Bà Vũ Thị Q. (SN 1947, ở Hà Nội) cho biết trước đó có ăn cơm với canh cá. Sau ăn, bà cảm thấy nuốt đau ở vùng cổ, đã đi khám nội soi tai mũi họng nhưng không phát hiện ra hóc xương.
![]() |
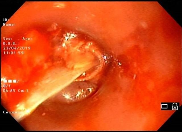
| Hình ảnh nội soi thấy chiếc xương cá nằm trong thực quản bệnh nhân. |
Sau đó tình trạng bệnh nhân chuyển nặng, thấy đau vùng cổ và xương ức, cứ ăn vào nôn ngay. Bệnh nhân đã đi khám tại phòng Nội soi tiêu hóa can thiệp ở Bệnh viện Đa khoa Hà Đông và phát hiện bị hóc xương cá.
Theo ThS.BSCKII Nguyễn Thị Cương, đây là một trong những trường hợp hóc xương cá cực nguy hiểm. Bệnh nhân đã lớn tuổi, lại bị hóc xương mang cá có cấu tạo như một móc câu, mỏng, to bản, kích thước 2x1,7 cm ở thực quản.
"Nếu các bác sĩ gắp xương cá từ thực quản ra ngoài luôn sẽ gây xé rách thực quản, dẫn tới chảy máu nhiều sẽ gây nguy hiểm cho bệnh nhân. Bởi vậy, kíp phẫu thuật đã lựa chọn giải pháp đưa dị vật xuống dạ dày, sau đó gắp dị vật bằng dụng cụ chuyên biệt.
![]() |
| Chiếc xương cá được các bác sĩ gắp ra khỏi cơ thể bệnh nhân. |
Với phương pháp tối ưu này đã giúp bệnh nhân tránh được chảy máu thực quản và gắp được dị vật thành công mà không gây tai biến cho bệnh nhân. Sau khi gắp dị vật thành công, bệnh nhân được hướng dẫn theo dõi tại nhà không phải nằm viện", bác sĩ Cương cho hay.
Kíp kỹ thuật gồm có ThS.BS Đỗ Anh Giang - Bệnh viện Bạch Mai và ThS. BSCKII Nguyễn Thị Cương - Bệnh viện Đa khoa Hà Đông thực hiện thành công ca gắp dị vật phức tạp này.
Theo các chuyên gia y tế, hóc xương cá là tai nạn rất thường gặp khi ăn uống bất cẩn, xảy ra ở trẻ nhỏ và cả người lớn. Khi bị hóc, dù là một hay hai mẩu xương nhỏ, cũng khiến người hóc có cảm giác khó chịu và đau đớn. Bởi vậy, để tránh tình trạng hóc xương cá mọi người nên thận trọng trong lúc ăn, không nên vừa cười nói vừa nhai. Với những người cao tuổi, cần hạn chế các loại thức ăn cứng, khó nhai, nuốt để tránh gây hóc.
Nếu chẳng may hóc xương cá thì ngay lập tức nên dừng tất cả các hoạt động ăn uống, vì có thể khiến dị vật có nguy cơ đâm sâu hơn vào cổ họng gây tổn thương. Đồng thời, người bị hóc xương cá hãy đến ngay các cơ sở y tế để được thăm khám và điều trị kịp thời.
Các bác sĩ cũng lưu ý, khi bị hóc, sặc, thay vì sơ cứu đúng cách, nhiều người lại có thói quen dùng tay móc họng hoặc dùng vật cứng móc ngoáy sâu vào họng. Tuy nhiên, theo các chuyên gia, điều này vô cùng nguy hiểm vì có thể gây trầy xước, dẫn đến các biến chứng viêm nhiễm vùng hầu họng.

