Mới đây, Bệnh viện Hữu nghị Việt Đức (Hà Nội) đã ứng dụng thành công kỹ thuật Hybrid điều trị cho bé gái N.B.T. (5 tháng tuổi, trú tại Nghệ An).
Gia đình T. chia sẻ bé bị viêm phổi nặng kéo dài khi mới sinh. Các bác sĩ địa phương cho biết bệnh nhi có lỗ thông liên thất lớn phần cơ. Vì vậy, họ khẳng định không thể điều trị cho T. bằng phẫu thuật (mổ tim hở) hay can thiệp (bít dù) thông thường. Nguyên nhân là vị trí lỗ thông ở khu vực khó tiếp cận, dễ gặp biến chứng trong khi mổ.
![]() ![]() |
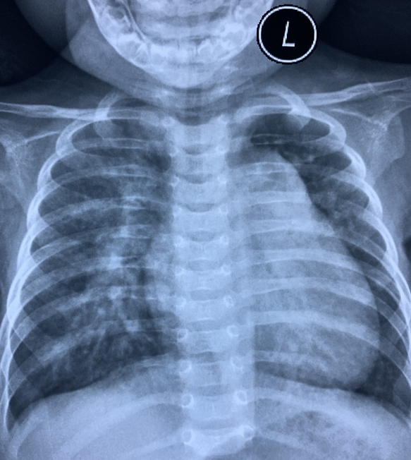
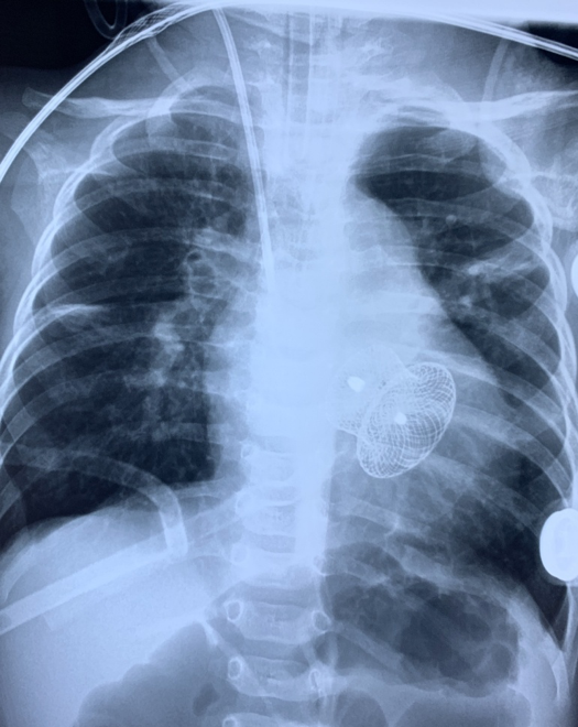
Phim chụp ngực bệnh nhi trước và sau ca phẫu thuật. Ảnh: BVCC. |
Sau nhiều lần hội chẩn, tháng 7, T. được chuyển ra Trung tâm Tim mạch và Lồng ngực, Bệnh viện Hữu nghị Việt Đức phẫu thuật.
Bệnh nhi được gây mê toàn thân, mổ mở qua đường xương ức. Sau đó, phẫu thuật viên sử dụng dù để bít lỗ thông liên thất. Kết thúc ca mổ, các bác sĩ chụp buồng tim và siêu âm tim, tháo dụng cụ, dây dẫn. Bước cuối cùng, đội ngũ y tế cầm máu và đóng xương ức.
Giai đoạn hậu phẫu gây nhiều khó khăn cho các bác sĩ do T. bị tăng áp lực động mạch phổi và suy dinh dưỡng. 7 ngày sau, T. được rút máy thở. 2 tuần tiếp theo, bé xuất viện.
Trong tim mạch, kỹ thuật Hybrid được hiểu là sự kết hợp của phẫu thuật và can thiệp tim mạch, giúp điều trị các ca bệnh phức tạp.
Theo PGS.TS Nguyễn Hữu Ước, Giám đốc Trung tâm Tim mạch và Lồng ngực, đây là ca bệnh nhỏ tuổi nhất Việt Nam được điều trị bằng phương pháp Hybrid.

