Bệnh nhân đầu tiên là nam giới, 52 tuổi ở Ngọc Khánh (Ba Đình, Hà Nội), uống rượu trước khi vào Trung tâm chống độc khoảng 24 giờ tại khu vực đường Kim Mã, La Thành. Bệnh nhân được chuyển đến Trung tâm chống độc trong tình trạng hôn mê sâu, tổn thương cả 2 bên bán cầu não, toan chuyển hoá nặng.
Xét nghiệm thấy nồng độ Methanol trong máu lên đến 45,9 mg/dl, bệnh nhân đã được trung tâm chống độc điều trị bằng tất cả các liệu pháp tích cực với một tình trạng ngộ độc methanol nặng.
Đến chiều 8/4, xét nghiệm methanol trong máu đã âm tính nhưng bệnh nhân vẫn trong tình trạng hôn mê sâu, tổn thương não nặng nề, nguy cơ di chứng và tử vong rất cao.
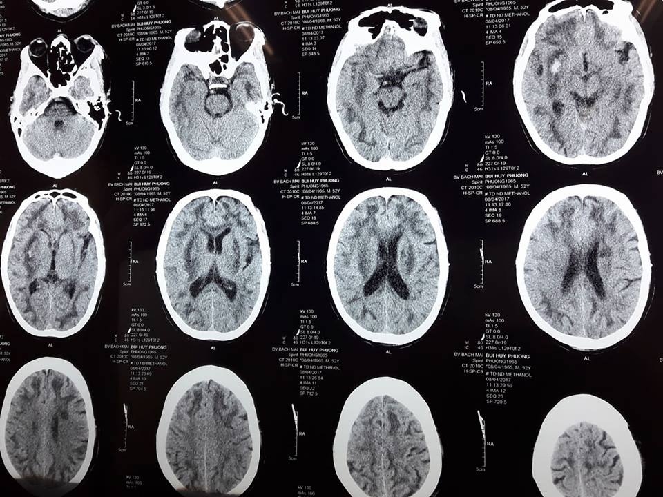
![]() |
| Hình ảnh chụp não bị tổn thương của người đàn ông 52 tuổi bị ngộ độc rượu có methanol. Ảnh: Bác sĩ cung cấp. |
Bệnh nhân thứ hai (41 tuổi) hiện điều trị ở Bệnh viện bệnh Nhiệt đới trung ương với các biểu hiện tương tự sốc nhiễm trùng, men gan và methanol cao.. Ths Nguyễn Trung Nguyên - Phụ trách Trung tâm chống độc - cho biết hiện cả 2 bệnh nhân đều đã được cấp cứu tích cực, lọc máu, điều trị giải độc, nhưng tình trạng đều vẫn rất nặng.
Từ tháng 1 đến nay đã có 34 bệnh nhân phải cấp cứu do ngộ độc methanol tại trung tâm. Trong số đó, 9 bệnh nhân tử vong tại viện hoặc nặng gia đình xin về. Nhiều bệnh nhân di chứng do tổn thương mắt, não nặng nề dù đã được lọc máu thải độc tích cực, tốn kém kinh phí.
Xem clip: Rượu, bia nguy hại với cơ thể ra sao
