Bạn có thể chuyển sang phiên bản mobile rút gọn của Tri thức trực tuyến nếu mạng chậm. Đóng

Phát hiện polyp đại tràng hóa ác giai đoạn sớm

Phát hiện polyp đại tràng kích thước lớn (gần 5 cm) tiến triển thành ung thư, bệnh nhân 39 tuổi được bác sĩ BVĐK Tâm Anh phẫu thuật nội soi cắt đoạn đại tràng để triệt căn.

Trung tuần tháng 4, chị Nguyễn Thị Bạch Dương (TP Đà Lạt, Lâm Đồng) đến thăm khám tại Bệnh viện Đa khoa Tâm Anh TP.HCM trong tình trạng bao tử nóng rát, ợ hơi, đi tiêu liên tục 7-8 lần/ngày. Chị cho biết hai năm qua thường xuyên đi tiêu ra máu kèm tiêu chảy. Lúc đầu do triệu chứng không thường xuyên, chị nghĩ bị rối loạn tiêu hóa nên tự mua thuốc uống. Tuy nhiên, triệu chứng ngày càng diễn tiến nặng.

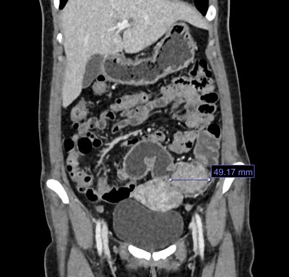
BVDK Tam Anh,  polyp dai trang anh 1

Hình ảnh CT (chụp cắt lớp) cho thấy có khối u gần 5 cm ở đại tràng.

BS Nguyễn Quốc Thái - Trưởng khoa Ngoại tiêu hóa, Trung tâm Nội soi và Phẫu thuật nội soi tiêu hóa - thăm khám trực tiếp và chỉ định nội soi đại tràng, chụp cắt lớp vi tính, phát hiện bệnh nhân có polyp đại tràng lớn khoảng 5 cm, chiếm hết lòng ruột. Trong quá trình nội soi, do khối u sần sùi bít lòng ruột và dễ chảy máu, ống soi không qua được. Kết quả giải phẫu bệnh phẩm là ung thư giai đoạn sớm rất sớm (Tis - giai đoạn 0). Đây là giai đoạn ung thư biểu mô tại chỗ (còn gọi là ung thư tại chỗ). Tế bào ung thư được tìm thấy ở niêm mạc hoặc mô đệm - những lớp trên cùng lót bên trong đại tràng hoặc trực tràng.

BS Quốc Thái cho biết ca bệnh này hiếm gặp do polyp lớn và được phát hiện ác tính ở giai đoạn rất sớm, khối u chưa có dấu hiệu lan rộng hay di căn. Tuy nhiên, do u lớn, bít hết lòng ruột nên không thể cắt qua nội soi tiêu hóa mà cần phẫu thuật nội soi cắt đoạn đại trực tràng để triệt căn. So với mổ mở, phương pháp phẫu thuật nội soi, phẫu thuật robot ưu thế hơn bởi ít đau, bệnh nhân có thể phục hồi nhanh với vết sẹo nhỏ, đảm bảo thẩm mỹ.

Nhờ hệ thống máy móc hiện đại cùng ê kíp chuyên gia giàu kinh nghiệm, sau gần hai giờ, bác sĩ lấy hết khối u, ca mổ diễn ra thành công. Sau mổ, bệnh nhân phục hồi tốt, vết mổ nhanh lành, sức khỏe ổn định. Các triệu chứng trước đây như tiêu lỏng, tiêu máu… hết hẳn.

BVDK Tam Anh,  polyp dai trang anh 2

Chị Bạch Dương tái khám sau 20 ngày phẫu thuật với tình trạng sức khỏe ổn định.

BS Quốc Thái nói thêm đây là trường hợp bệnh nhân trẻ tuổi, chưa đến tuổi nội soi tiêu hóa (thường từ 45 tuổi) để tầm soát ung thư. Khi có triệu chứng bất thường, bệnh nhân không đi khám ngay mà để lâu nên phải phẫu thuật, thay vì cắt qua nội soi nếu u nhỏ.

Tuy nhiên, người bệnh may mắn khi phát hiện polyp hóa ác ở giai đoạn sớm, giúp việc điều trị nhẹ nhàng, tiên lượng tốt. Người bệnh cần tái khám định kỳ để được bác sĩ theo dõi, đánh giá bệnh có tái phát không.

Sau điều trị, chị Dương như trút được gánh nặng, lấy lại tinh thần, không còn lo lắng như lần đầu cầm kết quả chẩn đoán.

BVDK Tam Anh,  polyp dai trang anh 3

Thư cảm ơn bệnh nhân gửi đến bác sĩ điều trị và điều dưỡng tại Bệnh viện Đa khoa Tâm Anh.

Theo bác sĩ Quốc Thái, polyp đại tràng là tổn thương nhỏ hình thành trên bề mặt lớp trong cùng của đại tràng, gọi là lớp niêm mạc. Thông thường, các polyp đại tràng lành tính. Tuy nhiên, nếu không can thiệp và điều trị kịp thời, bệnh nhân có thể gặp biến chứng như chảy máu tiêu hóa, tắc ruột, thậm chí dẫn đến ung thư đại tràng như trường hợp của chị Dương.

BS Quốc Thái khuyến nghị mọi người nên phòng ngừa bệnh từ sớm, duy trì chế độ sống lành mạnh, ăn nhiều trái cây, rau xanh, uống nhiều nước; tập thể dục mỗi ngày; hạn chế ăn thịt đỏ; tránh lạm dụng rượu bia, nói không với thuốc lá.

Người từ 45 tuổi nên tầm soát ung thư đường tiêu hóa. Trường hợp có thành viên trong gia đình bị ung thư, độ tuổi tầm soát có thể sớm hơn. Người chưa đến tuổi tầm soát nhưng xuất hiện triệu chứng đau bụng, thay đổi thói quen đi tiêu, đi tiêu ra máu… nên thăm khám sớm. Phát hiện sớm giúp điều trị hiệu quả, khả năng chữa khỏi cao.

* Tên bệnh nhân được thay đổi

Be trai suy gan, suy than cap sau 5 ngay sot cao hinh anh

Bé trai suy gan, suy thận cấp sau 5 ngày sốt cao

0

Sau 5 ngày sốt cao liên tục, bé trai 7 tuổi ở An Giang bắt đầu nôn ói, đau bụng dữ dội và nhanh chóng rơi vào suy gan, suy thận do sốt xuất huyết Dengue nặng.

Quyên Phan - Minh Chi

Bạn có thể quan tâm