Ngày 16/11, cuộc phẫu thuật u não kéo dài hơn một giờ cho bệnh nhân N.Q.M.T. (TP.HCM) tại Bệnh viện Đa khoa (BVĐK) Tâm Anh TP.HCM đã diễn ra thành công.
TTƯT.ThS.BS.CKII Chu Tấn Sĩ - Trưởng khoa Phẫu thuật thần kinh, Trung tâm Thần kinh, BVĐK Tâm Anh TP.HCM - cho biết thông qua kỹ thuật vi phẫu kết hợp định vị Navigation hiện đại, ê-kíp phẫu thuật đã cắt hết khối u não đường kính khoảng 2,5 cm cho bệnh nhân.
|
| Sau mổ hai ngày, bệnh nhân có thể sinh hoạt, đi lại và ăn uống bình thường. |
Trước đó, chị M.T nhiều lần ngất xỉu vài chục giây không rõ nguyên nhân. Sau khi tỉnh lại, chị không nhớ điều gì vừa xảy ra. Đáng nói, bệnh nhân và người nhà không thấy biểu hiện bất thường trước mỗi lần ngất xỉu, kể cả đau đầu. Triệu chứng này lặp đi lặp lại nhiều lần, với tần suất cao nên gia đình đưa bệnh nhân đi khám.
Với kinh nghiệm lâm sàng nhiều năm, bác sĩ Chu Tấn Sĩ nhận định đây có thể là cơn động kinh vắng ý thức. Thỉnh thoảng người bệnh sẽ lên cơn vài chục giây rồi tỉnh lại, không nhớ sự việc đã xảy ra.
![]() ![]() |
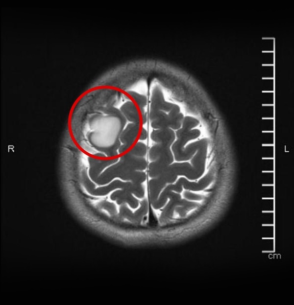
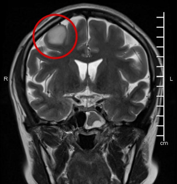
Hình chụp MRI ở 2 mặt cắt hộp sọ. |
Qua thăm khám và chỉ định chụp MRI, bác sĩ nhận thấy khối choán chỗ trong trục vùng trán phải, kích thước khoảng 2,5 cm. Tiên lượng đây là khối u sao bào độ ác tính thấp, bác sĩ Chu Tấn Sĩ tư vấn bệnh nhân nhập viện để phẫu thuật.
Ca phẫu thuật của chị M.T được thực hiện với trưởng ê kíp là bác sĩ Chu Tấn Sĩ. Phương pháp được chọn là vi phẫu cắt u kết hợp định vị Navigation. Phương pháp này cho phép bác sĩ định vị khối u của bệnh nhân, đối chiếu lên da đầu, xương sọ và mở nắp hộp sọ với kích thước chỉ khoảng 2,5-3 cm. Thông qua mở màng não, bác sĩ có thể tiếp cận khối u để vi phẫu loại bỏ.
Bác sĩ Tấn Sĩ cho hay về lý thuyết, khối u trên đại thể khó phân biệt với mô não lành bằng mắt thường. Chuyên gia có kinh nghiệm mổ nhiều năm có thể nhận thấy, phân định khối u hơi dai, chắc so với tổ chức não. Dù vậy, đây là sự phân biệt cảm tính, nên bác sĩ cần ứng dụng kỹ thuật định vị tọa độ để đánh dấu ranh giới và xử lý triệt để khối u.
Cuộc phẫu thuật kéo dài hơn một giờ và diễn ra thành công. Một ngày sau mổ, bệnh nhân tỉnh hoàn toàn; không yếu liệt chân, tay; có thể tự ngồi, đứng, đi vệ sinh và ăn cháo loãng. Dự kiến bệnh nhân được xuất viện sau 3 ngày phẫu thuật để chờ kết quả giải phẫu bệnh lý.
Do còn trẻ, khối u não có độ ác tính thấp và cuộc phẫu thuật diễn ra thành công - lấy trọn khối u, bảo tồn chức năng tốt - bệnh nhân được tiên lượng khỏi bệnh hoàn toàn sau phẫu thuật. Trong trường hợp khối u não độ ác tính cao, người bệnh cần hóa xạ bổ sung.
Bác sĩ Chu Tấn Sĩ nhận định cuộc mổ phức tạp khi phải định vị tọa độ và giải quyết toàn bộ tổn thương, nhưng không gây ảnh hưởng đến cấu trúc xung quanh não. Việc áp dụng phương pháp giải phẫu kinh điển có thể ảnh hưởng đến các mô xung quanh não. Sau mổ, bệnh nhân có nguy cơ yếu liệt, không lấy hết u, để lại di chứng thần kinh.
|
| Bác sĩ định vị tọa độ tổn thương khối u trước khi phẫu thuật. |
Cũng theo bác sĩ Chu Tấn Sĩ, kỹ thuật mổ vi phẫu kết hợp định vị Navigation là phương pháp hiện đại trong phẫu thuật thần kinh, đang được Bệnh viện Đa khoa Tâm Anh áp dụng.
Vào tháng 12, phương pháp này được gắn với kỹ thuật chụp MRI bó sợi thần kinh (DTI) - cho phép bác sĩ nhìn thấy hình ảnh các bó dẫn truyền thần kinh quanh u. Đây là nguyên lý hoạt động của hệ thống phẫu thuật u não bằng robot đầu tiên được cấp phép tại Việt Nam. Theo đó, từ cuộc mổ mô phỏng bằng robot, phẫu thuật viên sẽ xác định tương quan giữa u và các cấu trúc bó dẫn truyền thần kinh nhằm tránh phạm phải trong lúc phẫu thuật. Từ đó, họ có thể bảo tồn các bó sợi thần kinh và mô não lành, tránh được biến chứng thần kinh trong và sau phẫu thuật.
Hệ thống Bệnh viện Đa khoa Tâm Anh đồng hành cùng Zing News thực hiện tuyến nội dung “Vì sức khỏe cộng đồng” mang đến cho bạn đọc cái nhìn toàn cảnh về sức khỏe của người Việt. Hệ thống BVĐK Tâm Anh là một trong những bệnh viện chất lượng cao tại Việt Nam, thực hiện thăm khám, điều trị và chăm sóc sức khỏe cho hàng triệu khách hàng, quy tụ đội ngũ chuyên gia, bác sĩ hàng đầu cả nước.
Độc giả có nhu cầu tư vấn, khám chữa bệnh có thể liên hệ qua website, fanpage hoặc đến trực tiếp hệ thống BVĐK Tâm Anh tại Hà Nội (108 Hoàng Như Tiếp, phường Bồ Đề, quận Long Biên; hotline: 18006858 - 02471066858) và TP.HCM (2B Phổ Quang, phường 2, quận Tân Bình; hotline: 02871026789 - 02873006858).

