Bạn có thể chuyển sang phiên bản mobile rút gọn của Tri thức trực tuyến nếu mạng chậm. Đóng

Phương pháp mới giúp điều trị bệnh phình mạch máu não

Với phương pháp can thiệp nội mạch, bác sĩ có thể “xóa” túi phình mạch máu não bằng đường rạch khoảng một cm ở đùi.

Chị N.T.P (46 tuổi, Cần Thơ) bị đau nửa đầu hơn nửa năm. Dù dùng thuốc, bệnh vẫn không thuyên giảm. Chị P. quyết định đến Bệnh viện FV điều trị vào đầu năm nay.

Đặt stent chuyển dòng điều trị phình mạch máu não

Qua kết quả chụp MRI sọ não của chị P., bác sĩ chuyên khoa I Nguyễn Minh Đức, khoa Ngoại Thần kinh và Can thiệp nội mạch thần kinh, phát hiện có túi phình mạch máu não ở động mạch cảnh trong, bên phải. Túi phình lớn dần qua các lần theo dõi.

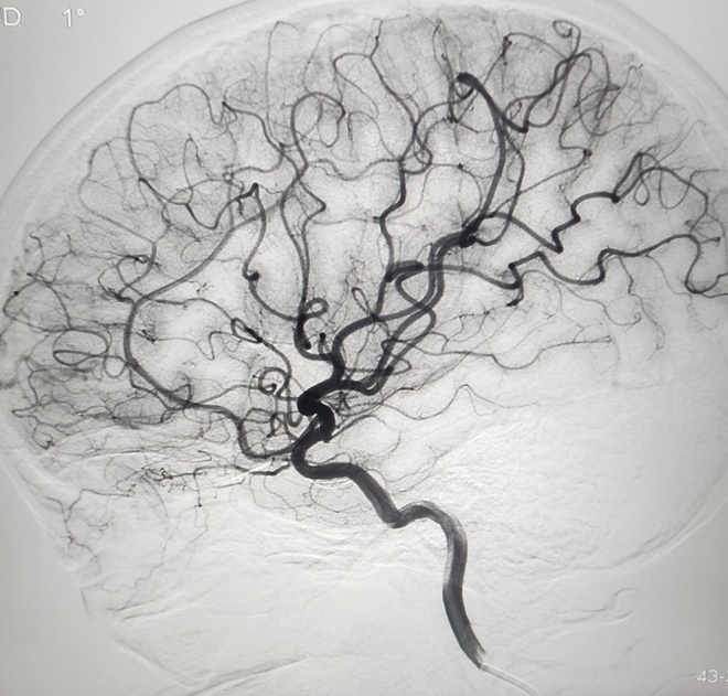
Benh vien FV,  phinh mach mau nao anh 1

Kết quả chụp phim DSA cho thấy động mạch cảnh của bệnh nhân có túi phình lớn.

Chị P. được đề nghị chụp mạch số hóa xóa nền (DS). Kết quả cho thấy túi phình trong não lồi hẳn lên thành mạch.

“Phình mạch máu não rất nguy hiểm. Nếu không điều trị, có 30% trường hợp vỡ túi phình dẫn đến tử vong, đồng thời, chỉ 30% bệnh nhân vỡ túi phình được cứu sống nhưng di chứng yếu liệt, rối loạn ngôn ngữ...”, bác sĩ Đức nhận định.

Bệnh nhân được chỉ định can thiệp nội mạch. Theo bác sĩ chuyên khoa I Nguyễn Minh Đức, tùy hình dạng túi phình, bác sĩ sẽ đưa ra phương án điều trị khác nhau.

Nếu túi phình cổ hẹp, bác sĩ sẽ thả vào một vòng xoắn kim loại (coil). Trường hợp bệnh nhân P. - túi phình cổ rộng, việc đặt coil có thể bị trôi ra ngoài. Do đó, bác sĩ chọn hình thức đặt stent chuyển dòng (giá đỡ thành mạch).

Ca điều trị cho chị P kéo dài 2 giờ. Bác sĩ Đức rạch đường nhỏ khoảng một cm ở đùi bệnh nhân, luồn ống thông có gắn stent từ động mạch đùi dẫn lên não, đến vị trí túi phình. Stent được đặt phủ ngang mạch máu, nhờ đó máu không đi vào túi phình. Sau một thời gian, túi phình sẽ biến mất hoàn toàn.

Benh vien FV,  phinh mach mau nao anh 2

Sau 6 tháng đặt stent, túi phình trong động mạch cảnh của bệnh nhận đã tiêu biến.

Ca can thiệp nội mạch cho bệnh nhân P. diễn ra thành công. Bệnh nhân được xuất viện sau một ngày.

Tái khám vào cuối tháng 6, chị P. cho biết tình trạng đau đầu chấm dứt hoàn toàn. Kết quả chụp MRI cho thấy động mạch cảnh trong não bệnh nhân không còn túi phình.

Phình mạch máu não - biểu hiện mơ hồ, có thể dẫn đến tử vong

Theo bác sĩ Đức, bệnh phình mạch máu não xuất hiện ở khoảng 5% dân số. Điều đáng lo ngại là biểu hiện bệnh mơ hồ, phổ biến là những cơn đau đầu, dễ nhầm với bệnh cảnh khác. Do khó phát hiện, túi phình to dần theo thời gian và có thể vỡ đột ngột. Trường hợp túi phình bị vỡ, bệnh nhân sẽ cảm thấy đau đầu như “sét đánh”.

Benh vien FV,  phinh mach mau nao anh 3

Bác sĩ chuyên khoa I Nguyễn Minh Đức khuyến cáo người có yếu tố nguy cơ nên tầm soát bệnh phình mạch máu não.

Bác sĩ Đức cho biết cách duy nhất để phát hiện sớm bệnh phình mạch máu não là chụp MRI sọ não tầm soát, đặc biệt quan trọng với đối tượng nguy cơ:

  • Độ tuổi trung niên (từ 45 tuổi trở lên).
  • Yếu tố gia đình.
  • Có bệnh lý ảnh hưởng chất lượng thành mạch máu (tiểu đường, tăng huyết áp, xơ vữa mạch máu, béo phì…).

Với trường hợp đau đầu nhưng điều trị không khỏi, bệnh nhân nên tầm soát bằng cách chụp MRI. Các trường hợp chưa rõ dấu hiệu bệnh cần chụp DSA khảo sát mạch máu.

Cũng theo bác sĩ Đức, trước đây để điều trị túi phình mạch máu não, bệnh nhân được mở sọ, vén não, dùng dụng cụ kẹp ngang để bít túi phình. Hiện nay, với phương pháp can thiệp nội mạch, nhiều trường hợp không cần trải qua phẫu thuật nặng nề.

Bệnh viện FV có phòng Cathlab được đầu tư bài bản, hiện đại, đội ngũ bác sĩ can thiệp nội mạch thần kinh giàu kinh nghiệm, có thể xử lý tình huống nguy cấp liên quan đến bệnh phình mạch máu não và bệnh lý liên quan (đột quỵ tắc mạch máu, dị dạng mạch máu, dò mạch máu...).

Bệnh viện FV ra mắt kênh tin tức FV Magazine nhằm cung cấp cho cộng đồng thông tin y khoa chính thống. Độc giả tham khảo tại đây.

Bệnh nhân cần tư vấn về bệnh phình mạch máu não liên hệ (028)54113333.

Chi An

Bạn có thể quan tâm