| Carley đến điều trị tại Việt Nam. |
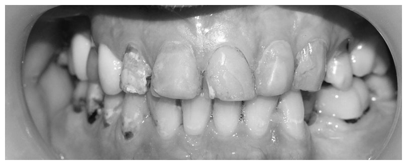
Carley đến từ bang Victoria, Australia. Trước kia cô có hàm răng không được đẹp, bị nhiễm màu nặng, mòn chân răng và sâu răng. Do quá bận rộn với công việc, Carley không có nhiều thời gian điều trị. Cô có ghé qua bệnh viện vài lần để trám răng, có lần làm mão răng sứ. Tuy nhiên, thẩm mỹ không được cải thiện, các mảng trám cũng bắt đầu nhiễm màu.
Trong chuyến công tác dài ngày tại Việt Nam, được một người bạn giới thiệu, Carley thử đến khám răng hàm mặt tại TP.HCM. Được bác sĩ tư vấn về phương án điều trị thẩm mỹ triệt để, kèm theo thao khảm những ca đã thành công trước đó, Carley tin tưởng quyết định điều trị trong tổng thời gian 20 ngày.
Mặc dù phải làm việc nhưng cô vẫn có thể đến phòng nha vì các cuộc hẹn điều trị chỉ diễn ra trong vài tiếng cuối tuần. Khoảng thời gian trong tuần là để chuẩn bị mão răng sứ và các yếu tố liên quan. Kết thúc đợt điều trị với kết quả mỹ mãn, Carley sẵn sàng về nước và làm người thân bất ngờ với hàm răng mới. Kể từ đó cô cũng có cái nhìn khác về y học Việt Nam.
![]() |
| Răng trước điều trị. |
![]() |
| Sau điều trị. |
Công ty TNHH Nha Khoa Thẩm Mỹ AVA
Địa chỉ duy nhất: 31 Trần Khắc Chân, P.Tân Định, Q.1, TP.HCM
Hotline: (08) 6288.7777 - 22.297.297
BS. Phạm Việt Hùng : 09.1615.7777
Email: info@benhvienthammy.com.vn
Website: http://benhvienthammy.com.vn
Công ty TNHH nha khoa thẩm mỹ Việt Hưng
Địa chỉ: 17-19 Lê Văn Việt - P.Hiệp Phú - Q9 - TP.HCM
Hotline: 08.6279 1111- 08.6672 1111 - 093326 1111
Website: http://nhakhoaviethung.vn
Nha khoa Nét Việt - Phú Nhuận
Địa chỉ: 152 - Đặng Văn Ngữ - Q.Phú Nhuận - TP.HCM (Gần nhà thờ Ba Chuông)
ĐT: 08.2211 5555 - 2211 4848 - 2211 4949
Hotline: 0902 115 115
Website : http://www.nhakhoanetviet.com/
Nha khoa thẩm mỹ Hữu Cầu
Địa chỉ : 59B Nguyễn Hữu Cầu, Phường Tân Định, Quận 1, TP. HCM
Hotline : (84–8) 66.86.2222 - 0168.26.25.7777
Dr. Minh Cường : 094.8888.272
Website: nhakhoahuucau.com

