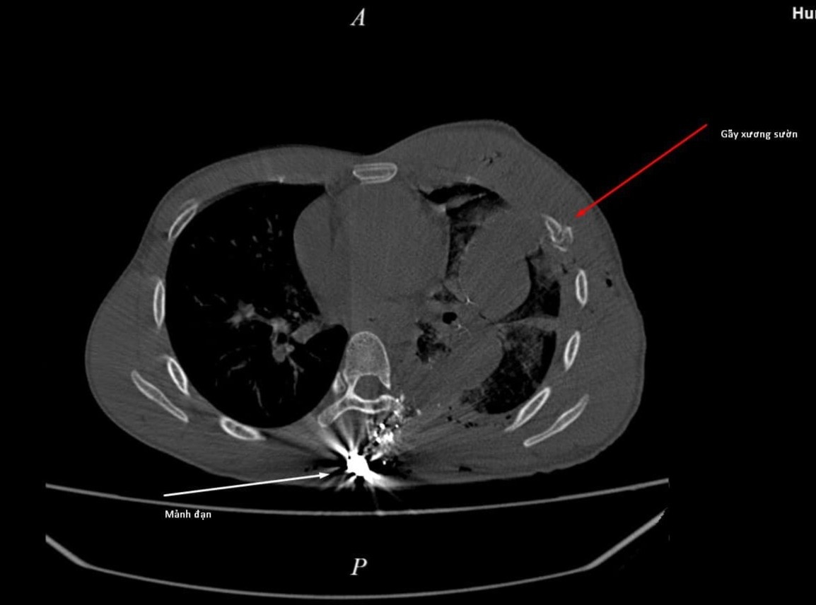
Bi dan ban do giam phai bay sung anh 1

Kết quả chụp cắt lớp cho thấy bệnh nhân bị gãy xương sườn, mảnh đạn vẫn nằm trong cơ thể. Ảnh: BVCC.

Người nhà bệnh nhân cho biết khi đi rừng tìm cây thuốc, người này bị giẫm phải bẫy súng (không rõ loại súng) khiến súng nổ bắn vào ngực trái. Sau tai nạn, bệnh nhân tỉnh, ngực trái có vết thương chảy máu nhiều, ho ra máu, được sơ cứu cầm máu tại chỗ.

Kết quả chụp cắt lớp vi tính ngực cho thấy mảnh đạn đâm xuyên thành trước ngực, qua phổi và vẫn nằm trong cơ thể bệnh nhân.

Các bác sĩ xác định bệnh nhân rất nguy kịch, được chỉ định dẫn lưu màng phổi. Tuy nhiên, khi mở lồng ngực, máu từ vết thương phun thành tia, huyết áp tụt, không đo được, mạch đập rời rạc và ngừng hẳn. Nhận định đây là tình huống rất khó khăn, các bác sĩ cố gắng ép tim khôi phục, tái tạo tuần hoàn, truyền máu, kẹp cầm máu, băng ép cố định lồng ngực.

Sau hơn một giờ cấp cứu, tim của bệnh nhân đập trở lại. Sau khi hội chẩn, người đàn ông này được chuyển đến Bệnh viện Hữu nghị Việt Đức (Hà Nội) để tiếp tục điều trị.

Cứu bệnh nhân bị gãy xương sườn

Các bác sĩ tại Bệnh viện Hữu nghị Việt Đức (Hà Nội) vừa cứu nữ bệnh nhân quốc tịch Ukraine bị gãy nhiều xương sườn, tràn máu màng phổi, chấn thương gan sau tai nạn giao thông.

Phương Mai

Bạn có thể quan tâm