Bạn có thể chuyển sang phiên bản mobile rút gọn của Tri thức trực tuyến nếu mạng chậm. Đóng

TƯ VẤN

Khám tổn thương phổi hậu Covid-19 gồm những gì?

Tôi muốn kiểm tra mức độ tổn thương phổi hậu Covid-19 vì vẫn bị hụt hơi, khó thở dù khỏi bệnh đã lâu. Vậy khi khám các bác sĩ sẽ kiểm tra những gì?

Tôi muốn kiểm tra mức độ tổn thương phổi hậu Covid-19 vì vẫn bị hụt hơi, khó thở dù khỏi bệnh đã lâu. Vậy khi khám các bác sĩ sẽ kiểm tra những gì?

Bác sĩ Trần Quang Lục, Trưởng khoa Chẩn đoán Hình ảnh, Bệnh viện Đa khoa tỉnh Phú Thọ

Tổn thương phổi trong hội chứng hậu Covid-19 tình trạng người bệnh đã xét nghiệm âm tính với virus SARS-CoV-2 nhưng vẫn tồn tại triệu chứng lâm sàng và/hoặc hình ảnh của tổn thương tại phổi kéo dài. Các triệu chứng lâm sàng có thể là khó thở, ho, hụt hơi, thiếu oxy, tức ngực…

Ngoài ra, người bệnh có thể có thêm dấu hiệu khác của hệ thần kinh (đau đầu, quên, giảm trí nhớ…), tim mạch (rối loạn nhịp tim, huyết khối mạch máu…), tiêu hóa, da, cơ xương khớp.

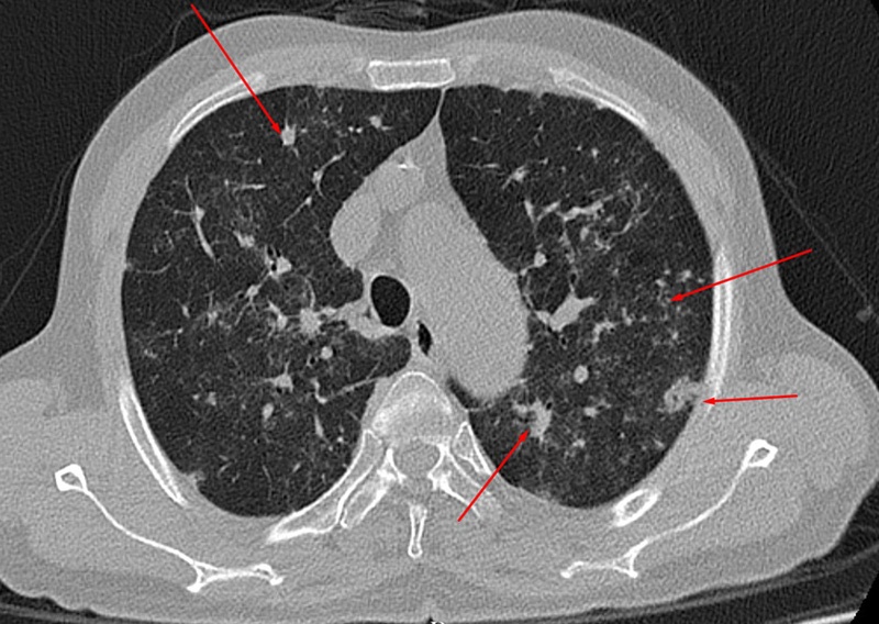
Để xác định tổn thương phổi hậu Covid-19, các bác sĩ sẽ thăm khám lâm sàng, đo chức năng hô hấp, chụp cắt lớp vi tính. Trong đó, chụp cắt lớp vi tính là một trong các phương tiện chẩn đoán hình ảnh được sử dụng nhiều nhất để đánh giá tổn thương phổi với độ chính xác cao.

Chúng cũng có ưu điểm hơn chụp X-quang thường quy do có thể đánh giá được hình thái tổn thương (kính mờ, đông đặc, dải mờ xơ hóa…), vị trí phổi bị tổn thương (bên phải, bên trái, phần trên, phần dưới, ngoại vi, trung tâm), ước lượng thể tích phổi bị tổn thương. Từ đó, bác sĩ có thể tiên lượng cho người bệnh.

Người phụ nữ bị co giật sau khi khỏi Covid-19

Sau 2 ngày âm tính với nCoV, bệnh nhân đột ngột xuất hiện ý thức lơ mơ, co giật tay chân.

Độc giả Dương Hà

Bạn có thể quan tâm