Bạn có thể chuyển sang phiên bản mobile rút gọn của Tri thức trực tuyến nếu mạng chậm. Đóng

Nội soi cắt toàn bộ âm đạo điều trị bệnh ung thư hiếm gặp

Người phụ nữ 58 tuổi buộc phải cắt bỏ tử cung và toàn bộ âm đạo để điều trị bệnh ung thư hiếm gặp. Đây cũng là lần đầu tiên Bệnh viện K triển khai thành công phẫu thuật này.

Bệnh viện K Trung ương, ngày 22/1, cho biết các bác sĩ khoa Ngoại Phụ khoa của bệnh viện vừa phẫu thuật nội soi thành công cắt tử cung, cắt toàn bộ âm đạo và vét hạch chậu cho bệnh nhân L.T.T. (58 tuổi) được chẩn đoán ung thư âm đạo. Đây cũng là lần đầu tiên Bệnh viện K triển khai thành công phẫu thuật này.

Trước đó, bệnh nhân T. có tình trạng chảy máu âm đạo bất thường sau mãn kinh hơn hai tháng, tuy nhiên vì ngại và chủ quan nên không đi khám. Chỉ đến khi thấy khó chịu nhiều hơn, bệnh nhân mới đến bệnh viện. Tại đây, kết quả chụp cộng hưởng từ và sinh thiết cho thấy bệnh nhân bị ung thư âm đạo giai đoạn sớm.

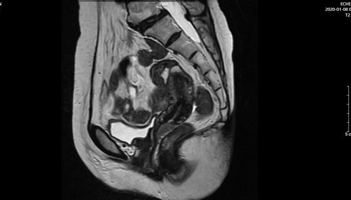
cat am dao do ung thu hiem anh 1

Hình ảnh chẩn đoán ung thư của nữ bệnh nhân. Ảnh: BSCC.

Theo bác sĩ Lê Trí Chinh, Trưởng khoa Ngoại Phụ khoa, Bệnh viện K Trung ương, ung thư âm đạo là bệnh lý rất hiếm gặp ở nữ giới. Ước tính mỗi năm chưa đến 1/100.000 người mắc bệnh và chiếm khoảng 2% trong các bệnh lý ung thư phụ khoa.

Bệnh nhân ung thư âm đạo thường đến viện khi ở giai đoạn tiến triển, điều trị chủ yếu bằng tia xạ và hóa chất nhưng bệnh nhân T. rất may mắn, khi phát hiện bệnh mới chỉ ở giai đoạn I.

"Trước đây, với những ca bệnh này, các bác sĩ thường phẫu thuật cắt tử cung, toàn bộ âm đạo kèm theo vét hạch chậu qua mổ mở đường bụng và đường âm đạo. Tuy nhiên, với mong muốn cải tiến kỹ thuật, vừa giúp điều trị bệnh hiệu quả, vừa giúp bệnh nhân hồi phục nhanh, bảo đảm thẩm mỹ, các bác sĩ đã quyết định tiến hành phẫu thuật nội soi ít xâm lấn cho bệnh nhân", bác sĩ Chinh nói.

Sau gần 3 giờ, ca phẫu thuật đã thành công. Chỉ sau một ngày, bệnh nhân T. đã hoàn toàn tỉnh táo. Hiện tại, bệnh nhân ăn uống và đi lại bình thường

Bác sĩ Chinh cho biết do vùng âm đạo có nhiều mạch máu và thần kinh chi phối nên phẫu thuật cắt âm đạo toàn bộ luôn là thách thức với các phẫu thuật viên.

Thành công từ ca phẫu thuật đầu tiên này cũng mở ra cơ hội điều trị cho bệnh nhân tốt hơn, giúp người bệnh nhanh chóng bình phục sau mổ.

Cách nhận biết sớm ung thư âm đạo

Ung thư âm đạo hiếm gặp, triệu chứng ban đầu của bệnh không rõ rệt nên rất khó để chẩn đoán.

https://nld.com.vn/suc-khoe/noi-soi-cat-toan-bo-am-dao-dieu-tri-benh-ung-thu-hiem-gap-20200122140458037.htm

Theo N.Dung/ Người Lao Động

Bạn có thể quan tâm