Bạn có thể chuyển sang phiên bản mobile rút gọn của Tri thức trực tuyến nếu mạng chậm. Đóng

Người đàn ông bị khối u gần 20 cm đè xẹp phổi

Khối u xuất hiện trong lồng ngực bệnh nhân có thể ảnh hưởng đến nhịp tim nếu không được phẫu thuật kịp thời.

Bệnh viện Ung Bướu Hà Nội vừa phẫu thuật cắt bỏ thành công khối u xơ đơn độc màng phổi đường kính gần 20 cm cho bệnh nhân H.V.B. (65 tuổi, trú tại Phú Xuyên, Hà Nội).

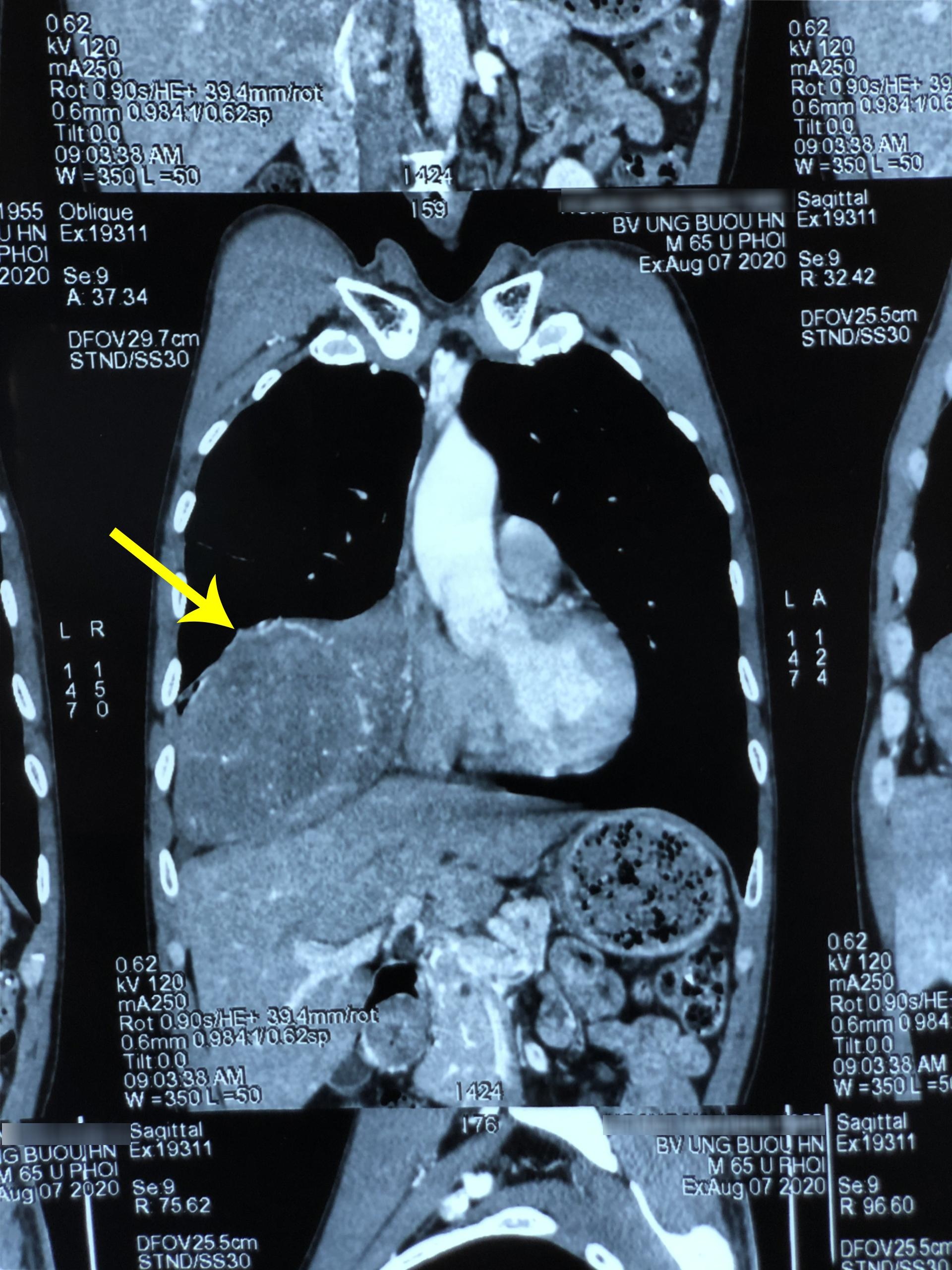
Kết quả cộng hưởng từ và cắt lớp vi tính cho thấy phổi phải của bệnh nhân có khối u kích thước 11x18 cm. Khối u này nằm ở vị trí xuất phát của màng phổi vùng vòm hoành, đè ép các thùy phổi, xung quanh bị tổn thương dạng đông đặc gây xẹp phổi.

benh nhan xep phoi vi khoi u anh 1

Khối u chiếm 2/3 thể tích phổi phải. Ảnh: BVCC.

Các bác sĩ nhận định khối u có thể phát triển lớn, chèn ép gây đau, tức ngực, khó thở, xẹp phổi phải, thậm chí ảnh hưởng tới nhịp tim.

Trước đó 2 tháng, ông B. cảm thấy đau nhói ngực phải khi nằm nghiêng hoặc trở mình. Tình trạng này tăng lên theo thời gian, gây mệt mỏi nên ông quyết định đi khám và điều trị.

TS.BS Phan Lê Thắng, phụ trách Đơn nguyên Ngoại theo yêu cầu, Bệnh viện Ung Bướu Hà Nội, đánh giá: "Đây là ca phức tạp do kích thước khối u lớn, nhiều mạch nuôi, dính các tạng xung quanh gây khó khăn cho việc phẫu thuật lấy u và cầm máu".

Theo TS Thắng, đặc thù của phẫu thuật lồng ngực là đường mổ hẹp, yêu cầu rạch một khoang nhỏ giữa 2 xương sườn để đưa dụng cụ phẫu thuật vào. Do đó, phẫu thuật viên phải có kinh nghiệm và chuyên môn tốt, tránh gây mất máu ồ ạt, đe dọa tính mạng bệnh nhân.

Ca phẫu thuật của ông B. diễn ra thuận lợi. Bệnh nhân không cần truyền thêm máu trong quá trình xử lý khối u. Ba ngày sau, bệnh nhân được rút ống dẫn lưu, hết đau tức ngực và có thể ăn uống, đi lại bình thường.

TS Thắng cho biết u xơ đơn độc màng phổi là dạng tổn thương ít gặp, hay xuất phát từ lớp tế bào cận trung biểu mô. Thông thường, khối u này không có triệu chứng lâm sàng ở giai đoạn sớm và chỉ tình cờ được phát hiện thông qua chụp X-quang phổi.

Các bác sĩ khuyến cáo người dân cần khám sức khỏe định kỳ và tầm soát ung thư để kịp thời phát hiện và điều trị bệnh.

Phát hiện ca mắc dịch hạch tại Mỹ

Bệnh nhân có thể bị bọ chét cắn khi đi dạo ở dọc bờ sông.

Quốc Toàn

Bạn có thể quan tâm