Sáng 22/6, Lê Trần Quang Minh, Phó giám đốc Bệnh viện Tai Mũi Họng, TP.HCM, cho biết vừa điều trị cho bệnh nhân bị hóc xương cá lóc hiếm gặp.
Trước đó, bệnh nhân nhập viện trong tình trạng khó thở, đau tức ngực, ho điều trị lâu ngày không khỏi. Kết quả CT cho thấy dị vật phế quản thùy dưới, ứ khí trong phổi.
Bệnh nhân 52 tuổi, ở tỉnh Bình Dương, cho biết bị hóc xương cá lóc và đến bệnh viện địa phương điều trị 5 ngày nhưng các bác sĩ không tìm thấy dị vật và cho về.
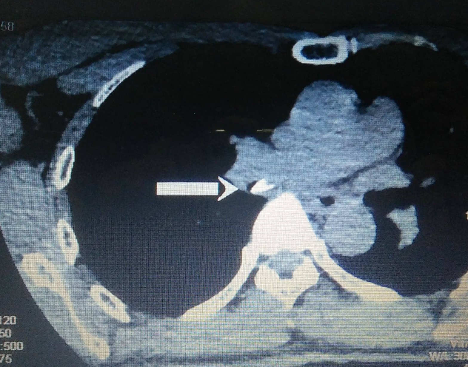
![]() |
| Xương cá nằm cắm chặt bít khí quản của bệnh nhân qua hình CT. Ảnh: BSCC. |
Khi về nhà, người bệnh vẫn đau, khó thở nên tìm đến Bệnh viện Tai Mũi Họng. Từ kết quả CT, bác sĩ phát hiện xương cá có kích thước 0,5x0,2 cm, bít chiếm hết phế quản. Các bác sĩ đã phẫu thuật lấy dị vật ra khỏi phổi bệnh nhân.
Xương như cây dù, cắm và bít chặt khí quản, gây phù nề viêm mạc. Bệnh nhân đã được các bác sĩ nội soi lấy được xương ra, hút mủ ra điều trị bằng kháng sinh, tránh tình trạng vỡ mạch máu, tử vong.
Theo bác sĩ Dương Thanh Hồng, Trưởng khoa Tay đầu mặt cổ, khi bị hóc xương cá mọi người hay có phản xạ là nuốt cơm, móc. Tuy nhiên những hành động này không giúp ích cho người bệnh, mà còn làm trầy xước viêm màng họng gây nhiễm trùng.
![]() |
| Bệnh nhân cho biết khi đến bệnh viện tuyến dưới đã nói với bác sĩ nhưng nhân viên y tế vẫn không lấy ra được khiến ông bị đau trong thời gian dài. Ảnh: Khánh Trung. |
“Nuốt cơm, dị vật đang ở vị trí cao, sẽ đẩy xuống họng thực quản, càng khó lấy, phải đưa vào phòng mổ nội soi, phẫu thuật mới lấy ra được”, bác sĩ Hồng giải thích.
Việc “bỏ quên” dị vật trong đường thở sẽ dẫn đến biến chứng ho tức ngực, gây viêm phổi tái diễn nhiều lần, xâm lấn, áp xe, gây nhiễm trùng cho bệnh nhân.
Một năm bệnh viện tiếp nhận khoảng 8-10 ca bị hóc dị vật, bít đường thở. Nếu không nhanh chóng lấy dị vật, bệnh nhân có thể mắc chứng viêm, lao phổi. Bác sĩ khuyến cáo trẻ con rất dễ hóc dị vật, vì vậy tuyệt đối không được đùa giỡn trong khi nhai nuốt thức ăn.

