Hô, móm phần lớn do yếu tố di truyền, phần còn lại do thói quen xấu như cắn môi, mút ngón tay… Không chỉ ảnh hưởng thẩm mỹ, tình trạng này còn tác động không tốt đến chức năng nhai, phát âm, thậm chí nguy hại đến hệ tiêu hóa.
Hô, móm được chia làm 3 dạng gồm hô do răng, do hàm, do cả 2 răng và hàm. Tùy vào mức độ bị móm của mỗi người mà bác sĩ sẽ đưa ra chỉ định phù hợp. Nếu hô, móm do răng, kỹ thuật niềng tiên tiến sẽ giúp khắc phục nhanh chóng. Ngoài những biện pháp như niềng răng mắc cài kim loại, mắc cài sứ, mặt lưỡi, kỹ thuật niềng răng trong suốt bằng invisalign giúp người bệnh tự tin hơn khi giao tiếp vì không ảnh hưởng nhiều đến yếu tố thẩm mỹ.
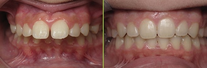
![]() |
|
Hình ảnh trước và sau khi niềng răng trong suốt bằng invisalign tại bệnh viện JW. |
Nếu bạn bị hô, móm do hàm, bác sĩ sẽ cắt tiền đình xương hàm đẩy lùi về sau rồi di chuyển và cố định lại xương hàm bằng nẹp vít titan. Bác sĩ cũng có thể cắt cành hàm dưới và đẩy lùi vào trong bằng phương pháp BSSO không cần nhổ răng. Chỉ sau một lần điều trị, khuyết điểm sẽ được xử lý triệt để.
Quan tâm đến phẫu thuật hàm hô, móm, bạn có thể tham dự chương trình tư vấn trực tuyến do bệnh viện JW tổ chức vào 14-16h ngày 20/4. Chương trình có sự tham gia của tiến sĩ, bác sĩ Nguyễn Phan Tú Dung (giám đốc bệnh viện JW), chuyên gia niềng răng Phạm Bình Ái Phương, bác sĩ Nguyễn Văn Tuấn (Bệnh viện răng hàm mặt Trung Ương TP HCM), bác sĩ Jung Won (Giám đốc công ty HDX). Bệnh viện thẩm mỹ JW Hàn Quốc ưu đãi 15-20% phí dịch vụ niềng răng, phẫu thuật hàm hô, móm cho tất cả khách hàng đặt câu hỏi tư vấn trong chương trình.
Bệnh viện thẩm mỹ JW Hàn Quốc chi nhánh Việt Nam
Địa chỉ: 44 – 46 – 48 – 50, Tôn Thất Tùng, phường Bến Thành, quận 1, TP HCM
Hotline: 0968682222 – 0968681111
Website: http://thammyhanquoc.vn/
Email: thammyvienhanquoc@gmail.com
