Nữ bệnh nhân bị đâm thủng phổi khi châm cứu
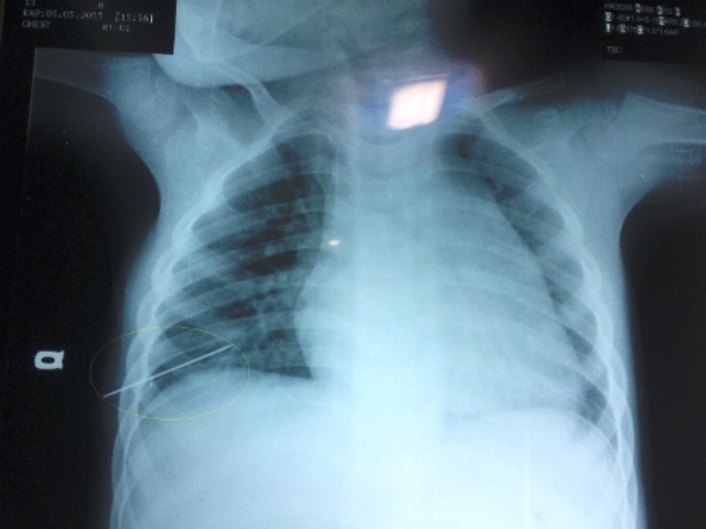
Nữ bệnh nhân sau khi châm cứu trở về nhà thấy khó thở, tới bệnh viện kiểm tra mới phát hiện bị tràn khí màng phổi do những mũi kim châm cứu gây ra.
55 kết quả phù hợp
Nữ bệnh nhân sau khi châm cứu trở về nhà thấy khó thở, tới bệnh viện kiểm tra mới phát hiện bị tràn khí màng phổi do những mũi kim châm cứu gây ra.
Gần 50 tuổi đời, Lê Văn Hải đã có nhiều năm ăn cơm tù. Người đàn ông này đang nỗ lực cải tạo để sớm trở về bên mẹ và con.
Mâu thuẫn tình cảm, Thật bị nhóm thanh niên truy sát dẫn đến tử vong trên huyện lộ 94, đoạn qua TP Mỹ Tho.
Trong lúc đòi nợ, nhóm thanh niên dùng dao đâm thủng phổi chủ nhà. Nạn nhân được đưa đi cấp cứu nhưng không qua khỏi.
Trên đường về nhà sau khi dự tiệc rượu, Quốc bị bạn gái cầm dao đâm từ sau lưng. Thanh niên này được người dân đưa đi cấp cứu với con dao còn trên lưng.
Cho rằng hai thanh niên trêu ghẹo và xúc phạm đến mình, cô gái 20 tuổi gọi Hiệp đến giải quyết.
Theo đại diện Grab Việt Nam, từ năm 2016 đến nay đã có hơn 100 vụ tài xế GrabBike bị hành hung. Điểm nóng ở phía nam là các bến xe An Sương, Miền Đông, Miền Tây, sân bay.
Khi tàu cá neo đậu gần xã đảo Thổ Châu (Phú Quốc, Kiên Giang), Dễ rủ anh Nhơn uống rượu nhưng ngư phủ này từ chối nên xảy ra cự cãi rồi dẫn đến án mạng.
Một bệnh nhân bị đâm thủng phổi, máu chảy nhiều, không đo được huyết áp, không có người nhà ký cam kết mổ, nhưng các bác sĩ vẫn tiến hành phẫu thuật.
Sau va chạm xe máy với ôtô, một nhóm thanh niên đã tìm những người khách ngoài tỉnh đến Cà Mau chơi để hành hung.
Bức xúc vì tiếng pô xe ồn ào, anh Tân đứng lên bước ra và cự cãi. Dù là người có lỗi nhưng Hậu vẫn kiếm chuyện gây sự.
Sau khi hát karaoke xong, hai nhóm thanh niên ở Nghệ An ra về thì xảy ra mâu thuẫn, ẩu đả khiến một người chết, người khác bị thương.
Do ghen tuông, người chồng dùng dao đâm thủng phổi, rách tĩnh mạch người vợ 44 tuổi. May mắn, người vợ được các bác sĩ phẫu thuật khẩn cấp, cứu sống.
Nhiều lần năn nỉ nối lại tình cảm với bạn gái không thành, Khuynh chặn đường đâm thủng phổi tình địch khi phát hiện nạn nhân đang chở người mình yêu đi chơi.
Anh Quang ra khỏi nhà vào chiều 4/2, nói là đi đòi nợ tiền cá độ bóng đá. Khoảng 23h cùng ngày, người thân gọi vào điện thoại của anh thì nghe tiếng ú ớ, sau đó mất liên lạc.
Sau bị truy sát, nạn nhân chuyển viện cấp cứu trong tình trạng nguy kịch, lơ mơ, có vết đâm gây thấu phổi. Sau vài giờ gây án, hung thủ đã bị công an bắt giữ.
Do ghen tuông vô cớ nên ông Chu thường đi uống rượu rồi đánh vợ, chửi con. Người này đã bị nhà chức trách cưỡng chế đi cải tạo nhưng vẫn chứng nào tật nấy.
Anh Tám bất ngờ rút một điếu thuốc, tung về phía Khánh. Bị bất ngờ với phản xạ bản năng, Khánh “trắng” đưa tay ra đỡ điếu thuốc bằng tay… trái.
Ngày 2/8, Công an TP HCM cho biết đã bắt giữ Lý Đại Cơ (48 tuổi) - trùm giang hồ chuyên bảo kê vũ trường, đòi nợ thuê ở Sài Gòn.
Khi đang nằm chơi trên giường, bé trai đã bị một chiếc kim may quần áo dài 5 cm đâm xuyên ngực gây thủng phổi.