Bạn có thể chuyển sang phiên bản mobile rút gọn của Tri thức trực tuyến nếu mạng chậm. Đóng

Znews

  • Tất cả
  • Bài viết
  • Video

Chuyên mục:

Thời gian:

104 kết quả phù hợp

dị vật trong mũi

Dia dai 5 cm song trong mui nguoi phu nu hinh anh

Đỉa dài 5 cm sống trong mũi người phụ nữ

0

Sau khi uống nước ở bờ suối, người phụ nữ ở tỉnh Quảng Nam bị chảy máu mũi trong 10 ngày và tự đến bệnh viện. Các bác sĩ đã lấy ra một con đỉa còn sống.

Be trai 3 tuoi bi hat mac ket trong mui hinh anh

Bé trai 3 tuổi bị hạt mắc kẹt trong mũi

0

Mới đây, các bác sĩ Bệnh viện Việt Nam - Thụy Điển Uông Bí (Quảng Ninh) đã tiến hành cấp cứu cho một bé trai 3 tuổi bị hạt vòng mắc kẹt trong hốc mũi.

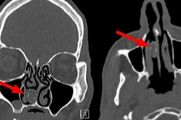
Rang nam trong mui 20 nam ma khong biet hinh anh

Răng nằm trong mũi 20 năm mà không biết

0

10 năm trước Zhang Binsheng vấp ngã và mất hai chiếc răng. Một chiếc vô tình mắc lại trong mũi mà nạn nhân không hề hay biết.

Chuyen tinh tay ba khong co 'tieu tam' hinh anh

Chuyện tình tay ba không có 'tiểu tam'

0

Câu chuyện tình tay ba không có tiểu tam, không phản diện, không quá đớn đau. Chỉ là những ký ức nhẹ nhàng mà ám ảnh, là hạnh phúc mong manh, niềm vui nỗi buồn của người trẻ.

Nguoi dan ong moc rang trong mui hinh anh

Người đàn ông mọc răng trong mũi

0

Thay vì mọc ở miệng, chiếc răng của người đàn ông 59 tuổi (Đan Mạch) lại mọc lạc trong mũi bởi chứng bệnh hiếm gặp.

Xem thêm