Bệnh viện Nhân Dân 115 vừa điều trị thành công trường hợp bệnh nhân trẻ tuổi bị nhồi máu cơ tim cấp sau chấn thương ngực kín, không có tiền sử bệnh tim mạch cũng như yếu tố nguy cơ tim mạch.
Bệnh nhân là chị T.T.P.V. (35 tuổi, TP.HCM) nhập viện trong tình trạng đau ngực sau xương ức, đau cảm giác bóp chặt ngực, đau lan ra sau lưng kèm khó thở, vã mồ hôi và hoảng hốt.
Người nhà cho biết chị V. bị ngã đập phần trước ngực xuống đất do va chạm với xe đạp khi đang đi bộ. Chị V. không bị chấn thương đầu và cơ quan khác, không mất ý thức mà chỉ ê ẩm thành ngực. Tuy nhiên, 30 phút sau té ngã, chị V. rơi vào tình trạng trên nên đưa vào bệnh viện.
![]() |
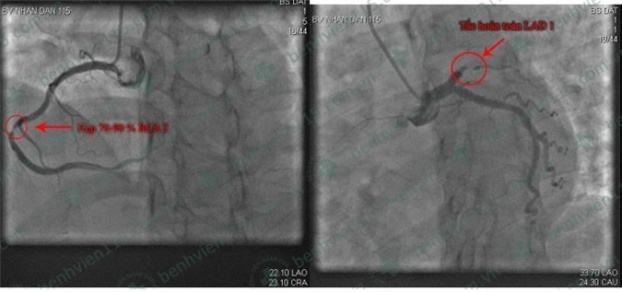
| Hình ảnh chụp mạch vành của bệnh nhân. Ảnh: BVCC |
Tại đây, các bác sĩ chẩn đoán chị V. bị nhồi máu cơ tim cấp sau chấn thương ngực kín. Các bác sĩ nhanh chóng chụp mạch vành cấp cứu và can thiệp mạch vành. Hiện sức khỏe bệnh nhân đã ổn định.
Bác sĩ Nguyễn Phạm Cao Minh, khoa Tim mạch tổng quát, Bệnh viện Nhân dân 115, cho biết nhồi máu cơ tim là một bệnh cảnh cấp tính, diễn tiến phức tạp và có tỷ lệ tử vong cao.
Nhồi máu cơ tim phần lớn rơi vào các bệnh nhân lớn tuổi có nguy cơ tim mạch cao, nhiều bệnh lý nền tim mạch. Tuy nhiên, một số trường hợp nhồi máu cơ tim xảy ra ở bệnh nhân trẻ, nguy cơ tim mạch rất thấp. Đặc biệt ở những trường hợp khởi phát nhồi máu cơ tim sau sang chấn thương như trường hợp chị V.
Mặc dù bệnh nhân còn rất trẻ, yếu tố nguy cơ tim mạch trước đó không ghi nhận, kết quả khảo sát mạch vành vẫn có sang thương nặng, rộng, đa mạch máu, khả năng do bệnh lý xơ vữa cao.
Vì vậy, việc khám sức khỏe định kỳ, thay đổi lối sống từ chế độ ăn uống, sinh hoạt đến luyện tập nên được đặt ra đối với mọi người, ở mọi lứa tuổi để có thể phòng tránh và điều trị kịp thời các bệnh lý tim mạch trong cộng đồng.
Theo BS Minh, đối với các trường hợp chấn thương ngực, đặc biệt là chấn thương ngực có triệu chứng đau cần xem xét cẩn thận để loại trừ nhồi máu cơ tim.
