Theo Daily Mail, các bác sĩ cho biết Jayakumar, 52 tuổi, mắc chứng rối loạn tâm thần, có thể sẽ chết nếu không được phẫu thuật.
Các bác sĩ đã phải rất cẩn thận thực hiện nội soi dạ dày trong 2 ngày, loại bỏ 22 vật thể kim loại ra khỏi dạ dày của ông Jayakumar trong ngày đầu và 18 vật thể còn lại trong ngày thứ hai.
38 vật kim loại, hầu hết là chìa khóa, tiền xu và thẻ sim, được loại bỏ khỏi dạ dày bệnh nhân. Vật thể nhỏ nhất dài khoảng 2 cm. Các bác sĩ cũng tìm thấy một lưỡi mài bút chì và một nam châm hút hầu hết vật thể còn lại vào nó.
![]() |
| Các vật thể kim loại được lấy ra khỏi bụng của bệnh nhân. Ảnh: Dailymail. |
"Nếu đống kim loại này không được loại bỏ kịp thời, bệnh nhân có thể gặp biến chứng như chảy máu đường ruột và nhiễm trùng huyết, cuối cùng dẫn đến tử vong", bác sĩ AR Venkateswaran, người trực tiếp phẫu thuật tại Bệnh viện Đa khoa Chính phủ Rajiv Gandhi, cho biết.
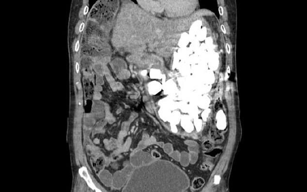
Ông Jayakumar mắc chứng rối loạn tâm thần và đã điều trị bệnh trong vòng 3 năm. Khi đang thực hiện thủ tục liên quan đến từ trường, một vấn đề kỹ thuật đã xảy ra. Bệnh nhân sau đó bị đau bụng dữ dội. Kết quả chụp CT vùng bụng cho thấy sự xuất hiện của rất nhiều vật kim loại trong bụng bệnh nhân.
Gia đình ông Jayakumar không hề hay biết về thói quen nuốt đồ vật của bệnh nhân.
Rất may sau ca phẫu thuật, các bác sĩ không phát hiện bất kỳ vết thương nào bên trong dạ dày của bệnh nhân. Hiện ông Jayakumar đã được xuất hiện và tình trạng sức khỏe bình thường.
