TP.HCM đối mặt nguy cơ bùng phát dịch Covid-19
TP.HCM là đầu mối giao thông, y tế ở phía Nam nên cũng tiềm ẩn nhiều nguy cơ bùng phát dịch Covid-19.
7 kết quả phù hợp
TP.HCM là đầu mối giao thông, y tế ở phía Nam nên cũng tiềm ẩn nhiều nguy cơ bùng phát dịch Covid-19.
Ban Chỉ đạo quốc gia về phòng, chống Covid-19 nhận định vẫn còn trường hợp nhập cảnh trái phép, nếu không quản lý tốt sẽ xuất hiện ca nhiễm với biến chủng lây lan tốc độ nhanh.
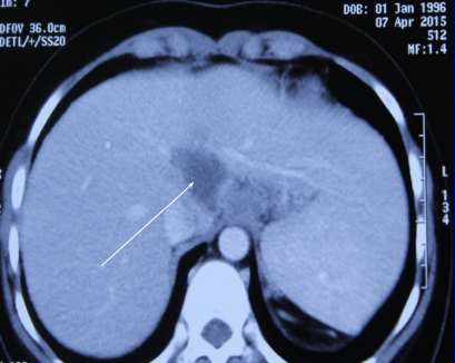
Lao gan là bệnh lý hiếm gặp, khó chẩn đoán và dễ nhầm lẫn.
Ca bệnh đầu tiên dương tính với virus corona được phát hiện trong ngày đầu tiên của kỳ nghỉ Tết Nguyên đán. Suốt một tuần qua, tình hình chống dịch ở Việt Nam diễn ra thế nào?
Hà Nội và Khánh Hòa đang cách ly tổng cộng 5 người để theo dõi và chờ kết quả xét nghiệm do có dấu hiệu nghi nhiễm virus corona.
Bệnh nhân được đưa vào cấp cứu tại Bệnh viện E, Hà Nội, lúc 23h20 phút ngày 24/1, cận kề thời khắc giao thừa.
Theo các chuyên gia y tế, lao gan là bệnh hiếm gặp, y văn thế giới mới ghi nhận 2 ca. Ca bệnh đầu tiên ở nước ta vừa được các bác sĩ Bệnh viện Chợ Rẫy (TP.HCM) chữa khỏi.